Buenas gente solo quiero decirles que aca por lo menos aca en este post debatamos "sinceramente" porque somos adictos o porque lo usamos como metodo para relajarnos.Recomiendo que este post es para aquellos que se "matan"a....la mayor parte del tiempo.Todo lo mencionado es para reflexionar y queda a criterio de ustedes
A continuacion voy a dejar un gif para que vean el efecto inmediato que ocurre
Que les hizo sentir Sashita?ya estaran pensado en entrar a xvideos,pero esto puede alejarte de tu familia,amigos y amigas no creo,ya que pensaras:¿para que amigas si la pornografia me da lo que necesito?o capaz no podes hablar con tus mujeres porque no tenes argumento,no te salen las palabras,ahi es cuando el impulso actua
-A la adiccion no le importa quien eres
-No le importa tu edad
-No piensa en tu futuro
Solo quiere ser satisfecha...
Yo te comprendo porque estoy pasando por los mismo que vos
Que nos juega en contra?
-Antes era mucho mas dificil ver ya que teniamos que buscar en revistas de nuestros tios o gente mayor que nos comprara,ahora esta a la distancia de un Click!
-Hoy en dia conocemos muchas categorias para el espectador con el fin de provocar exitacion,esto favorece a las personas que buscan algo en especial
-Mayor nivel de pornografia,entre los mas consumidores son España,Argentina,Colombia etc
.Generalmente son Adolescentes(Taringueros entre ellos)y adultos tambien.
A continuacion un video de CQC en el cual se menciona todo este tema,y les preguntan a ciudadanos si ven o no..
Aca en taringa mencionamos que estamos cansados de nuestra vida(me incluyo)pero porque?Estas son las desventajas de la masturbacion
Que dejes de realizar todas las actividades normales de tu vida y te encierres todo el tiempo para masturbarte (es decir te aisles socialmente).
Que te masturbes solamente porque no tienes nada que hacer y lo hagas de forma brusca y rápida que te lastimes y te conviertas en un ser egoísta que solo piensa en su placer y satisfacción personal
Que conviertas la masturbación en una adicción la cual no te permita tener relaciones sexuales con una pareja o que tu prefieras hacerlo solo.
Algo bueno?
Que puedes conocer tu cuerpo y la forma en que este responde ante los estímulos sexuales que reciba (la masturbación es un acto NORMAL mucho más allá de lo que te digan otros, incluso a veces hasta necesario).
Los estudios científicos realizados indican que los hombres que eyaculan frecuentemente son menos propensos a sufrir a futuro de cáncer prostático.(la masturbación ayuda en ese aspecto al menos si no tienes vida sexual activa).
Que el pene al ser un músculo por medio de la masturbación es ejercitado para así encontrarse preparado para sus futuros encuentros íntimos, ayuda en el caso de que sufras de frenillo corto a que poco a poco se vaya descubriendo y así no tener molestias a futuro en tus relaciones sexuales (Ojo hablo de frenillo corto y no de fimosis en la que se tiene que realizar circunsición obligatoriamente).
Que al manipular tu pene vas conociendo tus partes íntimas, a tener más confianza en ti mismo y pierdes la vergüenza en el sentido de a futuro poder mostrarte desnudo ante tu pareja, esto quita timidez y te da seguridad al momento de estar con una mujer (aunque muchos digan lo contrario).
Para el que no este enterado,lea lo de arriba o busque info,es bueno..no se digo..
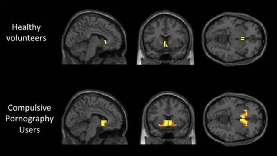
A continuacion podemos observar radiografias de un persona no adicta a la pornografia y a una si
Nunca esta de mas saber lo que hacemos a diario,podemos seguir haciendo lo mismo pero "algo"tenemos que saber sobre este tema.Los taringueros somos especialistas en busquedas de imagenes cuando no sabemos el nombre de la mujer que esta en frente de nuestra pantalla.Yo pienso que no vamos a "durar" nada si algun dia tenemos la oportunidad de tener un encuentro intimo con una mujer o sino en algunos casos un traba como prefieren algunos
En fin cada uno sabra su caso y si quiere contarlo aca o en otro lado bienvenido sea,total aca somos todos iguales..
A continuacion voy a dejar un gif para que vean el efecto inmediato que ocurre
Que les hizo sentir Sashita?ya estaran pensado en entrar a xvideos,pero esto puede alejarte de tu familia,amigos y amigas no creo,ya que pensaras:¿para que amigas si la pornografia me da lo que necesito?o capaz no podes hablar con tus mujeres porque no tenes argumento,no te salen las palabras,ahi es cuando el impulso actua
-A la adiccion no le importa quien eres
-No le importa tu edad
-No piensa en tu futuro
Solo quiere ser satisfecha...
Yo te comprendo porque estoy pasando por los mismo que vos
Que nos juega en contra?
-Antes era mucho mas dificil ver ya que teniamos que buscar en revistas de nuestros tios o gente mayor que nos comprara,ahora esta a la distancia de un Click!
-Hoy en dia conocemos muchas categorias para el espectador con el fin de provocar exitacion,esto favorece a las personas que buscan algo en especial
-Mayor nivel de pornografia,entre los mas consumidores son España,Argentina,Colombia etc
.Generalmente son Adolescentes(Taringueros entre ellos)y adultos tambien.
A continuacion un video de CQC en el cual se menciona todo este tema,y les preguntan a ciudadanos si ven o no..
Aca en taringa mencionamos que estamos cansados de nuestra vida(me incluyo)pero porque?Estas son las desventajas de la masturbacion
Que dejes de realizar todas las actividades normales de tu vida y te encierres todo el tiempo para masturbarte (es decir te aisles socialmente).
Que te masturbes solamente porque no tienes nada que hacer y lo hagas de forma brusca y rápida que te lastimes y te conviertas en un ser egoísta que solo piensa en su placer y satisfacción personal
Que conviertas la masturbación en una adicción la cual no te permita tener relaciones sexuales con una pareja o que tu prefieras hacerlo solo.
Algo bueno?
Que puedes conocer tu cuerpo y la forma en que este responde ante los estímulos sexuales que reciba (la masturbación es un acto NORMAL mucho más allá de lo que te digan otros, incluso a veces hasta necesario).
Los estudios científicos realizados indican que los hombres que eyaculan frecuentemente son menos propensos a sufrir a futuro de cáncer prostático.(la masturbación ayuda en ese aspecto al menos si no tienes vida sexual activa).
Que el pene al ser un músculo por medio de la masturbación es ejercitado para así encontrarse preparado para sus futuros encuentros íntimos, ayuda en el caso de que sufras de frenillo corto a que poco a poco se vaya descubriendo y así no tener molestias a futuro en tus relaciones sexuales (Ojo hablo de frenillo corto y no de fimosis en la que se tiene que realizar circunsición obligatoriamente).
Que al manipular tu pene vas conociendo tus partes íntimas, a tener más confianza en ti mismo y pierdes la vergüenza en el sentido de a futuro poder mostrarte desnudo ante tu pareja, esto quita timidez y te da seguridad al momento de estar con una mujer (aunque muchos digan lo contrario).
Para el que no este enterado,lea lo de arriba o busque info,es bueno..no se digo..
A continuacion podemos observar radiografias de un persona no adicta a la pornografia y a una si
Nunca esta de mas saber lo que hacemos a diario,podemos seguir haciendo lo mismo pero "algo"tenemos que saber sobre este tema.Los taringueros somos especialistas en busquedas de imagenes cuando no sabemos el nombre de la mujer que esta en frente de nuestra pantalla.Yo pienso que no vamos a "durar" nada si algun dia tenemos la oportunidad de tener un encuentro intimo con una mujer o sino en algunos casos un traba como prefieren algunos
En fin cada uno sabra su caso y si quiere contarlo aca o en otro lado bienvenido sea,total aca somos todos iguales..