En el hospital interzonal de Ezeiza, un equipo de médicos expertos atiende a las personas que ocultan estupefacientes en su organismo; el riesgo de vida y los casos más extraños
Para el multimillonario negocio del narcotráfico, son apenas un envase que transporta mercadería tan valiosa como letal. Sin embargo, se trata de seres humanos que ponen su vida en un gran riesgo al cargar sus cuerpos con droga.
En el estómago, en la vagina, de manera sólida o líquida, las "mulas", como se conoce a estas personas, ocultan dentro de sus organismos pequeñas -y no tan pequeñas- cantidades de estupefacientes. Cuando no logran pasar los controles, son los médicos los encargados de llevar a cabo el proceso de evacuación de la droga. En Argentina existe un hospital con un área especializada en este tipo de pacientes: el Hospital Interzonal de Ezeiza Alberto Eurnekian.
A principios de junio de este año, seis personas fueron detenidas en Ezeiza antes de salir del país con 562 cápsulas de cocaína en su cuerpo. En total, se recogieron seis kilos de droga camuflada entre los órganos de dos mujeres y cuatro hombres, entre ellos, un polaco y un rumano.
CAMBIOS DE MODALIDAD, NUEVOS DIAGNÓSTICOS
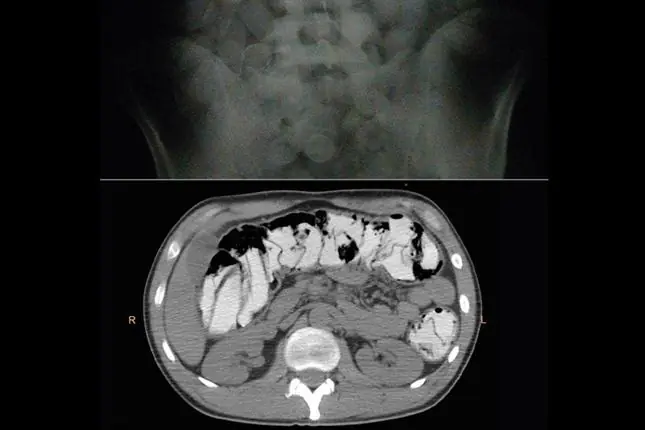
Las primeras mulas introducían por estómago, vagina o ano droga en estado sólido, que era detectada a través de la realización de placas. El primer caso que llegó a este hospital fue en 1994. Se trataba de un hombre detenido por personal de seguridad en el aeropuerto de Ezeiza. Por entonces la información sobre esta modalidad de tráfico era escasa. "Pero por la cercanía del hospital con el aeropuerto, comenzaron a llegar cada vez más casos y así fuimos adquiriendo experiencia y desarrollando un protocolo para la atención de este tipo de pacientes", cuenta a LA NACION Graciela Sorrentino, directora del hospital. Hoy esta institución es referente en el tema y realiza capacitaciones en otros centros médicos.
La modalidad de tráfico fue cambiando y exigió, a su vez, nuevas prácticas médicas para detectar la droga y salvar la vida de estos pacientes en riesgo.
"En 2011 comenzaron a llegar personas que habían ingerido cápsulas líquidas. Éstas no son detectadas por placas, por lo que comenzamos a practicar tomografías computadas. El riesgo con la droga líquida es mayor porque, si bien es más fácil de ingerir, hay más posibilidades de que se perforen y esto puede ser letal para el paciente", explica la médica especialista.
Las mulas llegan al hospital junto con una orden judicial que permite a los médicos proceder al diagnóstico.
"Para nosotros cada uno de estos pacientes es un desafío, porque es una persona desconocida que en general no quiere o no sabe decir lo que ingirió. Hasta que no sacamos el primer elemento extraño no sabemos con qué estamos lidiando", relata Sorrentino.
"Es un poco trabajar a ciegas. Ellos te dicen que ingirieron un número de cápsulas pero nunca coincide, por eso siempre realizamos métodos diagnósticos para asegurarnos de que no queda ninguna", añade.
Para ingerirla, la droga es colocada en cápsulas de diversos materiales e incluso en condones anudados. Lo más común es que la mula ingiera las cápsulas para que queden en su estómago durante el cruce de una frontera o de un control policial. Pero también hay otras vías.
"Hemos llegado a sacar 400 gramos de cocaína de la vagina de una mujer. Era un envase del tamaño de una mano. En general las cápsulas tienen entre 1 y 2 cm de ancho, pero hemos encontrado algunas de hasta 6 cm", indica Sorrentino.
En promedio cada cápsula suele tener alrededor de 10 gramos de droga, en general de cocaína de mucha pureza. "Si se rompe sólo una de estas cápsulas, es posible que podamos salvarle la vida al paciente. Pero más de una cápsula rota es casi seguro que cause la muerte. Si la ruptura es mínima y la droga se filtra de a poco, la persona comienza a mostrar síntomas de intoxicación y nos da la pauta de que debe ser sometida a cirugía", explica Sorrentino.
El caso más impactante que les tocó fue el de un hombre que había ingerido 298 cápsulas. "Fue terrible porque fue difícil diagnosticarlo. Cuando nos dijo que eran más de 200 fue un shock. Pero lo más difícil fue darlo de alta, porque después de tantas evacuaciones y comidas no podíamos distinguir qué había en su organismo con una placa normal. Ahí comenzamos a usar la tomografía computada", relata Sorrentino.
EL PROCESO DE EXPULSIÓN
En la mayoría de los casos, la cirugía no es necesaria. "Cuando la droga es ingresada por vía rectal suele ser más fácil de extraer, porque es un lugar incómodo para el cuerpo y tiende a expulsarlas naturalmente. El peligro es que se atraviesen y haya que hacer maniobras para enderezarlas y que salgan", indica la directora del hospital
"Si la droga fue introducida por vía vaginal tenemos que sacarlas manualmente, sin instrumental, porque hay riesgo de ruptura y si eso sucede se absorbe directamente", añade.
En el caso de la droga ingerida por vía estomacal, que es lo más común, si es detectada a tiempo, lo que se lleva a cabo es un proceso de evacuación controlado por los médicos. El paciente es internado en una habitación con dos custodios permanentes.
"Hay que tener en cuenta que, más allá de su situación de conflicto con la ley, para nosotros estas personas son pacientes. Por eso fuimos trabajando para que las fuerzas de seguridad que hacen la custodia actúen acorde al ámbito hospitalario en el que se encuentran", relata Sorrentino.
El área de internación de las mulas está anexada a la terapia intensiva. El paciente permanece aislado y con vigilancia médica y policial.
La expulsión de las cápsulas suele tarde un promedio de 40 horas. "Depende del paciente, de la cantidad, de su intestino, del género. Nosotros ayudamos con un preparado", explica la directora del hospital.
La habitación tiene un baño privado con inodoro químico. Ahí es donde ocurre tal vez la parte más incómoda para el paciente: la evacuación es supervisada por personal médico y de vigilancia.
"Por una cuestión de asegurarnos de que no haya riesgos para el paciente, los médicos tenemos que estar presente mientras expulsa la droga. A su vez, esa droga es prueba de un delito, por lo cual debe haber al menos un miembro de una fuerza de seguridad observando la situación", dice Sorrentino.
El baño químico permite que la droga quede alojada en la recámara y así se evita que parte de la "evidencia" se vaya literalmente por las cañerías. Una vez retirada de la recámara, se lava y se embolsa para ser entregada a la autoridad judicial correspondiente.
El paciente permanece incomunicado durante todo el proceso de evacuación. Si es extranjero, los médicos se comunican con la embajada para dar aviso de la situación.
EL PERFIL DE LA MULA
Según un informe del Ministerio de Salud bonaerense, en los últimos 17 años, el personal médico del hospital de Ezeiza ayudó en la evacuación de 30.842 cápsulas de cocaína.
Sorrentino cuenta que la mayoría de sus pacientes, casi el 95 por ciento, son extranjeros. "En general es gente con graves situaciones familiares, económicas, de enfermedad. Por motivos económicos recurren a esto", dice.
Las edades de las mulas varían: van desde los 18 a los 65 años, pero el promedio es de 23. Los casos de mujeres embarazadas que hacen de mulas son alrededor del 2 por ciento.
Una investigación realizada por Alejandro Corda, integrante de Intercambios AC, una ONG con trayectoria en el tema de las políticas de drogas, traza el perfil de las personas detenidas por tráfico de drogas en Argentina: en su mayoría mujeres, jefas de hogar, de áreas humildes y en general extranjeras.
En su trabajo, Corda cita un estudio del Consejo Nacional de las Mujeres, que detectó que estas personas suelen tener entre "25 y 44 años, que desde las organizaciones clandestinas son tentadas para acciones penalizadas de alta exposición, mujeres de bajos recursos, con una carga familiar importante, que las convierte en destinatarias ideales para escuchar y aceptar la oferta".
Para el multimillonario negocio del narcotráfico, son apenas un envase que transporta mercadería tan valiosa como letal. Sin embargo, se trata de seres humanos que ponen su vida en un gran riesgo al cargar sus cuerpos con droga.
En el estómago, en la vagina, de manera sólida o líquida, las "mulas", como se conoce a estas personas, ocultan dentro de sus organismos pequeñas -y no tan pequeñas- cantidades de estupefacientes. Cuando no logran pasar los controles, son los médicos los encargados de llevar a cabo el proceso de evacuación de la droga. En Argentina existe un hospital con un área especializada en este tipo de pacientes: el Hospital Interzonal de Ezeiza Alberto Eurnekian.
A principios de junio de este año, seis personas fueron detenidas en Ezeiza antes de salir del país con 562 cápsulas de cocaína en su cuerpo. En total, se recogieron seis kilos de droga camuflada entre los órganos de dos mujeres y cuatro hombres, entre ellos, un polaco y un rumano.
CAMBIOS DE MODALIDAD, NUEVOS DIAGNÓSTICOS
Las primeras mulas introducían por estómago, vagina o ano droga en estado sólido, que era detectada a través de la realización de placas. El primer caso que llegó a este hospital fue en 1994. Se trataba de un hombre detenido por personal de seguridad en el aeropuerto de Ezeiza. Por entonces la información sobre esta modalidad de tráfico era escasa. "Pero por la cercanía del hospital con el aeropuerto, comenzaron a llegar cada vez más casos y así fuimos adquiriendo experiencia y desarrollando un protocolo para la atención de este tipo de pacientes", cuenta a LA NACION Graciela Sorrentino, directora del hospital. Hoy esta institución es referente en el tema y realiza capacitaciones en otros centros médicos.
La modalidad de tráfico fue cambiando y exigió, a su vez, nuevas prácticas médicas para detectar la droga y salvar la vida de estos pacientes en riesgo.
"En 2011 comenzaron a llegar personas que habían ingerido cápsulas líquidas. Éstas no son detectadas por placas, por lo que comenzamos a practicar tomografías computadas. El riesgo con la droga líquida es mayor porque, si bien es más fácil de ingerir, hay más posibilidades de que se perforen y esto puede ser letal para el paciente", explica la médica especialista.
Las mulas llegan al hospital junto con una orden judicial que permite a los médicos proceder al diagnóstico.
"Para nosotros cada uno de estos pacientes es un desafío, porque es una persona desconocida que en general no quiere o no sabe decir lo que ingirió. Hasta que no sacamos el primer elemento extraño no sabemos con qué estamos lidiando", relata Sorrentino.
"Es un poco trabajar a ciegas. Ellos te dicen que ingirieron un número de cápsulas pero nunca coincide, por eso siempre realizamos métodos diagnósticos para asegurarnos de que no queda ninguna", añade.
Para ingerirla, la droga es colocada en cápsulas de diversos materiales e incluso en condones anudados. Lo más común es que la mula ingiera las cápsulas para que queden en su estómago durante el cruce de una frontera o de un control policial. Pero también hay otras vías.
"Hemos llegado a sacar 400 gramos de cocaína de la vagina de una mujer. Era un envase del tamaño de una mano. En general las cápsulas tienen entre 1 y 2 cm de ancho, pero hemos encontrado algunas de hasta 6 cm", indica Sorrentino.
En promedio cada cápsula suele tener alrededor de 10 gramos de droga, en general de cocaína de mucha pureza. "Si se rompe sólo una de estas cápsulas, es posible que podamos salvarle la vida al paciente. Pero más de una cápsula rota es casi seguro que cause la muerte. Si la ruptura es mínima y la droga se filtra de a poco, la persona comienza a mostrar síntomas de intoxicación y nos da la pauta de que debe ser sometida a cirugía", explica Sorrentino.
El caso más impactante que les tocó fue el de un hombre que había ingerido 298 cápsulas. "Fue terrible porque fue difícil diagnosticarlo. Cuando nos dijo que eran más de 200 fue un shock. Pero lo más difícil fue darlo de alta, porque después de tantas evacuaciones y comidas no podíamos distinguir qué había en su organismo con una placa normal. Ahí comenzamos a usar la tomografía computada", relata Sorrentino.
EL PROCESO DE EXPULSIÓN
En la mayoría de los casos, la cirugía no es necesaria. "Cuando la droga es ingresada por vía rectal suele ser más fácil de extraer, porque es un lugar incómodo para el cuerpo y tiende a expulsarlas naturalmente. El peligro es que se atraviesen y haya que hacer maniobras para enderezarlas y que salgan", indica la directora del hospital
"Si la droga fue introducida por vía vaginal tenemos que sacarlas manualmente, sin instrumental, porque hay riesgo de ruptura y si eso sucede se absorbe directamente", añade.
En el caso de la droga ingerida por vía estomacal, que es lo más común, si es detectada a tiempo, lo que se lleva a cabo es un proceso de evacuación controlado por los médicos. El paciente es internado en una habitación con dos custodios permanentes.
"Hay que tener en cuenta que, más allá de su situación de conflicto con la ley, para nosotros estas personas son pacientes. Por eso fuimos trabajando para que las fuerzas de seguridad que hacen la custodia actúen acorde al ámbito hospitalario en el que se encuentran", relata Sorrentino.
El área de internación de las mulas está anexada a la terapia intensiva. El paciente permanece aislado y con vigilancia médica y policial.
La expulsión de las cápsulas suele tarde un promedio de 40 horas. "Depende del paciente, de la cantidad, de su intestino, del género. Nosotros ayudamos con un preparado", explica la directora del hospital.
La habitación tiene un baño privado con inodoro químico. Ahí es donde ocurre tal vez la parte más incómoda para el paciente: la evacuación es supervisada por personal médico y de vigilancia.
"Por una cuestión de asegurarnos de que no haya riesgos para el paciente, los médicos tenemos que estar presente mientras expulsa la droga. A su vez, esa droga es prueba de un delito, por lo cual debe haber al menos un miembro de una fuerza de seguridad observando la situación", dice Sorrentino.
El baño químico permite que la droga quede alojada en la recámara y así se evita que parte de la "evidencia" se vaya literalmente por las cañerías. Una vez retirada de la recámara, se lava y se embolsa para ser entregada a la autoridad judicial correspondiente.
El paciente permanece incomunicado durante todo el proceso de evacuación. Si es extranjero, los médicos se comunican con la embajada para dar aviso de la situación.
EL PERFIL DE LA MULA
Según un informe del Ministerio de Salud bonaerense, en los últimos 17 años, el personal médico del hospital de Ezeiza ayudó en la evacuación de 30.842 cápsulas de cocaína.
Sorrentino cuenta que la mayoría de sus pacientes, casi el 95 por ciento, son extranjeros. "En general es gente con graves situaciones familiares, económicas, de enfermedad. Por motivos económicos recurren a esto", dice.
Las edades de las mulas varían: van desde los 18 a los 65 años, pero el promedio es de 23. Los casos de mujeres embarazadas que hacen de mulas son alrededor del 2 por ciento.
Una investigación realizada por Alejandro Corda, integrante de Intercambios AC, una ONG con trayectoria en el tema de las políticas de drogas, traza el perfil de las personas detenidas por tráfico de drogas en Argentina: en su mayoría mujeres, jefas de hogar, de áreas humildes y en general extranjeras.
En su trabajo, Corda cita un estudio del Consejo Nacional de las Mujeres, que detectó que estas personas suelen tener entre "25 y 44 años, que desde las organizaciones clandestinas son tentadas para acciones penalizadas de alta exposición, mujeres de bajos recursos, con una carga familiar importante, que las convierte en destinatarias ideales para escuchar y aceptar la oferta".