aikidofull
Usuario (Argentina)
Seguridad en el uso de las armas de fuego: 1- Manejar cualquier arma como si estuviese cargada. Esta es la recomendación más importante. Si alguien nos da un arma de fuego para que la miremos, y nos dice que no está cargada, debemos comprobarlo por nosotros mismos. Puede evitarnos una desgracias. 2- Mantener siempre el cañón apuntando en una dirección segura y no apuntarlo en una dirección en la que no se quiera disparar. Esto es especialmente importante con las armas cortas, por que son relativamente pequeñas. 3- No manotear o jugar nunca con ellas. 4- Mantener el dedo lejos del gatillo y usar la traba del seguro, incluso estando convencido de que el arma no está cargada. 5- El dedo sólo debe Ilevarse al gatillo cuando se está en el polígono o la galería de tiro y, únicamente, en la pedana del tirador y cuando la pistola esté apuntando al blanco al que se quiera disparar. Después de hacer el disparo, quitar el dedo del gatillo inmediatamente. Mantener el dedo índice (si es el que utiliza) estirado a lo largo del arco de guardamonte. 6- No jugar con ningún tipo de arma, y menos cargadas. No hacer bromas, por ejemplo tratando de imitar a Harry el Sucio "sacando" el arma muy rápido de su funda. Lo mejor que nos puede pasar es quedar como tontos. 7- Practicar la carga y la descarga de una nueva arma en un sitio seguro, hasta que nos acostumbremos a manejarla. 8- Nunca dejar sin vigilancia un arma, esté o no esté cargada, es absolutamente esencial, especialmente en una casa donde haya niños. A los niños les encanta imitar a los mayores y podrían estar blandiendo una pistola antes de que nos diéramos cuenta. 9- Guardar por separado las armas y las municiones, fuera del alcance de los niños y, lo más importante, en sitios bien cerrados. De esta manera, se evita que un ladrón tenga un arma cargada a su inmediata disposición. 10- Revisar y mantener las armas con regularidad. Antes de limpiar un arma, comprobar que esté descargada. Si, después de no usarla durante algún tiempo, se va a disparar de nuevo, se debe comprobar que el cañón no esté obstruido, por ejemplo, con una bolita de trapo de limpiar. 11- Crear algún tipo de rutina al manejar las armas y la munición. Cuidar que la munición de distintos calibres esté separada. Hay que tener muchísimo cuidado si uno está intentando poner a punto un nuevo cartucho cargado a mano. Tenga en cuenta que, para recargar el cartucho con más “potencia”, hay que usar decenas de granes y que un grane pesa 0,0648 gramos. Los principiantes en este campo deben tener la prudencia de pedir el consejo de otras personas con experiencia en cargar cartuchos a mano. Tienen que tener también a mano buenos libros de consulta y deben estar familiarizados, aunque sea teóricamente, con los pros y los contras de los cartuchos recargados. 12- Llevar siempre puestas gafas de seguridad y protección auditiva. Un buen porcentaje de los accidentes de tiro está provocado por defectos técnicos en las armas o en la munición. Hay que asegurarse de que los ojos estén bien protegidos contra los restos de pólvora lo que puede ocurrir, disparando un revólver, a causa del espacio entre el cilindro y la emboquillada o contra los casquillos expulsados de una pistola. 13- Nunca se debe mezclar el tiro con las bebidas alcohólicas o, lo que es peor, con ninguna clase de drogas ni con el uso de medicamentos fuertes. Ni alcohol ni nada que pueda alterar la percepción, el juicio o el comportamiento. Si desea, la cerveza o la copa hay que beberlas al finalizar con la practica de tiro y después de haber descargado y limpiado las armas con seguridad. Después de la sesión de tiro, si hay que regresar a casa, lo mejor es no beber antes de conducir, mejor una gaseosa o un café. 14- Si un tirador o tiradora, al lado suyo, está haciendo algo peligroso hay que decírselo. Hay ciertas cosas que los principiantes no conocen hasta que alguien se las dice. Trate de explicar el uso correcto de las armas de una forma amable. Hasta los tiradores más experimentados cometen errores. Evitar la compañía de los sabelotodo, que creen que saben más que cualquiera. Son un peligro potencial para la vida y la anatomía propia y de los demás. 15- NUNCA DISPARE AL AIRE ! Los proyectiles abandonan el cañón, a velocidades del orden de 250 m/s hasta mas de 1000 m/s (Depende del arma, calibre y munición utilizada) y se desplazan describiendo trayectorias elípticas. Luego de alcanzar la altura máxima, su velocidad de caída se incrementa, siendo al instante de llegar a tierra suficiente para lastimar o matar una persona. Espero que les sirvan estos consejos... www.gentedearmas.com.ar/gda_servicios_2005/gda_desarrollos_2005/gda_1_segur_uso_armas.htm

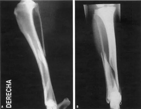
todos conocemos algun fracturado o por mala suerte nos tocó a nosotros fracturarnos, pero que es exactamente? Fractura (medicina) Una fractura es la pérdida de continuidad normal de la sustancia ósea. El término es extensivo para todo tipo de roturas de los huesos, desde aquellas en que el hueso se destruye amplia y evidentemente, hasta aquellas lesiones muy pequeñas e incluso microscópicas. Los métodos de clasificación de las fracturas son muy variados, y dependen desgarro al pico del hueso o segmento corporal afectado, así como de otros factores asociados.se pueden clasificar según etiologia en Patologicas, Traumaticas, Por Fatiga de Marcha o Stress y obstetrica. En cuanto el foco de fractura se comunique o no con el exterior, se clasifican en: * Simples, si el pico de la fractura no se asocia a ruptura de la piel, o si hay herida, ésta no comunica con el exterior. * Complicada o expuesta, si hay una herida que comunica el foco de fractura con el exterior, posibilitando a través de ella, el paso de microorganismos patógenos provenientes de la piel. En general, la fractura se produce por la aplicación de una fuerza sobre el hueso, que supera su resistencia elástica, en cuanto al mecanismo de aplicación de dicha fuerza sobre el foco de la fractura, podemos clasificarlas: * Por traumatismo directo, en las cuales el foco de fractura ha sido producido por un golpe directo cuya energía se transmite directamente por la piel y las partes blandas. Por ejemplo, el golpe de un martillo sobre un dedo, fracturando la falange correspondiente. En esta misma clasificación se encuentran las fracturas producidas como consecuencia de una caída, en las cuales el hueso es el medio de transmisión de la acción de la fuerza y el suelo u otro elemento contundente es el elemento que reacciona, superando la resistencia ósea. * Por traumatismo indirecto, en las cuales el punto de aplicación de la fuerza está alejado del foco de fractura. En este caso las fuerzas aplicadas tienden a torcer o angular el hueso. Por ejemplo, la caída de un esquiador, con rotación de la pierna, produce una fractura a nivel medio de la tibia y el peroné, estando las fuerzas aplicada a nivel del pie fijo y de todo el cuerpo en rotación y caída. o Si la fuerza es aplicada paralelamente al eje de resistencia habitual del hueso, como lo que ocurre en las caídas de altura de pie sobre las vértebras, resultando en una compresion del hueso, acortándolo, se denominan fractura por aplastamiento. o Si la fuerza es aplicada sobre un punto de sujeción de estructuras tendoligamentosas, desgarrando un trozo del hueso, se denomina fractura por arrancamiento. * Por fátiga, también denominadas espontáneas, son aquellas en que la fuerza es aplicada en forma prolongada e intermitente en el tiempo. Por ejemplo, la fractura de marcha que se produce en algunos atletas o reclutas del ejército, que se produce en el pie (a nivel del segundo metatarsiano) De acuerdo con la dirección, forma y conminución del rasgo de fractura, se clasifican en: * Fractura transversal, habitualmente producidas por un traumatismo directo, con la fuerza aplicada en forma perpendicular al eje mayor del hueso. * Fractura de rasgo oblicuo, producidas por traumatismo indirecto, con una fuerza de angulación sobre el hueso. * Fractura de rasgo helicoidal, producidas por traumatismo indirecto, con fuerza rotatoria. * Fractura en ala de mariposa, mecanismo habitualmente mixto, directo e indirecto, con fuerza de angulación, separando un trozo en forma de cuña. * Fractura conminuta, mecanismo de producción de traumatismo directo, de gran energía, a veces combinado con otras fuerzas. El hueso se despedaza (conminución). También llamada multifragmentaria, por estallido, o esquirlosa. De acuerdo a su ubicación en el hueso, se clasifican en: * Fractura epifisiaria, ocurre en el tejido oseo esponjoso del extremo articular de un hueso, la epífisis, usualmente lugar de inserción de la cápsula articular y ligamentos estabilizadores de la articulación. * Fractura diafisiaria, ocurre en la diáfisis ósea, muchas veces son lugares con poca irrigación sanguínea. * Fractura metafisiaria, ocurre en la metáfisis ósea, usualmente muy bien irrigada. Si la fuerza traumática fue mínima, la fractura producida puede ser poco perceptible. En este caso se suele hablar de fisura o fractura de trazo capilar. Si el rasgo de la fractura secciona el hueso, es completa, si la sección del rasgo no es total, se denomina incompleta. Dado la elasticidad de los huesos de los niños, una fractura puede producir desviación del eje del hueso, sin producirse sección completa del foco de fractura, es lo que se denomina fractura en tallo verde. La fractura de un hueso comprende habitualmente la destrucción de la continuidad del periostio, el tejido óseo propiamente tal y el endostio. www.wikipedia.org
Se contagia a través de los besos, la tos, los estornudos o cualquier otro contacto con la saliva de una persona infectada por el virus. También se puede contagiar a través de otros tipos de contacto directo, como compartir pajitas, cubiertos o cualquier otro utensilio para comer o beber. OTROS NOMBRES: * Infección por virus de Epstein-Barr * Mononucleosis Es una infección que cursa con síntomas similares a los de la gripe y que suele remitir espontáneamente en pocas semanas con ayuda de reposo y abundantes líquidos. Está provocada por el virus Epstein-Barr (VEB), un virus muy extendido al que se expone la mayoría de niños durante el proceso de crecimiento. Los lactantes y los niños pequeños infectados por el VEB suelen presentar síntomas muy leves o ningún síntoma en absoluto. Pero los adolescentes y los adultos jóvenes que contraen esta infección suelen desarrollar mononucleosis. SINTOMAS: Los síntomas de la mononucleosis a menudo se confunden con los de la gripe o los de la faringitis estreptocócica. Es conveniente que usted llame al pediatra si su hijo tiene fiebre, dolor de garganta, ganglios linfáticos inflamados (en el cuello, las axilas y/o las ingles), y fatiga y/o debilidad constantes e inexplicables. Otros síntomas que pueden estar presentes en la mononucleosis son: * Dolor de cabeza * Dolor muscular * Engrosamiento del hígado y del bazo * Erupciones cutáneas * Dolor abdominal * Fiebre. * Molestias de garganta. * Pérdida de apetito. * Fatiga. * Astenia. El periodo de incubación suele durar entre 7 y 14 días, pero es más largo en personas mayores de 25 años: de 30 a 50 días. ¿ES GRAVE LA MONONUCLEOSIS? Es una enfermedad benigna, que solo en casos muy raros se asocia con complicaciones de corazón o del cerebro, que se inflaman y pueden sufrir daños. Sin embargo, como los síntomas son prolongados, debe de saber que es lo que tiene. Los síntomas más intensos: fiebre inflamación de ganglios y de bazo pueden durar unos 10 días, pero el cansancio y el malestar pueden durar de 2 a 3 meses. TRATAMIENTO No existe un tratamiento específico contra el virus. Se recomienda el descanso en cama al principio y luego mantenerse en casa relajado por lo menos 2 ó 3 semanas. El aumento de la ingestión de líquidos es primordial por la fiebre. Se recomienda también aspirina para la fiebre y gárgaras con agua salada para las molestias de garganta. El paracetamol (acetaminofen) o el ibuprofeno pueden ayudar a bajar la fiebre y aliviar el dolor muscular. Recuerde que nunca debe administrar aspirina o cualquier otro medicamento que contenga ácido acetilsalicílico a un niño que padezca una enfermedad de origen vírico, puesto que este uso se ha asociado al síndrome de Reye, que puede provocar insuficiencia hepática, a veces con desenlace de muerte. Algunas veces se puede agravar por una amigdalitis por estreptococo y en estos casos se asocia antibiótico. Si aparece dolor agudo intenso en la parte superior izquierda del abdomen debe acudir a su médico (posible rotura de bazo). Si esto se confirma debe ser intervenido quirúrgicamente. FUENTE: http://www.gentenatural.com/medicina/manual/monuinfe.htm#DIAGN%D3STICO
La Lección del Agua. Por José Santos Nalda. "Si queréis comprender el Aikido estudiad primero el origen y el funcionamiento del Universo, los principios de las fuerzas de su creación, los intercambios de energía, el movimiento de las galaxias. Todos estos elementos forman parte de una Ley Universal, las reacciones nucleares, las corrientes electromagnéticas, la fuerza gravitacional, todos son principios de Aikido, y la base de sus técnicas". (M. Ueshiba. Aikido. Nature et Harmonie de M. Saotome). Al ingresante en la practica tal vez le resulte difícil de comprender que exista una relación tan directa entre "los principios universales", y las técnicas de Aikido, cuyo único objetivo parace ser el de proyectar, inmovilizar, o neutralizar a un agresor. Se requieren unos cuantos años de práctica constante para comenzar a descubrir por uno mismo que, realmente cada técnica obedece a los principios citados. Observando los fenómenos naturales podemos "redescubrir" los fundamentos sobre los que se apoya cada gesto y cada movimiento del arte del Aikido. De ninguna manera debe entenderse, porque no es mi pretensión, que el paralelismo que propongo sea algo indiscutible, antes bien debe tomarse sencillamente como una pauta de trabajo o ejemplo de aplicación sujeto a otras posibles interpretaciones, o conclusiones que cada aikidoka en su personal reflexión sea capaz de identificar. ENUNCIADO DEL PRINCIPIO ( º ) / APLICACIÓN DEL PRINCIPIO 1º- La superficie del agua sometida exclusivamente a la acción de la gravedad, es plana y horizontal, lisa y reflectante como un espejo. Está tranquila y en calma. 1- Mizu-no-kokoro. El espíritu debe permanecer siempre tranquilo como la superficie de un lago en calma. La actitud tranquila que se debe adoptar frente al adversario, para percibir todos sus mensajes y actuar en el momento preciso. Cuando la mente está preocupada por miedo, rencor,cólera, etc. No capta bien los estímulos externos y reacciona anormalmente, por debajo de sus efectivas posibilidades. 2º- El agua discurre siempre desde el punto más alto al punto más bajo, fluye constantemente respetando la ley de la gravedad. No puede ir hacia arriba si no es impulsada por una fuerza ajena. 2- La no-resistencia. Oponerse a una fuerza superior es antinatural y por tanto el fracaso es seguro. Actuar "a favor y con..." esa fuerza es lo que nos enseña el agua que debe hacerse. Nunca oponerse frontalmente al adversario, antes bien, aprovecharse de su energía y de su acción. 3º- El agua se adapta inmediatamente a todo hueco,forma o resquicio, lo cubre, lo rodea, y poco a poco se apodera de él hasta cubrirlo y trascenderlo. 3- Adaptabilidad constante e inmediata, sin preguntar previamente, sin protestar, sin poner condiciones, saber adaptarse a cualquier movimiento del otro, y sin contrariarlo, descubrir la forma de neutralizarlo onstantemente, cualesquiera que sean sus reacciones.No es fácil conseguir que el cuerpo y la mente actúen al unísono con la fluidez del agua, pero es un aspecto sobre el que se debería insistir más en la práctica del Aikido. 4º- Al encontrar un obstáculo no se detiene ni vuelve atrás, sabe esperar, mientras crece su caudal y su capacidad para rodearlo,encontrar los puntos inmediatamente accesibles (los puntos más bajos) por los que va abordando, esquivando y rebasando el obstáculo hasta superarlo dejándolo atrás. Busca sin cesar otra salida que le permite seguir su curso hasta el equilibrio y el reposo. 4- Cuando realizamos una técnica y el otro se resiste o la esquiva no hay que seguir insistiendo para concluirla por la fuerza, sino entender que es inmediatamente preciso y necesario "buscar sin dilación por otro sitio". La resistencia o la esquiva del otro lleva implícito este mensaje: "por aquí no puedes,pero se ha creado una nueva oportunidad si no te detienes y sabes descubrir la nueva dirección". 5º- Cuando dos cursos de agua se encuentran en direcciones convergentes u opuestas, enseguida el de menor caudal se adapta y se deja absorber uniéndose al mayor,para seguir juntos con mayor potencia y velocidad en la misma dirección, a partir del momento del encuentro. 5- Saber ceder para unirse (integrarse) a la acción del otro, en su misma dirección y así hacerse dueño de la fuerza resultante para dirigirla a nuestra conveniencia a partir del instante del encuentro. 6º- Incluso en estado de reposo absoluto, el agua está siempre dispuesta para actuar. Basta cualquier causa que altere sus condiciones de equilibrio e inmediatamente se escapará por ese punto. La acción del agua es constante y permanente. Nunca está dormida. 6- Nos muestra la actitud que conviene adoptar en la práctica, y en la vida ordinaria, de acción en potencia dentro de la calma, superando las barreras de la inercia o la sorpresa. La vigilancia ha de ser constante y natural, y la disponibilidad inmediata. 7º- Al vaciarse, o pasar del recipiente que contiene una masa de agua a un conducto menor, va describiendo un movimiento de espiral, que facilita su salida de forma rápida y constante. 7- Es difícil y costoso actuar directamente sobre la masa corporal del oponente, pero si abordamos la acción por el punto más débil, como la mano o el brazo, sometiéndose a un movimiento espiral (torsión) que afecte progresivamente las articulaciones hasta llegar al tronco, conseguiremos "vaciar" (proyectar) su cuerpo por el camino más fácil. 8º- La gota de agua que cae intermitente y constantemente sobre la roca más dura, acaba por hacer huella y hasta hueco. 8- Repetir, repetir, repetir una y otra vez las mismas técnicas, los mismos gestos, las mismas actitudes, sin importar nuestra debilidad o ineptitud actual. Aquel que sea capaz de perseverar como la gota, alcanzará el dominio de los principios y las técnicas de Aikido. 9º- La superficie del agua impulsada por el viento origina un movimiento de oleaje y se desplaza en trayectoria ondulatoria. 9- La trayectoria de onda ya sea en plano horizontal o vertical, permiten desequilibrar y dirigir al oponente con mucha más facilidad, menor gasto de energía, y menos posibilidades de resistir o adivinar a dónde se le lleva. 10º- El agua es incompresible (no se puede comprimir) y transmite en todas las direcciones cualquier presión que se ejerce sobre ella. El agua se aparta enseguida si la queremos oprimir, ofreciendo el vacío. 10- Ofrecer el vacío a todas las acciones del oponente, no mantener la masa del cuerpo ni en el lugar, ni en el momento que otro ha elegido para atacarnos. Escapar por donde no espera y volver contra sus puntos débiles con toda la potencia creada por el cuerpo en movimiento. "En el combate tú debes ser el agua que posee la fluidez y el adversario es la roca". Morihei Ueshiba, Fundador del Arte Todos los fenómenos naturales están sujetos a los mismos principios universales, al igual que el hombre y sus acciones e interrelaciones. No es de extrañar que los más grandes creadores de las artes del Budo, insistan en que sus técnicas han sido descubiertas y establecidas observando la perfecta armonía de causa-efecto contenida en dichas leyes, y que nos recomienden a los que hemos llegado después, con la pretensión de seguir su camino (DO) que hagamos el esfuerzo de "observar, reflexionar y relacionar...". FUENTE: www.geocities.com/aikiven/entrevistas/lec_agua.pdf Espero les haya gustado a los taringueros aikidokas y/o practicantes de otras disciplinas marciales. Saludos!
El AIKIDO: introducción El significado del AIKIDO se podría entender así: AI: significa unión; KI: es la energía vital y DO: es la vía, el camino filosófico y espiritual que persiguen todas las artes marciales. El AIKIDO es una disciplina japonesa aparecida en la segunda mitad del Siglo XX y desarrollada por un budoka excepcional, como fue O Sensei Morihei Ueshiba. Maneja principalmente proyecciones y luxaciones, y propone el estudio de los movimientos técnicos a un nivel por encima del meramente físico: los aikidokas trabajan en constante relación con las sensaciones que perciben del compañero. El resultado es un arte marcial sumamente plástico, fluído, y apto para todas las edades, condiciones físicas y sexos. Además, se dice del AIKIDO que es "el arte marcial de la paz" puesto que, por paradójico que parezca, sus movimientos huyen de la violencia y se practica siempre de una forma agradable, sin causar daño real al compañero. En el AIKIDO no hay combate ni competición, la verdadera competición es con uno mismo. ¿Aikidoka? No... Aiki Shugio Sa: "En Japón, el practicante de Aikido recibe el nombre de: Aiki Shugio Sa, cuyo significado literal es el siguiente: - Ai: Acuerdo, unión, armonía. - Ki: Energía, espíritu, vitalidad. - Shugyo: Modestia, austeridad, sacrificio, accésis. - Sa: Hombre. No es correcto decir Aikidoka, puesto que el vocablo "Ka" significa experto en el arte, y naturalmente esta denominación o grado corresponde al experto y no al debutante." La concepción errónea del arte marcial Practicantes de otros estilos o personas ajenas al arte marcial, suelen criticar la suavidad de los movimientos del Aikido, restándole valor como sistema eficaz de defensa. Por lo tanto consideran que al no ser violento no es un arte marcial. Pero sucede que en realidad solo ven sus propias concepciones de lo que ellos consideran como una vía marcial, y las imágenes de conflicto y la lucha dominan sus mentes. Para ellos fuerza es sinónimo de choque, y solo reconocen a la forma del ataque como única herramienta efectiva y marcial... pero ¿choca la luna contra la tierra, el sol destruye los planetas? No, pero sin embargo nadie desconoce los efectos que ejerce la luna sobre nuestro planeta, así como tampoco nadie puede negar como necesitamos a ese sol para sobrevivir. En estos hombres sus prejuicios bloquean la aceptación de la verdad, y su hostilidad por lo tanto bloquea el desarrollo del poder verdadero, que va más allá del choque o el contacto. Una mente llena de prejuicios y opiniones categóricas no puede asimilar las verdades universales. Todos sabemos que la adquisición de poder sea cual fuere su forma influye en la personalidad desde muchos puntos de vista. En el caso de las artes marciales pueden desarrollar sentimientos de modestia y respeto así como reforzar la conciencia social y el trato con los demás. Pero si la mente se halla dominada por el ego y las ideas erróneas de lo que se considera arte marcial, la práctica puede significar todo lo contrario. De esta práctica errónea surgen individuos que buscan el poder, lo cual puede llegar a convertirse en una obsesión, que resultará en un individuo marginal que vive en un mundo onírico y violento. La competición y el Budo del Aikido El propósito del Aikido antes que la competición, es favorecer los mecanismos de la armonía y aumentar la comunicación entre personas. De esta forma pueden practicar juntos personas fuertes y débiles, jóvenes y viejos, niños y adultos, y al mismo tiempo obtener gran provecho de ello a medida que desarrollan su capacidad de adaptación. Pero la relación entre el ataque y la defensa y el camino difícil que incluye conservar la armonía hace que al estudiante le cueste aprender, y así puede llegar a equivocarse fácilmente de camino en su búsqueda del poder. Es en este momento cuando el ego reclama pruebas y anhela la competición. Enseñar un arte marcial de competición no supone enseñar la verdad. Si bien la competición puede resultar favorable en su función de canalizar los impulsos agresivos y de estimular así como llevar hasta el límite a la capacidad física, esta son solo características de los deportes y juegos físicos. Pero el Budo no es un deporte, es un modo de vida, y por ello las motivaciones son diferentes. Pero ahora veamos como esto de competir influye en las sociedades modernas, las personas sienten ansiedades y experimentan constantes frustraciones, además destruye las relaciones personales por que se juzga y compara a las personas; al final todos temen confiar en los demás y se vuelven celosos, egoístas y violentos. La celebración de campeonatos permite observar que el apego a la victoria ha privado a la mayor parte de las artes marciales de su verdadero sentido. ¿En qué se han convertido las técnicas y los principios? La agresividad y el miedo a perder los han destruido. Sobre el cuadrilátero o la arena solo surgen las pálidas imitaciones de aquellos antiguos principios que fueron enseñados por los grandes maestros. Si solo importa la victoria y la derrota, se trata de un espectáculo de exhibicionismo primario; y es evidente que la armonía no puede desarrollarse en este contexto. Por que el Budo no es un deporte. En el Aikido no existe el odio ni el enemigo El hombre cuyo espíritu es de conflicto y desafío posee un interior que se halla sediento de sangre del enemigo. Aún sin que sus manos aferren la garganta del adversario, o sin que sus piernas y puños lo estén golpeando, basta solo con la idea para su cuerpo se llene de odio o de deseos de vencer; y entonces estos pensamientos se apoderan de su mente. En Oriente hay un viejo dicho que reza lo siguiente el peor enemigo que existe es la mente turbada. La verdadera victoria no supone vencer al enemigo. La verdadera victoria es la que ofreciendo amor se cambia y modifica el corazón del enemigo. Todos los grandes maestros espirituales que han pisado esta tierra han enseñado lo importante que es aprender a amar al enemigo. El ser que en otros estilos, o en otras mentes es llamado enemigo para el aikidoka se convierte en un maestro, en un igual, en tu imagen, es él quien te ayuda a refinar tus ideas y tus técnicas, él es el contrapeso necesario para agudizar tus sentidos. “Al no verlo como enemigo, ni como un ser al cual temes o desprecias ni deseas causarle daño, te liberas inmediatamente de todos tus odios, es allí cuando en ese preciso momento tu mente queda libre.” Con una mente libre puedes captar todos sus movimientos, todos sus puntos débiles y todo aquello que esté o no dispuesto a revelarte. En el Budo comprender al enemigo es un paso esencial, dado que al comprenderlo esto permite que el odio desaparezca y brote el verdadero poder, la técnica pura. En el Aikido no existe el enemigo como tal, solo se encuentra la persona que se halla equivocada o alterada. Una persona en estas condiciones se vuelve nerviosa y a veces violenta. Es deber del aikidoka ayudarlo a encontrar el verdadero camino, sin odio y sin malas intenciones mediante la vía del Aikido. " El AIKIDO hoy. Estilos. El AIKIDO de O Sensei, como hemos dicho, evolucionó con el tiempo, durante su vida tuvo muchos alumnos, los cuales interpretaron sus enseñanazas según sus propias percepciones y según la época en que estudiaron con el fundador. Es por esto que no hay un sólo AIKIDO, y sí formas de ejecución y diversos linajes. El estilo Aikikai es el "clásico" de la familia Ueshiba y el que se sigue en el famoso Honbu Dojo de Tokio, dirigido por el actual Doshu, Moriteru Ueshiba. El estilo Iwama, dirigido por Saito, enfatiza en la defensa personal -taijitsu-, el manejo del ken y del jo. La Sociedad del Ki, también Shin Shin Toitsu Aikido, fundada por Koichi Tohei, defiende el uso del Ki en las técnicas y en vida diaria buscando una completa armonía. El estilo Kokikai, de Sensei Maruyama es mínimo esfuerzo para una máxima efectividad. El AIKIDO Tomiki fue fundado por Kenji Tomiki, judoka que el maestro Jigoro Kano envió a aprender de O Sensei, y concede más importancia al aspecto fisiológico dejando al margen el Ki. Y el Yoshinkan, de Gozo Shioda, es un método de autodefensa descartando elementos filosóficos... AIKIDO en Argentina: En nuestro país encontramos excelentes referentes del Aikido como Katsutoshi Kurata Sensei (Federación Aikikai Argentina), Masafumi Sakanashi Sensei (Centro de Difusión del Aikido), Juan Tolone Sensei (Fundación Aikikai Argentina) cada uno de estos con una gran cantidad de dojos afiliados en todo el país. Espero les haya gustado esta información de este hermoso arte que es el AIKIDO. FUENTES: www.kuratadojo.org.ar , www.musubiaikido.com.ar , www.aikidofaq.com , www.cda-web.com.ar

El Dojo Entrando en un Dojo, entramos en un mundo diferente, un mundo de guerreros. Templo del respeto y la camaradería, puede convertirse en un lugar de paranoia y desconfianza. Sobre el tatami de Aikido, somos alternativamente atacantes y atacados y nos entrenamos en reaccionar instintivamente. Es gracias a la etiqueta que podemos practicar con total seguridad, disciplinar nuestras tendencias agresivas, desarrollar la comparación y el respeto. Un Dojo de Aikido no es un gimnasio. Es el lugar donde se dispensa la enseñanza del Maestro Ueshiba. No se debe expandir el ego allí, sino educar y purificar el cuerpo y el alma. Una actitud de respeto, sinceridad y de modestia es esencial para la serenidad de cada uno. Las reglas siguientes son indispensables para mantener un ambiente propicio para el estudio del Aikido. • El Dojo funciona siguiendo reglas tradicionales. Es el lugar consagrado a recibir las enseñanzas del fundador del Aikido. Es deber de cada alumno honrar y seguir esta enseñanza. • Cada alumno debe participar en la creación de una atmósfera positiva de armonía y respeto. • La limpieza constituye un acto de gratitud y de respeto y cada practicante debe participar en la limpieza del Dojo y aplicarse en ella con interés. • El Dojo no debe ser utilizado para otros fines que no sean las clases previstas, o sin el permiso del responsable. • El profesor es el responsable de decidir si impartirá o no su enseñanza a un alumno. No se compra la técnica. La cuota mensual nos garantiza un lugar para practicar y no es sino uno de los medios de probar nuestra gratitud por la enseñanza que recibimos. Las cotizaciones deberán satisfacerse puntualmente. • Respeta al fundador y sus enseñanzas como son transmitidas por vuestro profesor. Respeta el Dojo, vuestras herramientas de trabajo, vuestra ropa y a vosotros mutuamente. Etiqueta en el dojo: 1.Entrando al Dojo: Debes tener puesto el keikogi y obi atado apropiadamente. Una vez en el interior del dojo realiza un saludo a la fotografía de O Sensei. Dirígete a la esquina del tatami y arrodíllate saludando de nuevo a la fotografía de O Sensei. 2.El saludo: Quédate sentado sobre tus talones. Sitúa las manos izquierda y derecha en el tatami justo enfrente de ti, formando con los pulgares y con los dedos índices un triángulo. 3.Cuando el Sensei o el Instructor entren al dojo todos los miembros deberán sentarse formando una línea frente a la fotografía de O Sensei. 4.Enorgullécete con tu dojo. Cinco minutos de cada alumno antes de practicar diariamente ayudan a mantener el dojo en condiciones limpias y aseadas. 5.Al empezar la clase: Todos saludarán con el Sensei a la fotografía de O Sensei, luego el Sensei devolverá el saludo al resto del dojo, diciendo Onegaishimas (por favor, enséñame). Después seguiremos con los ejercicios de calentamiento. 6.Durante la clase: Saluda a tu compañero cuando empieces y termines una práctica con él. Si el instructor te enseña a ti o a tu compañero de forma individual, es apropiado que lo saludes cuando concluya la explicación. Mientras el instructor esté practicando con tu compañero, espera atento sentado en seiza. 7.Asegúrate de que tu obi y keikogi estén colocados apropiadamente durante la práctica. 8.Si llegas tarde a clase o vas a salir antes, espera antes de entrar o salir del dojo hasta que el instructor no esté haciendo ninguna demostración. Espera a un lado del tatami a que el Sensei te de permiso para poder entrar. Realiza el saludo apropiado. Cuando debas salir temprano pide permiso al Sensei para dejar la clase. Haz un saludo antes de salir del tatami. 9.Cuando el Sensei indique que ha finalizado la clase, todos deberán situarse formando una línea recta, frente al Sensei. Una vez que estén todos sentados deberán saludar con el Sensei diciendo Domo arigato gozaimashita (gracias por haberme enseñado). Permitir siempre que el Sensei salga primero del tatami. Es adecuado también saludar al último compañero en señal de agradecimiento a la totalidad de los compañeros. 10.Al salir del dojo: Realiza un saludo de la misma forma que lo hiciste al entrar. 11.Llevar zapatillas para acudir al tatami o saliendo de él. 12.Lava tu keikogi como mínimo una vez por semana. Guárdalo en buen estado. También asegúrate de que las uñas de los pies y manos están cortadas adecuadamente y si tienes pelo largo, sujétalo apropiadamente. Debes cuidarte de tener una buena higiene e imagen. La ropa de practica Para la práctica (Keiko), se lleva hakama, obi y un keikogi (chaqueta y pantalón) sin ninguna ropa interior (no obstante las mujeres llevan un "maillot". Este conjunto es la adaptación a la práctica de la ropa, en otros tiempos, llevada habitualmente por los samurais y que presenta las ventajas siguientes: • comodidad, no entorpece los movimientos • solidez • buena absorción de la transpiración Lo más notable es que, si el conjunto se lleva correctamente, la actitud se ve mejorada, fortaleciendo en consecuencia lo mental. En Aikido el hecho de vestir el conjunto tradicional de los samurais permite al aikidoka dirigirse hacia la práctica, cuerpo y espíritu unificados, desde el mismo comienzo del ejercicio. Keikogi: La vestimenta puede ser indiferentemente la de Judo, la de Karate, o la de Kendo a condición de que sea blanca y tejida en algodón. Sin embargo los conjuntos tejidos en "grano de arroz", gruesos son preferibles ya que son más resistentes y absorben mejor la transpiración. Las mujeres pueden agregar un lazo para evitar que la chaqueta se abra. El revés izquierdo cubre el revés derecho. Sólo los muertos son vestidos al revés. En el pantalón las protecciones de las rodillas se sitúan delante, así como las trabillas del pantalón, que sirven para mantener los lazos del cordón de la cintura que se anuda delante. Obi (cinto): Se puede utilizar una cinturón de Judo pero es preferible cuando se lleva hakama, utilizar un cinturón del mismo tipo que los utilizados por los practicantes de Iai. Una longitud media de 3.50 m permite dar tres vueltas a la cadera y anudarlo a la cintura. El ancho varía de 6 a 8 cm. El cinto será de algodón. El Obi puede ser enrollado o doblado sobre si mismo, para recogerlo. Hakama: El hakama era utilizado por los caballeros (jinetes), es como una "falda-pantalón" clásicamente confeccionada en algodón índigo o negro. Hoy en día se encuentran tejidos sintéticos más fáciles de cuidar y que conservan mejor los pliegues. Su uso no está sólo reservado a los cinturones negros, normalmente se porta desde la obtención del 3º kyu. Es un momento en el que el practicante ha tomado implicitamente el compromiso de continuar practicando Aikido. Los lazos de la parte delantera se anudan normalmente en la espalda, pero está formalmente proscrito en el marco de la práctica del Aikido ya que existe peligro para la columna vertebral a causa de los ukemi. Hay pues que anudarlos sobre el costado o si su longitud lo permite anudarlas delante. Se recomienda pasar los lazos de la parte trasera bajo los delanteros, que están por encima, a nivel de las caderas para terminar atándolos delante por medio de un nudo llano que coja todas las tiras anteriores. El conjunto se complementa con unas zapatillas, denominadas zooris. Durante la práctica Aikido representa un inmenso sistema. Una esencial parte de este sistema es el aspecto de arte marcial. Esto permite una mayor facilidad en la iniciación de la práctica del Aikido. Los practicantes únicamente deben seguir las instrucciones, entonces se convertirán en cautos y por tanto se podrán proteger a sí mismos de otros. Durante la práctica obedece al instructor y nunca hagas el período de práctica como una prueba de fuerza. Trabajar con un compañero no será un conflicto de energías. Cuando uke y tori en todas las técnicas se muevan a partir del centro o Tanden se convertirán los dos en un mismo movimiento controlado, en pura acción. Aikido es un budo psíquico que acompañará a la mejora de la personalidad y del crecimiento mental. Practicar todo el tiempo sintiendo una agradable respiración. Conocer al agresor puede proporcionar ventajas. El estudiante de Aikido debe buscar y desarrollar el control del oponente evitando daños o lesiones. La enseñanza de tu instructor constituye solamente una pequeña fracción de la que aprenderás. La maestría de cada movimiento dependerá completamente de tu tiempo de práctica. El propósito del Aikido es educar al cuerpo y la mente para hacer un ser humano verdadero. Todas las artes del Aikido son secretos de la naturaleza y no han querido ser revelados por una posible interpretación errónea.
¿Qué es la artroscopia? La artroscopia es un procedimiento quirúrgico usado por los cirujanos ortopédicos para visualizar, diagnosticar y tratar problemas en las articulaciones. La palabra artroscopia viene de dos palabras griegas, ìartroî (articulación) y ìscopiaî (mirar), y juntos significan literalmente ìmirar dentro de la articulación.î Durante la cirugia artroscopica el cirujano ortopédico hace una pequeña incisión en la piel del paciente y luego inserta un instrumento del tamaño de un lápiz, que contiene de un pequeño lente y un sistema de luces para magnificar y iluminar la estructura dentro de la articulación. La luz es transmitida a través de fibras ópticas hasta la punta del artroscopio que ha sido insertado dentro de la articulación. Luego al conectar este artroscopio con una cámara de televisión miniatura, el cirujano puede observar el interior de la articulación a través de una incisión muy pequeña, en vez de una de más tamaño necesaria en caso de cirugía. La cámara de televisión conectada con el artroscopio muestra la imagen de la articulación en una pantalla de televisión, permitiendo así que el cirujano vea por ejemplo dentro de la rodilla, los cartílagos o ligamentos, o debajo de la rótula. El cirujano puede determinar la cantidad o el tipo de daño, y luego si es que es necesario reparar o corregir el problema. ¿Por qué es necesaria la artroscopia? El diagnóstico de los daños en las articulaciones y sus enfermedades empieza con una revisión completa de la historia médica, reconocimientos físicos, y generalmente Rayos X. Reconocimientos adicionales también pueden ser necesarios, como un MRI (representación de la resonancia magnética), o un CT (termografía catódica). Un diagnóstico final es efectuado a través del artroscopio, y éste puede ser más exacto que con el uso de cirugía ìabiertaî o estudios con Rayos X. Las enfermedades y las lastimaduras pueden causar daños a los huesos, cartílagos, ligamentos, músculos y tendones. ¿Como se efectúa la cirugía artroscópica? La cirugía artroscópica, aunque es mucho más fácil en términos de la recuperación de la cirugía ìabierta,î todavía requiere el uso de anestesia y equipo especial en la sala de operaciones de un hospital o una sala de cirugía para pacientes no internados. Usted recibirá un anestésico general, espinal o una anestesia local, dependiendo de la articulación o del problema por resolver. Una pequeña incisión (como del tamaño del agujero de un botón de camisa) será hecho para poder insertar el artroscopio. Varias otras incisiones pueden ser hechas para ver otras partes de esa articulación o insertar otros instrumentos. Cuando es indicado, se efectúa una cirugía correctiva con instrumentos especialmente diseñados que son insertados dentro de la articulación a través de incisiones adicionales. Al principio, la artroscopia era simplemente una herramienta para el diagnóstico y para hacer planes para ejecutar cirugía abierta estándar. Con el desarrollo de mejores instrumentos y técnicas para la cirugía, muchas patologias ahora pueden ser tratadas artroscópicamente. Por ejemplo, muchas rasgaduras del menisco en la rodilla pueden ser tratadas con mucho éxito con el uso de la cirugía artroscópica. Algunos problemas asociados con la artritis también pueden ser tratados. Varios desordenes son tratados con una combinación de artroscópica y cirugía estándar. * Procedimiento del puño rotativo * Reparación o resección de un cartílago rasgado (menisco) en la rodilla o el hombro * Reconstrucción de los desgarramientos del ligamento cruciforme anterior en la rodilla * Extirpación del revestimiento inflamado (sinovia) en la rodilla, hombro, codo, tobillo y la muñeca de la mano * Aflojamiento del túnel carpal * Reparación de ligamentos rasgados * Extirpación de partículas sueltas de hueso o cartílago en la rodilla, hombro, codo, tobillo y muñeca de la mano Después de la cirugía artroscópica, las pequeñas incisiones serán cubiertas con un vendaje. Luego, usted será movido desde la sala de operaciones hasta un cuarto de recuperación. La mayoría de los pacientes no necesitan o necesitan una pequeña cantidad de medicación para el dolor. Antes de haber sido dado de alta, le darán a usted instrucciones acerca del cuidado de sus incisiones, las actividades que debe evitar, y cuales ejercicios tiene que hacer para ayudar a su recuperación. Durante las visitas de seguimientos, el cirujano inspeccionará sus incisiones, quitará las puntadas, si es que las recibió, y discutirá su programa de rehabilitación. La cantidad de cirugía requerida y el tiempo de recuperación van a depender de cuan complicado es su problema. Ocasionalmente, durante la artroscopia, el cirujano descubrirá que el daño o la enfermedad no puede ser tratada adecuadamente con solamente la artroscopia. En casos la cirugía más extensa o ìabiertaî puede ser ejecutada mientras que usted está todavía bajo el efecto de la anestesia o en una fecha más tarde después de haber discutido los descubrimientos con su cirujano. ¿Cuáles pueden ser las posibles complicaciones? Aunque son poco común, las complicaciones ocurren ocasionalmente durante o siguiendo la artroscopia; infecciones, flebitis (coágulos de sangre en las venas), una hinchazón excesiva o derrames de sangre, daños a los vasos sanguíneos o nervios, y roturas de los instrumentos. Éstas son complicaciones más comunes, pero ocurren en menos de 1 (un) por ciento de todos los procedimientos artroscópicos. ¿Cuáles son las ventajas? A pesar de que la cirugía artroscópica ha recibido una gran cantidad de atención pública enfocada a su uso para el tratamiento de atletas famosos, esta cirugía es una herramienta extremadamente valiosa para todos los pacientes ortopédicos y es generalmente más fácil en el paciente que la cirugía ìabierta.î La mayoría de los pacientes reciben cirugía artroscópica como pacientes no internados y regresan a sus hogares unas cuantas horas después de haberla recibido. FUENTE: http://orthoinfo.aaos.org/brochure/thr_report.cfm?Thread_ID=40&topcategory=Spanish
Las pesadillas son sueños perturbadores que hacen que el soñante al despertar se sienta ansioso y asustado. Las pesadillas pueden ser respuestas a situaciones y traumas reales. Este tipo de pesadillas se clasifica en una categoría especial denominada Pesadilla de tensión Post-traumática (PSN). Las pesadillas pueden también ocurrir porque hemos ignorado o rehusado a aceptar una situación particular de la vida. La investigación ha demostrado que la mayoría de la gente que tiene pesadillas regulares ha tenido una historia familiar con problemas psiquiátricos, experiencias con drogas, personas que han contemplado el suicidio, y/o han pasado relaciones tormentosas. Las pesadillas son un indicio de temores que deben ser reconocidos y confrontados. Es una manera en que nuestro subconsciente da un aviso. "¡Presta atención!" Todos hemos tenido pesadillas en alguna ocasión de nuestras vidas. Las pesadillas son bastantes normales. Pero, ¿qué es exactamente una pesadilla y por qué las tenemos? Las pesadillas son una subcategoría de los sueños. La diferencia estriba en su contenido emocional o atemorizador. A causa de su propia naturaleza, se tiende a recordar las pesadillas y sus detalles vívidos. Las pesadillas tienen un impacto más grande sobre la mente al despertar y sus imágenes pueden permanecer a lo largo del día. Una de las razones de ocurrencia de las pesadillas puede ser que nuestro subconsciente quiere lograr nuestra atención sobre una situación o problema que se ha evitado. Es tiempo de enfrentar un problema o situación. Las pesadillas tienen un propósito importante en mostrar lo qué inquieta a la persona desde dentro de ella a niveles más profundos. Discutir, analizar, y comprender las pesadillas puede conducir a la solución de algún problema, conflicto interno o dificultad personal. Causas de las pesadillas La niñez y la Familia — Las pesadillas actuales pueden estar arraigadas en traumas y negligencias sufridos desde la niñez. Desde la carencia de amor, negligencia, alcoholismo, hasta el abuso severo, los miembros de la familia, en algunos casos pueden ser la influencia más destructiva sobre la vida de una persona. Las pesadillas pueden ser una señal de tal agitación interior. La vida — La manera como la vida de la persona se desarrolla y la sociedad en su conjunto puede contribuir a las pesadillas. La percepción que se tenga del mundo, guerras, desastres naturales, crímenes y la incapacidad individual de controlar tales sucesos puede conducir a pesadillas. Las relaciones — Las relaciones íntimas y las interacciones diarias con los demás pueden también ser una fuente de sus pesadillas. Una persona puede estar paranoica acerca de la impresión que causa en los demás, como lo ven las demás personas. Es posible que se tema que se tema ser incomprendido y vean como la persona realmente es. El aislamiento y la infelicidad pueden aparecer en pesadillas como abandono y soledad. La tensión — La manera en que se maneja la tensión puede provocar pesadillas. Las pesadillas son una respuesta normal a niveles inaceptables de temor y tensión. La gente diagnosticada con el Desorden de tensión Post-traumática frecuentemente tienen pesadillas sobre su acontecimiento traumático, como una guerra, violación, muerte de un ser querido, accidentes, terrorismo, etc. El trabajo — Puesto que la mayoría de personas pasa la mayor parte del día en el trabajo, no es ninguna sorpresa que hechos conexos con el trabajo son una fuente común de pesadillas. El estrés, la seguridad en el trabajo (o la carencia de ella), los compañeros de trabajo, problemas no resueltos, o el descontento general con lo que se hace pueden manifestarse en una pesadilla. Las pesadillas pueden reflejar sentimientos de frustración e incapacidad de controlar las situaciones del trabajo. Las pesadillas de esta naturaleza pueden aparecer como la persona siendo atacada, perseguida, o estando fuera de control. En general, tensión, traumas, temores, inseguridades, sentimientos de insuficiencia, problemas de salud, asuntos maritales, etc. pueden ser las razones para tener pesadillas. Tener pesadillas es normal, pero tenerlas frecuentemente puede ser una señal de estar abrumado y bajo tensión. Las pesadillas pueden ser un recurso importante para el conocimiento de la personalidad y el descubrimiento emocional. Transmiten una ayuda y mensaje importante para aclarar los posibles conflictos en la vida. Es importante distanciarse del contenido emocional (temer, congoja, enfado, dolor, etc.) de la pesadilla y analizarla desde una perspectiva objetiva. Las emociones perturbadoras pueden ser una manera en que el subconsciente intenta impedir una excavación profunda en el significado de las pesadillas. Sin embargo, merece la pena intentarlo y tener un sentido de esos sueños más obscuros. FUENTE: http://www.misabueso.com/esoterica/suenos/sueno_pesadillas.html
Fobia Social La Fobia social es una Timidez exacerbada y se caracteriza por un temor continuo e incontrolable a enfrentar determinadas situaciones sociales. No se debe confundir a la timidez con la fobia social, porque las personas tímidas experimentan un cierto temor a afrontar situaciones sociales, pero no por ello se incapacitan, pero en el caso de la fobia las situaciones sociales provocan ansiedad, angustia y/o pánico. Por lo que se comienza a evitar todo tipo de compromisos sociales, inhibiendo la funcionalidad de las personas que la padecen. La denominación de fobia, complica las definiciones, porque en rigor no se trata de una fobia, pero esta es la denominación que utilizan los manuales de diagnostico internacionales, porque están basados en descripciones fenomenológicas. Es así que según el manual de diagnostico de los trastornos mentales (DSM-IV) la fobia social se enumera dentro de los “trastornos de ansiedad” y se define como el temor acusado y persistente por una o más situaciones sociales o actuaciones en público en las que el sujeto se ve expuesto a personas que no pertenecen al ámbito familiar o a la posible evaluación por parte de los demás. Así la exposición a las situaciones sociales temidas provoca casi invariablemente una respuesta inmediata de ansiedad relacionada con la situación. El individuo reconoce que este temor es excesivo o irracional y las situaciones sociales o actuaciones en público temidas se evitan o bien se experimentan con ansiedad o malestar intensos que interfieren con la rutina normal del individuo con sus relaciones laborales, académicas o sociales o bien producen un malestar clínicamente significativo. El miedo no se debe a efectos fisiológicos de una sustancia y no puede explicarse por la presencia de otro trastorno. El manual aclara que se debe especificar si es generalizada (los temores son en la mayoría de las relaciones sociales), y que en los niños se debe dar entre otos niños de igual edad y debe prolongarse al menos 6 meses. Algunas de las fobias sociales son restringidas (por ejemplo a comer en público, a hablar en público o a encuentros con el sexo contrario), otras son difusas y abarcan casi todas las situaciones sociales fuera del círculo familiar. Al contrario que la mayoría de las fobias, las fobias sociales se presentan con igual frecuencia en varones y en mujeres. La fobia social es un miedo intenso de llegar a sentirse humillado en situaciones sociales, especialmente de actuar de tal modo que se coloque uno en una situación vergonzosa frente a las demás personas. Puede estar acompañada de depresión o de abuso de sustancias (alcoholismo por ej.). Las personas con fobia social no necesariamente son tímidas. Pueden sentirse totalmente cómodas con otras personas la mayor parte del tiempo, pero en situaciones especiales pueden sentir intensa ansiedad/angustia. Tratamiento: Aproximadamente el 80 por ciento de las personas que sufren de fobia social encuentran alivio a sus síntomas cuando se les brinda tratamiento basado en psicoterapia, medicamentos, o una combinación de ambos. La terapia puede involucrar aprender a ver los eventos sociales en forma diferente; exponerse a una situación social aparentemente amenazadora de tal manera que les sea más fácil enfrentarse a ella; además, aprender técnicas para reducir la ansiedad, adquirir habilidades sociales y practicar técnicas de relajamiento. Entre los medicamentos que han probado ser efectivos están ciertos Antidepresivos. Las personas que padecen de una forma específica de fobia social llamada fobia de actuación han recibido ayuda de unos medicamentos llamados Beta Bloqueantes. Por ejemplo, se puede recetar Beta Bloqueantes a músicos y otras personas con este tipo de ansiedad para que los tomen el día en que van a actuar. FUENTE: http://www.clinicapsi.com/fobia%20social.html

Bombardeo de la Plaza de Mayo Bombardeo ocurrido el 16 de junio de 1955 en Buenos Aires (Argentina), cuando un sector de la Aviación Naval Argentina bombardea y ametralla la Plaza de Mayo y la Casa Rosada que se encuentra a su vera. Desde 1945 se habían producido conspiraciones e intentonas de golpes militares por parte de la reacción oligárquica al gobierno del general Juan Domingo Perón, ya que la misma veía con malos ojos su creciente pérdida de poder político en el país y la disminución de sus perrogativas de clase. En 1951 se había producido un intento fracasado de golpe de estado por parte de ramas conservadoras del Ejército, y tras el incremento de la tensión política en 1953, se iniciaron a partir del año siguiente nuevos movimientos conspirativos en el seno de la Marina de Guerra, con epicentro en la Base Naval de Puerto Belgrano. Sin embargo, los opositores militares a Perón no lograron cristalizar una opción política a su gobierno. A inicios de 1955 un grupo de oficiales intermedios de la Armada y Fuerza Aérea promovieron otro levantamiento. Requiriendo un líder militar que aceptara tal cometido, lograron hacerse eco del contralmirante de infantería de marina Samuel Toranzo Calderón. Se mantuvieron contactos conspirativos con el general (retirado) Eduardo Lonardi y el general Pedro Eugenio Aramburu, quienes no apoyaron momentáneamente el movimiento por considerarlo prematuro (Lonardi) o por carecer de tropas bajo su mando (Aramburu, por ser de Sanidad). Para el 23 de abril los conspiradores lograron contar con el apoyo del general Bengoa, quien disponía de mando de tropas en Paraná (Entre Ríos). No obstante estos apoyos militares, no fue mucho lo que pudieron cosechar dentro de los partidos políticos, pues si bien con los partidos Nacionalista Católico (de derechas) y el Partido Socialista (de izquierdas) acordaban el derrocamiento de Perón, poco más compartían en común. Los conspiradores no parecen haber definido ningún acuerdo sobre el programa que seguirían una vez consumado el derrocamiento, fuera de establecer un régimen encabezado por una Junta cívico-militar formada también por los civiles Miguel Angel Zavala Ortiz (de la Unión Cívica Radical), Adolfo Vecchi (Partido Conservador), y Américo Ghioldi (Partido Socialista). También participaron en las instancias conspirativas Mario Amadeo y Pablo Pardo, de la extracción Católica. Los revolucionarios encontraron propicio para sus fines la campaña anticlerical emprendida por el gobierno, que logró aumentar la tensión entre mismo y la oposición. En el marco de esta campaña se produciría la Procesión del Corpus Christi del jueves 9 de junio. Viendo sus organizadores que podían utilizar la procesión religiosa como una manifestación política contra Perón, decidieron retrasar dos días su realización para poder reunir aún más participantes. El Ministro del Interior, que había autorizado el Corpus Christi del 9 de junio, prohibió esta nueva manifestación, aduciendo que no podría autorizarla como festividad religiosa. El 11 de junio se produjo la gran movilización opositora que reunió 250.000 manifestantes, desplazándose desde la zona de la Catedral a la zona del Congreso Nacional. Las crónicas de la época reseñan que los activistas dañaron placas conmemorativas a la figura de Eva Perón (fallecida dos años antes) e izaron la bandera del Vaticano en lugar de la bandera Argentina en el mástil del Congreso. También se indicó una presunta quema de bandera argentina, que tuvo gran repercusión mediática. Esto incrementó las tensiones, luego de que grupos que simpatizaban con Perón chocaran con los grupos opositores y clericales. Finalmente, el 13 de junio Perón expulsó del País a los monseñores Tato y Novoa, figuras del movimiento clerical. Mientras ocurrían estos hechos, el contralmirante Toranzo Calderón fue advertido por el Servicio de Inteligencias Navales de que su implicancia personal en el movimiento revolucionario había sido descubierta por el Servicio de Informaciones de la Fuerza Aérea (organismo que simpatizaba con Perón), por lo cual ante el temor de ser arrestado y puesto a disposición del Poder Ejecutivo, decidió apresurar una acción militar contundente. El plan consistía en aprovechar un vuelo-homenaje de desagravio a la bandera nacional que despegaría a las 8 de la mañana, y bombardear la Casa de Gobierno y el Ministerio de Guerra con el objetivo de eliminar a Perón o provocar un duro golpe psicológico contra su administración. Tropas del Batallón de Infantería de Marina 4 al mando del vicealmirante Benjamín Gargiulo (quien pocas horas había sido enterado y se había plegado a la sedición) avanzaría desde la Dársena Norte del Puerto de Buenos Aires para tomar la Casa de Gobierno, con el apoyo armado de grupos civiles apostados en la Plaza. Se había previsto la toma de la emisora de Radio Mitre y de la central de Teléfonos del Estado para difundir una proclama revolucionaria redactada por Zabala Ortiz. Se había previsto movilizar las unidades navales de la Marina de Guerra. Los revolucionarios contaban también con recibir apoyo —una vez iniciados los hechos— por parte de otros sectores del Ejército y de la oposición que no habían sido consultados. Los participantes en el bombardeo (como el entonces teniente de corbeta Máximo Rivero Kelly afirmaron posteriormente que objetivo no era matar al Presidente de la Nación, sino «quebrarlo en su fortaleza de mando». En horas de la mañana del 16 de junio el vicealmirante Gargiulo arengó a sus hombres del Batallón de Infantería de Marina 4 (quienes no estaban al corriente de la acción que se les pediría emprender) para que actuaran por la Patria y por su comandante, enviando luego a la tropa para que tomara la Casa Rosada. A los pocos minutos se les ordenó regresar: el despegue de los rebeldes de Punta Indio (estipulado para las 8 de la mañana) se había retrasado hasta las 10.45 por la niebla matinal, y el plan requería la coordinación con el ataque aéreo. La Flota de Mar tampoco pudo salir de Puerto Belgrano por falta de coordinación y por supuestos problemas técnicos en las calderas de sus buques. Para el mediodía Perón fue notificado de estos extraños movimientos por el Ministro de Guerra, general Franklin Lucero, en el Ministerio de Guerra. Mientras se desarrollaba esta junta se produjo el ataque aéreo. A las 12.40, la escuadra de treinta y cuatro aviones de la Marina de Guerra argentina (22 North American AT-6, 5 Beechcraft AT-11, 3 Consolidated PBY Catalina) anfibios, iniciaron sus bombardeos y ametrallamientos al área de la Plaza de Mayo. La sorpresa del ataque hizo que el mismo cayera sobre la población, que realizaba sus actividades normales. Entre los primeras víctimas cayeron los ocupantes de los vehículos de pasajeros. Un tranvía ocupado por niños estudiantes de la provincia de Salta, que visitaban la ciudad capital, recibió una bomba de lleno, muriendo todos los ocupantes. Fue el bautismo de fuego de la Aviación Naval Argentina (hubo un segundo, falso «bautismo» el 1.º de mayo de 1982, en la guerra de las Malvinas). Se arrojaron 9500 kg de bombas, causando la muerte a 364 personas (en su gran mayoría civiles) y heridas a más de 800. Como los rebeldes no consiguieron bombas de alto explosivo, emplearon contra la Ciudad Abierta bombas de fragmentación de 50 kg, provocándo rápidamente cientos de víctimas y daños materiales. Fue el cuarto bombardeo de Buenos Aires; la primera en ocasión de las ocupaciones inglesas de 1806 y 1807, la segunda en ocasión del Combate de los Pozos (1811) y la tercera cuando se produjo la Revolución del Parque (1890). Las evacuaciones médicas se iniciaron de inmediato, algunas incluso entre los bombardeos aéreos y por los habitantes que se encontraban en las inmediaciones. Esto provocó que algunos más cayeran. Desde el interior de la Casa de Gobierno y desde el Ministerio de Guerra comenzó a organizarse la resistencia armada. Las tropas rebeldes del Batallón 4 fueron transportadas apresuradamente en camiones a primeras horas de la tarde y desplegadas en la Plaza de Mayo frente a la Casa Rosada, pero fueron repelidos desde el interior, y por tropas del Ejército que marchaban desde el sector del Ministerio de Hacienda bajo el mando del general Lucero. Las tropas leales estaban acompañadas por simpatizantes peronistas que empuñaron las armas. Si bien Perón no deseaba que en la lucha se incluyeran civiles, estos fueron convocados por el Secretario General de la CGT Hugo Di Pietro, y por los dirigentes de la Alianza Libertadora Nacionalista. Los hombres se concentraron pronto en el sector noroeste de la plaza, y desde el Ministerio de Guerra también se hacía fuego contra los rebeldes. La gran mayoría de los soldados conscriptos del Batallón 4 no acató la orden de disparar impartida por la oficialidad, por lo que la tropa se replegó en desorden hasta el Ministerio de Marina (a poca distancia de la Casa de Gobierno), quedando los rebeldes allí cercados junto con su líder Toranzo Calderón y el ministro de marina Aníbal Olivieri (plegado al golpe por un acto de «identificación moral» con los rebeldes). Los comandos civiles rebeldes entraron en acción bajo el mando de Zavala Ortiz, hostigando a los leales y enfrentándose con la policía. Durante la tarde desde el sector del Correo Central tropas adicionales del Batallón 4 de infantería de Marina intentearon perforar el cerco establecido por los leales sobre el Ministerio de Marina. Mientras se acentuaban los tiroteos en el centro porteño, el mando leal ordenó a la Base Aérea Militar de de la Fuerza Aérea en Morón el despegue de interceptores a reacción. Los pilotos se encontraban entonces en acaloradas discusiones sobre si debían adherirse o no al movimiento revolucionario. Rápidamente, se hace al aire una escuadrilla de cuatro Gloster Meteor que son leales al gobierno. Si bien no pudieron llegar a tiempo para impedir el bombardeo, lograron interceptar una escuadrilla naval rebelde que se retiraba de la zona. La escuadrilla de interceptores Meteor Leales estaba al mando del 1er. Tte. Juan García (volando el Meteor I-039), 1er. Tte. Mario Olezza (I-077), 1er. Tte. Osvaldo Rosito (I-090) y el Tte. Ernesto Adradas (I-063), frente a las máquinas Rebeldes AT-6 Texan, pilotadas por el Tte. de Corbeta Máximo Rivero Kelly (en el Texan 0342/3-A-29) y el guardamarina Armando Román (0352/3-A-23). El combate se produce a baja altura sobre el "Aeroparque Metropolitano Jorge Newbery" y el río de la Plata, cayendo el Texan del Rebelde Román bajo los cañones de Adradas. Román pudo saltar en paracaídas cayendo al río y Adradas logró el primer derribo de la FAA y el primer derribo de un reactor en el continente americano. Fue el verdadero bautismo de fuego de la Fuerza Aérea Argentina, que volvería a combatir en Tucumán, en 1975 y en el Atlántico Sur, en 1982. Los Meteor rebeldes se dirigieron a Uruguay tras del fracaso del intento revolucionario, hasta el éxito de la llamada Revolución Libertadora ese mismo año. Los aviones siguieron prestando servicio duante años, hasta que fueros retirados. La Base Aérea de Morón caería entonces por poco tiempo en manos rebeldes, con los que estos pudieron hacerse con 4 Meteors. Los hicieron despegar para continuar ametrallando la zona de Plaza de Mayo y en apoyo a los rebeldes en la zona del Ministerio de Marina, extendiendo sus acciones hasta las 17.20. Al no contar con bombas, uno de estos aviadores empleó su tanque de combustible como si fuese una bomba de napalm, que cayó sobre los automóviles que se encontraban en el estacionamiento de la Casa de Gobierno. Ante el fracaso del combate en tierra y tras sufrir dos derribos por las baterías antiaéreas montadas en la zona, los aviadores rebeldes reciben la orden de huir al territorio uruguayo, pidiendo asilo. Zavala Ortíz logró huir en avión al Uruguay junto con otros 50 conspiradores. Algunos aparatos no llegaron a aterrizar en el Uruguay por el excesivo consumo de combustible invertido en los ametrallamientos; sus pilotos debieron descender forzosamente al Río de la Plata o en campos de la zona de Carmelo (Uruguay). Tras el duro combate terrestre (que incluyó un incidente de falsa rendición por parte de los rebeldes), éstos decidieron entregar el Ministerio de Marina a las unidades del Ejército (por temor al linchamiento). Gargiulo se suicidó en horas de la noche. La noche del 16 de junio, como represalia al bombardeo, simpatizantes peronistas incendiaron la Curia Metropolitana, las catedrales de Santo Domingo y San Francisco, junto con ocho iglesias de las zonas más acaudaladas de la ciudad. Si bien se decretó estado de sitio, Perón intentó una política de reconciliación con los sectores opositores, abandonando su política de confrontación e intentando calmar mediante llamamientos por radio a la clase trabajadora. El bombardeo es el antecedente directo del levantamiento cívico-militar que se produciría tres meses después, logrando deponer el 16 de septiembre al Presidente Perón durante la autodenominada Revolución Libertadora. Si bien los cabecillas de la intentona temieron recibir la pena de muerte por «traición a la Patria», la pena más dura fue impuesta contra Toranzo Calderón (condenado sólo a cadena perpetua). Los militares que se asilaron en Uruguay fueron dados de baja por el cargo de rebelión. Pero tras la Revolución «Libertadora» siendo reintegrados por los nuevos mandos. El Batallón de Infantería de Marina 4 fue disuelto, y la Marina de Guerra fue despojada de su poder de fuego (se les quitaron las municiones para sus cañones navales de grueso calibre). Muchos militares involucrados o simpatizantes solicitaron la baja al gobierno. El resto de los culpables no fueron juzgados, iniciando una larga etapa de impunidad por actos de crímenes de lesa humanidad que se repetiría tras los fusilamientos de José León Suárez (1956) y el Proceso de Reorganización Nacional (1976-1983). Claras huellas de los impactos de bala se aprecian aún en el revestimiento de granito, en la fachada del Ministerio de Economía de la Nación (en el lado sur de la Plaza de Mayo). FUENTE: www.wikipedia.org