espuma metálica
La espuma metálica es un material producido por la mezcla de aluminio y ciertos gases. Elresultado es una especie de esponja metálica tan resistente que se proyecta usar en la construcción de colonias espaciales y tan liviana que flota en el agua.
Alumina transparente
Los barcos, los edificios y las naves espaciales, por decir algo, ya no tienen por qué ser opacos. La alumina transparente es un material cerámico formado por diminutos cristales que le dan el aspecto de un vidrio pero tres veces la resistencia del acero. Es la clase de material con que se podría construir una prisión para Magneto.
Aerogel
se trata de la oveja negra de los sólidos,un solido transparente y liviano como el aire,pero que soporta mil veces su propio peso y temperaturas 1.300 grados
Metamateriales
Se llama así a todos los materiales que deben sus propiedades físicas no a su composición química si no al diseño de su estructura. Su mayor explotación se da en la óptica, porque poseen índices de refracción negativos, o sea, no curvan la luz y las ondas electromagnéticas de manera predecible: la onda se propaga en el sentido inverso al que la energía incide sobre ellos; es muy raro. Este fenómeno hace posible usarlos para construir lentes de aumento tan potentes y libres de distorsión que pueden amplificar a nivel visible el campo magnético de un objeto. También se usan para alinear rayos láser en la construcción de hologramas de muy alta resolución, y, además, se los comienza a usar para la fabricación de mantos de invisibilidad. También, algunos poseen índices de refracción negativa de ondas sonoras (hacen que algo sea inaudible).
Ferrofluidos
Los ferrofluidos, en cambio, son metales líquidos y fríos (¿te suena T-1000?) que cambian de forma de acuerdo alas ondas electromagéticas presentes en el ambiente, y crean caprichosas figuras como las de las siguiente imágen.(elementos indeciso entre los estados sólidos y líquidos,que adopta el comportamiento de uno y otro según como se lo estimule.
Diamante
Solemos pensar en el diamante como algo caro, pero lo cierto es que es mucho más que eso. Es uno de los materiales más resistentes y es muy liviano, su conducción del calor es casi perfecta y su punto de ebullición es el más alto de entre todos los materiales del planeta. Y no sólo se usa para construir anillos de compromiso, si no que hoy en día es el elemento ideal en la construcción de engranajes y piezas móviles de motores que exigen altísimos rendimientos, como los de los aviones de combate.
Fulerenos
Otra configuración fantástica del carbono, como los nanotubos y el diamante. En este caso, sus moléculas se caracterizan por las hermosas figuras geométricas que pueden adoptar, formas casi esféricas compuestas de hexágonos y pentágonos en perfecto equilibrio y simetría, que se cierran sobre sí mismos y hasta pueden contener otro tipo de moléculas dentro de sí mismos. Ha sido llamada "la molécula más bella", y no sólo por su forma si no por sus particulares características de superconductividad y resistencia térmica y sus aplicaciones en nanoingeniería y nanomedicina
Plasma
El cuarto estado de la materia, después del líquido, el sólido y el gaseoso, un estado que adquieren ciertos elementos al estar "super-magnetizados". Hay diferentes tipos de plasma, entre ellos el que se puede encontrar las tormentas eléctricas y en las auroras, dentro de los aceleradores de partículas y reactores de fusión, en los televisores homónimos y tubos fluorescentes, en el Sol y en toda clase de fenómenos cósmicos como las nebulosas. Generalmente están formados por iones y electrones libres que no se pueden recombinar entre sí debido a su alta temperatura, comportándose como una especie de nube de gas eléctrico.
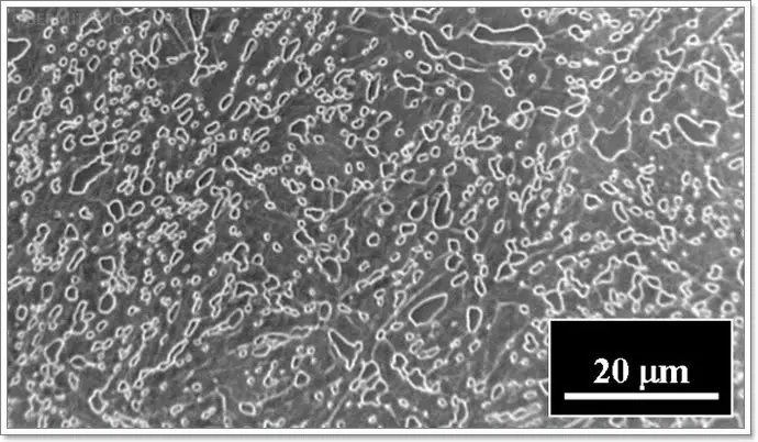
Metales amorfos
Son metales con una estructura atómica desordenada, y son creados fundiendo diversos metales y enfriándolos rápidamente antes de darles tiempo a alinear sus moléculas de la forma habitual. Normalmente, la estructura atómica del metal es cristalina, lo que significa que la uniones de sus moléculas son débiles. Los metales amorfos, en cambio, adquieren formas más heterogéneas que le permiten soportar grandes cantidades de calor, transportar electricidad sin grandes pérdidas y ser muy flexibles comparados con otros metales.
Nanotubos de carbono
Las nuevas estrellas de la ciencia ficción y de los científicos que sueñan con un ascensor que nos lleve al espacio. Los nanotubos son moléculas con forma de cilindro, cuerpo geométrico que les garantiza ser la microestructura más resistente del mundo, 300 veces más que el acero. Además, por su peculiar forma, los nanotubos pueden conducir por su interior flujos de otros átomos o de electrones
La espuma metálica es un material producido por la mezcla de aluminio y ciertos gases. Elresultado es una especie de esponja metálica tan resistente que se proyecta usar en la construcción de colonias espaciales y tan liviana que flota en el agua.
Alumina transparente
Los barcos, los edificios y las naves espaciales, por decir algo, ya no tienen por qué ser opacos. La alumina transparente es un material cerámico formado por diminutos cristales que le dan el aspecto de un vidrio pero tres veces la resistencia del acero. Es la clase de material con que se podría construir una prisión para Magneto.
Aerogel
se trata de la oveja negra de los sólidos,un solido transparente y liviano como el aire,pero que soporta mil veces su propio peso y temperaturas 1.300 grados
Metamateriales
Se llama así a todos los materiales que deben sus propiedades físicas no a su composición química si no al diseño de su estructura. Su mayor explotación se da en la óptica, porque poseen índices de refracción negativos, o sea, no curvan la luz y las ondas electromagnéticas de manera predecible: la onda se propaga en el sentido inverso al que la energía incide sobre ellos; es muy raro. Este fenómeno hace posible usarlos para construir lentes de aumento tan potentes y libres de distorsión que pueden amplificar a nivel visible el campo magnético de un objeto. También se usan para alinear rayos láser en la construcción de hologramas de muy alta resolución, y, además, se los comienza a usar para la fabricación de mantos de invisibilidad. También, algunos poseen índices de refracción negativa de ondas sonoras (hacen que algo sea inaudible).
Ferrofluidos
Los ferrofluidos, en cambio, son metales líquidos y fríos (¿te suena T-1000?) que cambian de forma de acuerdo alas ondas electromagéticas presentes en el ambiente, y crean caprichosas figuras como las de las siguiente imágen.(elementos indeciso entre los estados sólidos y líquidos,que adopta el comportamiento de uno y otro según como se lo estimule.
Diamante
Solemos pensar en el diamante como algo caro, pero lo cierto es que es mucho más que eso. Es uno de los materiales más resistentes y es muy liviano, su conducción del calor es casi perfecta y su punto de ebullición es el más alto de entre todos los materiales del planeta. Y no sólo se usa para construir anillos de compromiso, si no que hoy en día es el elemento ideal en la construcción de engranajes y piezas móviles de motores que exigen altísimos rendimientos, como los de los aviones de combate.
Fulerenos
Otra configuración fantástica del carbono, como los nanotubos y el diamante. En este caso, sus moléculas se caracterizan por las hermosas figuras geométricas que pueden adoptar, formas casi esféricas compuestas de hexágonos y pentágonos en perfecto equilibrio y simetría, que se cierran sobre sí mismos y hasta pueden contener otro tipo de moléculas dentro de sí mismos. Ha sido llamada "la molécula más bella", y no sólo por su forma si no por sus particulares características de superconductividad y resistencia térmica y sus aplicaciones en nanoingeniería y nanomedicina
Plasma
El cuarto estado de la materia, después del líquido, el sólido y el gaseoso, un estado que adquieren ciertos elementos al estar "super-magnetizados". Hay diferentes tipos de plasma, entre ellos el que se puede encontrar las tormentas eléctricas y en las auroras, dentro de los aceleradores de partículas y reactores de fusión, en los televisores homónimos y tubos fluorescentes, en el Sol y en toda clase de fenómenos cósmicos como las nebulosas. Generalmente están formados por iones y electrones libres que no se pueden recombinar entre sí debido a su alta temperatura, comportándose como una especie de nube de gas eléctrico.
Metales amorfos
Son metales con una estructura atómica desordenada, y son creados fundiendo diversos metales y enfriándolos rápidamente antes de darles tiempo a alinear sus moléculas de la forma habitual. Normalmente, la estructura atómica del metal es cristalina, lo que significa que la uniones de sus moléculas son débiles. Los metales amorfos, en cambio, adquieren formas más heterogéneas que le permiten soportar grandes cantidades de calor, transportar electricidad sin grandes pérdidas y ser muy flexibles comparados con otros metales.
Nanotubos de carbono
Las nuevas estrellas de la ciencia ficción y de los científicos que sueñan con un ascensor que nos lleve al espacio. Los nanotubos son moléculas con forma de cilindro, cuerpo geométrico que les garantiza ser la microestructura más resistente del mundo, 300 veces más que el acero. Además, por su peculiar forma, los nanotubos pueden conducir por su interior flujos de otros átomos o de electrones