

¿Queres una sonrisa como la de picardía? ¿Así de blanca?

Te explico y te cuento....
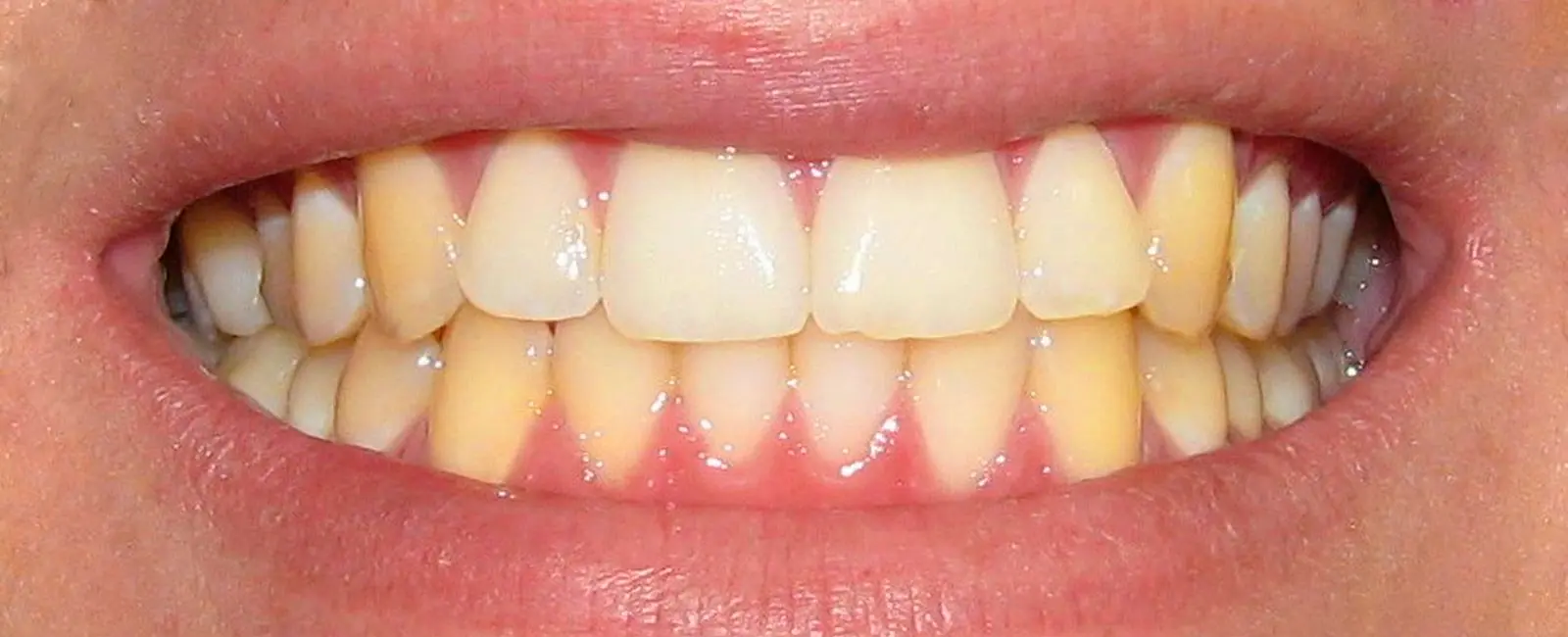
“Una sonrisa es la llave secreta que abre muchos corazones”, dice una frase célebre y es que este simple gesto puede revelar mucho sobre una persona, incluso de su higiene, por lo que una coloración de tus dientes amarillenta podría dar una mala impresión.

El tipo de alimentación, el elevado consumo de café y fumar pueden darle un tono amarillento a los dientes, independiente de que se goce de buenos hábitos de limpieza bucal.

La mayor parte de tratamientos para blanquear pueden llegar a ser costosos, pero existen ingredientes naturales que pueden hacer un cambio significativo, como el bicarbonato, la salvia y la cáscara de plátano, por eso ahora decido compartirles esta receta casera que encontré y también he utilizado.

NO MÁS GASTOS INNECESARIOS!

INGREDIENTES:
+ 1 fresa madura

+ 1 cucharada de bicarbonato de sodio

+ ½ limón

+ Pasta de dientes


PREPARACIÓN:
En un recipiente machaca la fresa hasta que tome un aspecto de puré, añade la cucharada de bicarbonato y el jugo de medio limón y mezcla hasta obtener una masa espesa. Se puede guardar en un recipiente en la refrigeradora y sacarla unos minutos antes de usarla para que no este fría y no moleste los dientes.

MODO DE USO:
Utiliza un cepillo para aplicar la mezcla. Aplícala de arriba hacia abajo, con un poco de insistencia en los laterales y el centro de las muelas, luego utiliza movimientos circulares en los dientes frontales y finalmente, enjuaga con suficiente agua para eliminar los residuos.

Se debe dejar que actué esta pasta alrededor de 5 minutos. La fresa posee vitamina C, lo cual es saldable para barrer con la placa, y también ácido málico que es muy efectivo para quitar manchas de los dientes.

Es importante que no lo practiques a diario ya que los ingredientes tienen una cualidad abrasiva que podría dañar el esmalte natural de tus dientes.


