BUENAS TARINGUEROS/AS, UN POCO DE INTELIGENCIA COLECTIVA. ESPERO LES GUSTE EL POST Y LA INFO.
El óxido de hierro, un componente que se encuentra de forma natural en una gran variedad de minerales, e incluso forma parte de nuestro cuerpo, ha adquirido actualmente gran relevancia debido a su enorme potencial en el campo de la biomedicina. Las nanopartículas de oxido de hierro se están estudiando para su uso como transportadoras de fármacos antitumorales, como agentes que mejoran la imagen de tejidos dañados o como detectores de moléculas cuya presencia en sangre revela la existencia de ciertas enfermedades.
A las ventajas ya conocidas de las nanopartículas, tales como su pequeño tamaño, ideal para interaccionar con células, virus, proteínas, etcétera, o la posibilidad de recubrirlas con otros materiales distintos, se le añade la particularidad de que el hierro es fácilmente metabolizable dentro del cuerpo humano y de que puede ser magnético.
Este hecho hace que estas nanopartículas se puedan dirigir por dentro del cuerpo mediante un imán y utilizar como generadoras de calor, destruyendo, de esta forma, los tejidos malignos. Para conocer más detalles sobre estas fascinantes posibilidades tengo hoy la oportunidad de hablar con Puerto Morales, investigadora del Instituto de Ciencia de Materiales de Madrid (ICMM-CSIC) que está llevando a cabo una exitosa carrera científica centrada en la síntesis y estudio de este tipo de nanopartículas.
ENTREVISTA:
M. L. En primer lugar me gustaría que, por favor, me detallara en qué consiste la terapia antitumoral que han desarrollado en su grupo de investigación y que ha dado tan buenos resultados preliminares
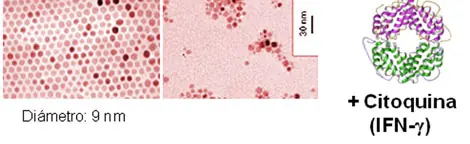
P. M. Primero sintetizamos las nanopartículas de óxido de hierro y las recubrimos de un componente que las haga estables y solubles en agua, como por ejemplo DMSA (ácido dimercaptosucínico) Después las unimos a un fármaco antitumoral, una citoquina, que es una proteína que activa el sistema inmune, siempre y cuando exista una concentración elevada de ella. Posteriormente, se introduce en sangre una disolución acuosa de estas nanopartículas portadoras del fármaco y mediante un imán, se concentran en la zona del tumor, como se puede ver en el esquema que se muestra más abajo.
M. L. Por lo tanto el hecho de ser magnéticas es fundamental para poder concentrarlas y que el fármaco actúe.
P. M. Efectivamente, además podríamos aprovecharnos de otra propiedad del magnetismo: al aplicar un campo magnético alterno se genera calor. Al elevar la temperatura de la zona tumoral contribuimos también a la eliminación de tumor.
M. L. ¿Qué índice de éxito han obtenido con esta estrategia combinada? P. M. Muy alto, en las pruebas en ratones hemos conseguido una reducción del tamaño del tumor importante en quince días y su eliminación en algunos casos
M. L. ¿Para qué tipo de cáncer sería indicada esta terapia? P. M. De momento hemos estudiado su aplicación para el cáncer de páncreas pero podría también tener éxito en el cáncer de mama.
M. L. ¿Va a pasar esta terapia a la siguiente fase, al estudio en seres humanos?
P. M. El CSIC, junto con el CNB, hemos patentado esta terapia y este año hemos extendido esta patente a toda Europa. Actualmente estamos en la fase de darla a conocer a las distintas empresas farmacéuticas para su posible utilización.
M. L. ¿En qué otras aplicaciones biomédicas están trabajando?
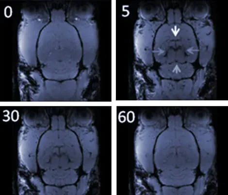
P. M. También estamos estudiando la capacidad de las nanopartículas de óxido de hierro para mejorar el contraste en las imágenes de tejido interno. Por ejemplo, las imágenes inferiores muestran el cerebro de una rata por Resonancia Magnética de Imagen. A tiempo 0 (imagen superior izquierda), en ausencia de nanopartículas, no se diferencian las distintas partes del cerebro. A los 5 minutos de la inyección, tal y como se muestra en la segunda imagen comienzan a distinguirse (flechas) y al cabo de 60 minutos las nanopartículas ya han desaparecido del cerebro.
M. L. Este resultado me lleva a una importante pregunta: ¿cuál es la toxicidad de estas nanopartículas de óxido de hierro?
P. M. El índice de toxicidad de estas nanopartículas en concreto, es muy bajo. Los estudios de toxicidad se realizan primero en vitro, es decir, en células. No sólo se tienen que exponer las células a una concentración de nanopartículas suficientemente alta y esperar el tiempo necesario para ver su efecto (más de 48 horas), sino que además se debe evaluar su supervivencia y posibles daños. Una célula puede que haya sobrevivido a la presencia de nanopartículas pero que esté dañada. Creo que es muy importante que estos estudios se hagan de forma rigurosa.
M. L. Y una vez que se ha demostrado baja toxicidad en las células, el siguiente paso es el estudio en vivo, ¿no es así?
P. M. Si, en ratones. Las nanopartículas de óxido de hierro que nosotros utilizamos se acumulan en el hígado y el bazo temporalmente y progresivamente se van disolviendo, el cuerpo va asimilando el hierro de forma natural. El hecho de que estas nanopartículas sean magnéticas es una ventaja a la hora de determinar su localización y cuantificación en los distintos órganos.
M. L. Cuando en el futuro se logren desarrollar estas terapias con nanopartículas magnéticas hasta el punto de que se utilicen rutinariamente en los hospitales, ¿cree que serán seguras?
P. M. Yo creo que si serán seguras. De hecho ya existen medicamentos basados en nanopartículas de óxidos de hierro como algunos antianémicos. Los medicamentos y terapias médicas pasan unos controles muy estrictos que obligan a esperar entre 10 y 20 años a que una tecnología salga al mercado.
Mónica" Luna es investigadora en Nanociencia y Nanotecnología del Instituto" de Microelectrónica de Madrid (CNM-CSIC).
BUENO, HASTA ACA LLEGO POR EL MOMENTO, ESPEREMOS CON TODO ESTO QUE SE ESTA INVESTIGANDO SE PUEDA TERMINAR DE UNA BUENA VEZ POR TODAS CON ESTA ENFERMEDAD DE MIER..- EXITOS!
Nanopartículas de óxido de hierro contra el cáncer
El óxido de hierro, un componente que se encuentra de forma natural en una gran variedad de minerales, e incluso forma parte de nuestro cuerpo, ha adquirido actualmente gran relevancia debido a su enorme potencial en el campo de la biomedicina. Las nanopartículas de oxido de hierro se están estudiando para su uso como transportadoras de fármacos antitumorales, como agentes que mejoran la imagen de tejidos dañados o como detectores de moléculas cuya presencia en sangre revela la existencia de ciertas enfermedades.
A las ventajas ya conocidas de las nanopartículas, tales como su pequeño tamaño, ideal para interaccionar con células, virus, proteínas, etcétera, o la posibilidad de recubrirlas con otros materiales distintos, se le añade la particularidad de que el hierro es fácilmente metabolizable dentro del cuerpo humano y de que puede ser magnético.
Este hecho hace que estas nanopartículas se puedan dirigir por dentro del cuerpo mediante un imán y utilizar como generadoras de calor, destruyendo, de esta forma, los tejidos malignos. Para conocer más detalles sobre estas fascinantes posibilidades tengo hoy la oportunidad de hablar con Puerto Morales, investigadora del Instituto de Ciencia de Materiales de Madrid (ICMM-CSIC) que está llevando a cabo una exitosa carrera científica centrada en la síntesis y estudio de este tipo de nanopartículas.
ENTREVISTA:
M. L. En primer lugar me gustaría que, por favor, me detallara en qué consiste la terapia antitumoral que han desarrollado en su grupo de investigación y que ha dado tan buenos resultados preliminares
P. M. Primero sintetizamos las nanopartículas de óxido de hierro y las recubrimos de un componente que las haga estables y solubles en agua, como por ejemplo DMSA (ácido dimercaptosucínico) Después las unimos a un fármaco antitumoral, una citoquina, que es una proteína que activa el sistema inmune, siempre y cuando exista una concentración elevada de ella. Posteriormente, se introduce en sangre una disolución acuosa de estas nanopartículas portadoras del fármaco y mediante un imán, se concentran en la zona del tumor, como se puede ver en el esquema que se muestra más abajo.
M. L. Por lo tanto el hecho de ser magnéticas es fundamental para poder concentrarlas y que el fármaco actúe.
P. M. Efectivamente, además podríamos aprovecharnos de otra propiedad del magnetismo: al aplicar un campo magnético alterno se genera calor. Al elevar la temperatura de la zona tumoral contribuimos también a la eliminación de tumor.
M. L. ¿Qué índice de éxito han obtenido con esta estrategia combinada? P. M. Muy alto, en las pruebas en ratones hemos conseguido una reducción del tamaño del tumor importante en quince días y su eliminación en algunos casos
M. L. ¿Para qué tipo de cáncer sería indicada esta terapia? P. M. De momento hemos estudiado su aplicación para el cáncer de páncreas pero podría también tener éxito en el cáncer de mama.
M. L. ¿Va a pasar esta terapia a la siguiente fase, al estudio en seres humanos?
P. M. El CSIC, junto con el CNB, hemos patentado esta terapia y este año hemos extendido esta patente a toda Europa. Actualmente estamos en la fase de darla a conocer a las distintas empresas farmacéuticas para su posible utilización.
M. L. ¿En qué otras aplicaciones biomédicas están trabajando?
P. M. También estamos estudiando la capacidad de las nanopartículas de óxido de hierro para mejorar el contraste en las imágenes de tejido interno. Por ejemplo, las imágenes inferiores muestran el cerebro de una rata por Resonancia Magnética de Imagen. A tiempo 0 (imagen superior izquierda), en ausencia de nanopartículas, no se diferencian las distintas partes del cerebro. A los 5 minutos de la inyección, tal y como se muestra en la segunda imagen comienzan a distinguirse (flechas) y al cabo de 60 minutos las nanopartículas ya han desaparecido del cerebro.
M. L. Este resultado me lleva a una importante pregunta: ¿cuál es la toxicidad de estas nanopartículas de óxido de hierro?
P. M. El índice de toxicidad de estas nanopartículas en concreto, es muy bajo. Los estudios de toxicidad se realizan primero en vitro, es decir, en células. No sólo se tienen que exponer las células a una concentración de nanopartículas suficientemente alta y esperar el tiempo necesario para ver su efecto (más de 48 horas), sino que además se debe evaluar su supervivencia y posibles daños. Una célula puede que haya sobrevivido a la presencia de nanopartículas pero que esté dañada. Creo que es muy importante que estos estudios se hagan de forma rigurosa.
M. L. Y una vez que se ha demostrado baja toxicidad en las células, el siguiente paso es el estudio en vivo, ¿no es así?
P. M. Si, en ratones. Las nanopartículas de óxido de hierro que nosotros utilizamos se acumulan en el hígado y el bazo temporalmente y progresivamente se van disolviendo, el cuerpo va asimilando el hierro de forma natural. El hecho de que estas nanopartículas sean magnéticas es una ventaja a la hora de determinar su localización y cuantificación en los distintos órganos.
M. L. Cuando en el futuro se logren desarrollar estas terapias con nanopartículas magnéticas hasta el punto de que se utilicen rutinariamente en los hospitales, ¿cree que serán seguras?
P. M. Yo creo que si serán seguras. De hecho ya existen medicamentos basados en nanopartículas de óxidos de hierro como algunos antianémicos. Los medicamentos y terapias médicas pasan unos controles muy estrictos que obligan a esperar entre 10 y 20 años a que una tecnología salga al mercado.
Mónica" Luna es investigadora en Nanociencia y Nanotecnología del Instituto" de Microelectrónica de Madrid (CNM-CSIC).
BUENO, HASTA ACA LLEGO POR EL MOMENTO, ESPEREMOS CON TODO ESTO QUE SE ESTA INVESTIGANDO SE PUEDA TERMINAR DE UNA BUENA VEZ POR TODAS CON ESTA ENFERMEDAD DE MIER..- EXITOS!