Manual para hacer mas lindo al Taringuero,Taringuera y/o Robertos
Coloca Bicarbonato De Sodio Debajo De Tus Ojos Y Observa Lo Que Sucede ¡Sorprendente!…

El bicarbonato de sodio es utilizado en tratamientos de belleza, por ejemplo: preparación de cremas, mascarillas, pasta de dientes o desodorantes. Aquí te revelaremos como es que tan solo utilizando bicarbonato de sodio serás capaz de eliminar las ojeras y los signos de cansancio.
Antes debemos aclarar que en ocasiones las ojeras se deben a otros problemas como la mala circulación o inclusive es la misma genética. De tal forma que utilizaremos el bicarbonato de sodio como remedio rápido, seguro y eficaz.
Método de preparación:
Prepárate una taza de té de manzanilla
Añade una cucharadita de bicarbonato de sodio al té y mezcla
Empapa dos discos de algodón con la mezcla y a continuación colóquelo en los ojos
Relájese y deje reposar los discos durante 15 minutos. Después de este tiempo deberás retirar los discos, lávate la cara y utiliza una crema hidratante.
Este método lo puedes utilizar diario, verás que con el paso del tiempo las ojeras y los signos de cansancio irán desapareciendo. Cuando veas que han desaparecido las ojeras, puedas hacerlo dos a tres veces a la semana para evitar que estas regresen.
Cómo evitar las ojeras ojeras

Reduce la ingesta de sal en la alimentación diaria ya que ayuda a disminuir la retención de líquidos bajo los ojos.
Cuida la calidad y el número de horas de sueño. La falta de descanso se refleja con rapidez en forma de ojeras y pequeñas bolsas.
Aplica diariamente compresas frías de manzanilla o té para combatir la inflamación en el contorno de los ojos.
Consume suficiente agua, alrededor de 2 litros diarios de líquido dependiendo de factores como la temperatura, las actividades, etc.
Usar regularmente mascarillas para los ojos: tanto con una mascarilla casera o las que ofrece el mercado como las que son de elaboración propia.
Si eres de las personas que padece de ojeras por estar todo el día en taringa, ahora ya tienes un excelente método para eliminarlas y lo mejor de todo es que no invertirás mucho dinero en épocas de ajuste y devaluacion.
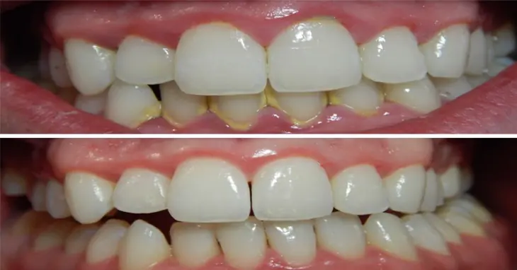
Al Usar Esta Mezclas, Eliminará El Sarro De Los Dientes En Solo 5 Minutos ¡COMPROBADO!…

Si el sarro se encuentra en su etapa inicial puedes eliminarlo de una manera sencilla, todos los ingredientes se encuentran en la farmacia, así que vamos a la parte que nos interesa.
Ingredientes:
Bicarbonato de sodio
Cepillo de dientes
Peróxido de hidrógeno
Sal
Agua tibia
Palillo de dientes
Enjuague bucal antiséptico
Método de aplicación:
Paso 1. En primer lugar debes mezclar una cucharada de bicarbonato de sodio con media cucharadita de sal en una taza. Después de mojar el cepillo de dientes en agua tibia, sumérgelo en la mezcla. Luego frota los dientes con el cepillo y escupe los residuos, debes continuar este mismo proceso durante cinco minutos para ir debilitando el sarro.
Paso 2. Mezcla una taza llena de peróxido de hidrógeno con media taza de agua tibia y enjuague la boca durante un minuto, luego escupir y enjuagar con media taza de agua fría.
Paso 3. Frote el sarro de los dientes de color amarillo con un palillo de dientes, tenga cuidado de no arañar las encías ya que se pueden irritar y sangrar.
Paso 4. Enjuaga la boca con un enjuage bucal antiséptico y repetir el enjuague cada dos días.
Cómo evitar el sarro de los dientes

Cepíllate los dientes todos los días, por lo menos dos veces al día.
Utiliza el hilo dental, en ocasiones el cepillo de dientes no llega en algunas zonas, por ello es necesario el hilo.
Come frutas y verduras.
Consume jugos de frutas ácidas, son muy eficaces para prevenir el sarro en los dientes.
Consulta a tu dentista de manera regular.
A partir de ahora ya no tienes excusa alguna para que tengas sarro en los dientes, ya te dimos a conocer el método para poder eliminarlo y sonreirle a tu lincesa o Roberto favorito.
Toma Esto 2 Veces Al Día Y Mira Como Pierdes Peso Sin Hacer Ejercicios… … ¡Increíble…!…
Cada vez las personas buscan verse de mejor manera estéticamente, por lo que desean bajar de peso a como de lugar.
Los métodos para adelgazar son muchos y cada uno de ellos se adapta a las necesidades de cada usuario. Si andas buscando bajar de peso pero sin necesidad de hacer ejercicio, te tenemos una excelente noticia.
En esta ocasión vamos a compartir con ustedes la receta de una bebida que deberás tomar dos veces al día y comenzarás a perder peso fácilmente. ¡Conoce los ingredientes!
Pierde peso sin hacer ejercicios(especial gamers ,ciber-pros, ciber-ks,xtubers)

Esta receta que te vamos a recomendar se basa principalmente en la avena, ya que contiene una gran cantidad de propiedades para la salud y muy útil para bajar de peso.
Ingredientes:
1 cucharada de esencia de vainilla
1 taza de avena integral
1 cucharadita de miel
6 tazas de agua potable
1 cucharadita pequeña de canela
Método de preparación:
Coloca la avena en un recipiente con suficiente agua potable.
Deja remojar la avena por 7 horas. Este proceso es necesario para eliminar algunos inhibidores de encimas que contiene la avena, por eso debemos respetar el tiempo de remojo.
Una vez transcurrido este tiempo, cuela la avena y licúa con 6 tazas de agua, agrega canela, la vainilla y la miel.
Procesa hasta que el resultado sea un batido homogéneo y cremoso.
Modo de uso:
Para obtener todos los beneficios de esta bebida, te recomendamos beber un vaso de esta receta todos los días en ayunas. También puedes consumirlo media hora antes de las comidas.
Dicha bebida te ayudará a eliminar todas las toxinas, te dará una sensación de saciedad y lo más importante, lograrás bajar esa pancita molesta.
Beneficios de esta bebida de avena
Las propiedades que tiene la avena son los siguientes: tiene alto contenido en fibra, posee antioxidantes, produce efecto de saciedad, reduce el apetito, mejora la digestión, ayuda a prevenir el estreñimiento y por si fuera poco, actúa como acelerador de metabolismo, de ahí que sea el ingrediente principal en esta receta .
También la receta tiene canela, la cual ha demostrado ser muy útil como acelerador de metabolismo y ayuda a quemar la grasa. Estos ingredientes hacen de esta receta una potente bebida para perder peso y rebajar la grasa abdominal.
Agradecemos que hayas tomado tu tiempo para leer acerca de esta bebida que te permite perder peso sin hacer ejercicio y seguir viciando frente a la pc, algo que seguramente muchos taringueros estaban buscando. .
TARINGUEROS PROMEDIO


fuentes:http://universonatural.social/eliminar-las-ojeras/
http://universonatural.social/pierde-peso-sin-hacer-ejercicios/
http://universonatural.social/sarro-de-los-dientes/