Bienvenidos a mi nuevo post
En casa tenemos este microscopio de juguete, con el que a veces jugamos con mi nene:
Hoy estuvimos jugando un rato, y fuimos sacando fotos de lo que estuvimos mirando. Antes de poner las fotos, te voy a explicar rápidamente como está compuesto un microscopio para que se entienda mejor
Este microscopio, tiene un ocular de 10x y objetivos de 10x, 30x y 60x, por lo que da aumentos de 100X, 300X y 600X. Si se lo compara con un microscopio profesional, el aumento que se obtiene es similar (los microscopios "de verdad" tienen en general oculares de 10x, y objetivos de 4x, 10x, 40x y 100x). La diferencia entre los microscopios profesionales y los de juguete es la resolución.
aumento: capacidad de un sistema óptico de amplificar el tamaño de la imagen de un objeto pequeño o distante
resolución: capacidad de un sistema óptico de mostrar separados dos puntos muy cercanos entre sí
Acá te dejo fotos de un microscopio profesional y del microscopio de juguete que hay en casa
Se ven bastante parecidos no? Acordate lince, ambos dan mas o menos los mismos aumentos, la diferencia está en la resolución.
Bueno, acá te dejo las fotos. Las fotos fueron sacadas con mi celular (moto G, 5 mpx. )Apoyando el lente de la cámara sobre el ocular del microscopio
Preparado 1. Hoja de lazo de Amor (Chlorophytum comosum)
Raspé la hoja con un cutter para dejar una capa lo más fina posible y la puse entre porta y cubreobjeto con una gota de agua.
Pese a que me acuerdo algo de la facultad, mi fuerte no es la botánica. Por eso no me animo a hacer una descripción detallada de lo que se ve, pero a grandes rasgos se observa el parénquima clorofílico de la hoja (verde) y un borde de tejido epitelial (transparente)
Detalle a mayor aumento
Preparado 2. Frotis de mucosa bucal
Con un hisopo froté la cara interna de la mejilla, y luego pasé el hisopo por el portaobjeto. Puse una gota de colorante y el cubreobjeto.
Se ve con bastante claridad una célula epitelial obtenida por descamación en la que se distingue el núcleo y el citoplasma.
Y lo mismo a mayor aumento
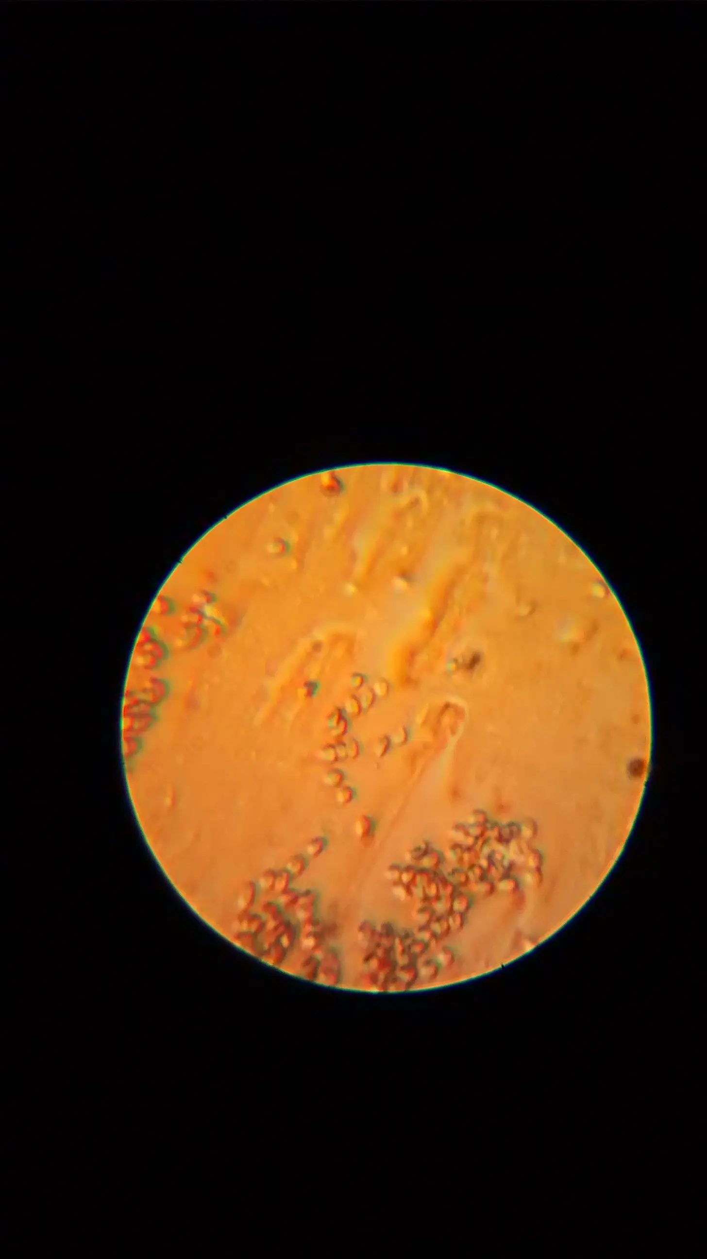
Preparado 3. Epitelio de tallo de cebolla de verdeo (Allium fistulosum)
Con mucho cuidado desprendí la capa más externa del tallo de una planta de cebolla de verdeo. Me quedó una especie de tela muy fina, que fue lo que observamos al microscopio
Se ve con bastante claridad la disposición de las células, y se distinguen bastante bien los núcleos de las mismas.
Lo mismo a mayor aumento
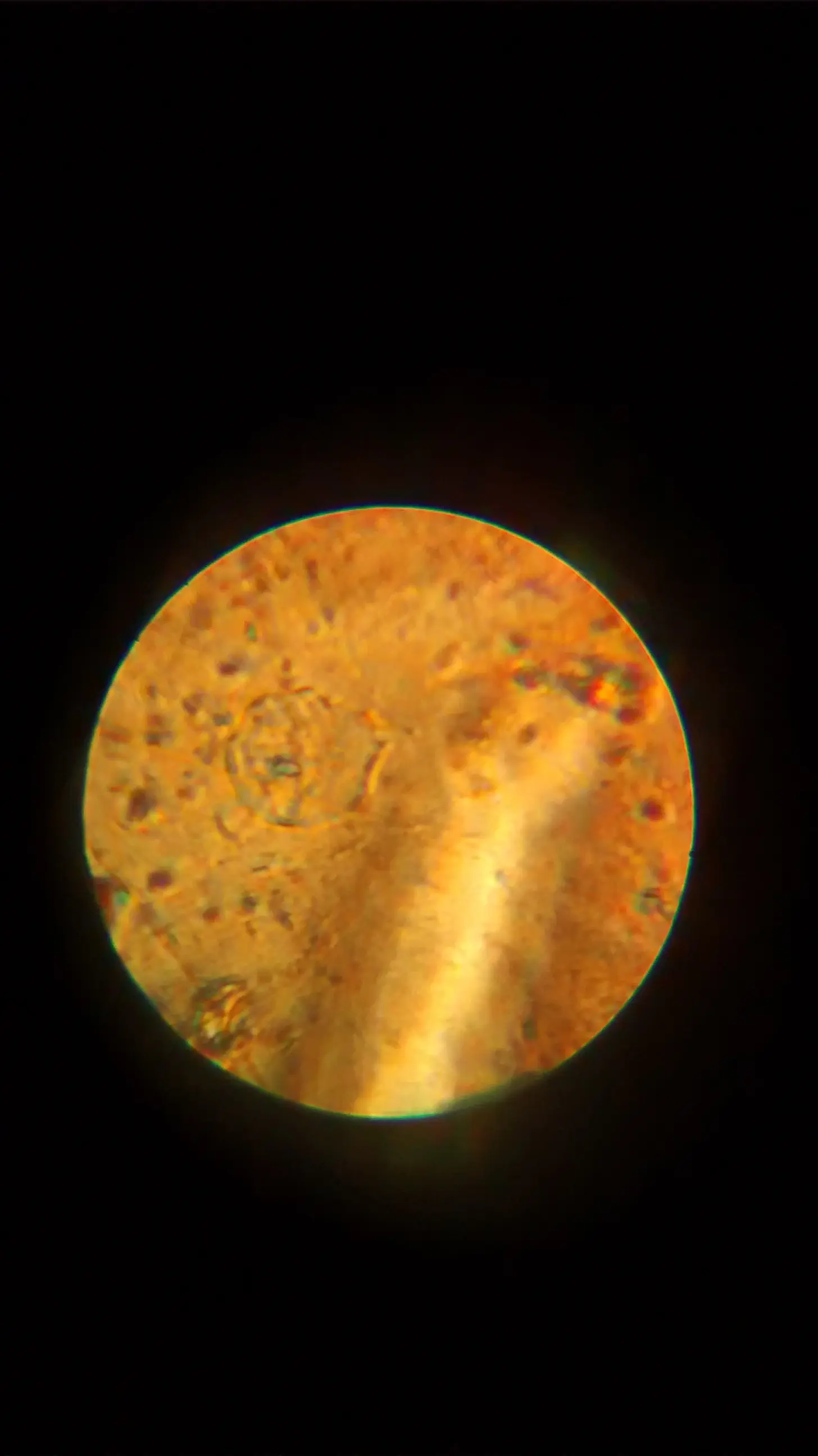
Preparado 4. Epitelio de bulbo de Ajo (allium sativum) (piel de un diente de ajo)
De forma parecida a la anterior, desprendí con mucho cuidado un pedacito de la piel de un diente de ajo
Se ve la disposición de las células formando el tejido. A mayor aumento se distinguen los núcleos de las mismas.
Preparado 5. Sangre.
Me pinche la yema de un dedo, coloqué una gotita de sangre sobre el porta y con otro porta hice una frotis. Lo dejé secar y lo miramos directamente, sin colorear y sin cubreobjetos.
Las fotos las saqué mirando con el mayor aumento (600x) a menores aumentos se veían puntitos muy chiquitos. Se ven claramente los glóbulos rojos. En las fotos no se puede apreciar, pero con el microscopio, moviendo un poco el foco se notaba la biconvexidad de los mismos.
Es todo por hoy linces. Espero que les guste
En casa tenemos este microscopio de juguete, con el que a veces jugamos con mi nene:
Hoy estuvimos jugando un rato, y fuimos sacando fotos de lo que estuvimos mirando. Antes de poner las fotos, te voy a explicar rápidamente como está compuesto un microscopio para que se entienda mejor
Este microscopio, tiene un ocular de 10x y objetivos de 10x, 30x y 60x, por lo que da aumentos de 100X, 300X y 600X. Si se lo compara con un microscopio profesional, el aumento que se obtiene es similar (los microscopios "de verdad" tienen en general oculares de 10x, y objetivos de 4x, 10x, 40x y 100x). La diferencia entre los microscopios profesionales y los de juguete es la resolución.
aumento: capacidad de un sistema óptico de amplificar el tamaño de la imagen de un objeto pequeño o distante
resolución: capacidad de un sistema óptico de mostrar separados dos puntos muy cercanos entre sí
Acá te dejo fotos de un microscopio profesional y del microscopio de juguete que hay en casa
Se ven bastante parecidos no? Acordate lince, ambos dan mas o menos los mismos aumentos, la diferencia está en la resolución.
Bueno, acá te dejo las fotos. Las fotos fueron sacadas con mi celular (moto G, 5 mpx. )Apoyando el lente de la cámara sobre el ocular del microscopio
Preparado 1. Hoja de lazo de Amor (Chlorophytum comosum)
Raspé la hoja con un cutter para dejar una capa lo más fina posible y la puse entre porta y cubreobjeto con una gota de agua.
Pese a que me acuerdo algo de la facultad, mi fuerte no es la botánica. Por eso no me animo a hacer una descripción detallada de lo que se ve, pero a grandes rasgos se observa el parénquima clorofílico de la hoja (verde) y un borde de tejido epitelial (transparente)
Detalle a mayor aumento
Preparado 2. Frotis de mucosa bucal
Con un hisopo froté la cara interna de la mejilla, y luego pasé el hisopo por el portaobjeto. Puse una gota de colorante y el cubreobjeto.
Se ve con bastante claridad una célula epitelial obtenida por descamación en la que se distingue el núcleo y el citoplasma.
Y lo mismo a mayor aumento
Preparado 3. Epitelio de tallo de cebolla de verdeo (Allium fistulosum)
Con mucho cuidado desprendí la capa más externa del tallo de una planta de cebolla de verdeo. Me quedó una especie de tela muy fina, que fue lo que observamos al microscopio
Se ve con bastante claridad la disposición de las células, y se distinguen bastante bien los núcleos de las mismas.
Lo mismo a mayor aumento
Preparado 4. Epitelio de bulbo de Ajo (allium sativum) (piel de un diente de ajo)
De forma parecida a la anterior, desprendí con mucho cuidado un pedacito de la piel de un diente de ajo
Se ve la disposición de las células formando el tejido. A mayor aumento se distinguen los núcleos de las mismas.
Preparado 5. Sangre.
Me pinche la yema de un dedo, coloqué una gotita de sangre sobre el porta y con otro porta hice una frotis. Lo dejé secar y lo miramos directamente, sin colorear y sin cubreobjetos.
Las fotos las saqué mirando con el mayor aumento (600x) a menores aumentos se veían puntitos muy chiquitos. Se ven claramente los glóbulos rojos. En las fotos no se puede apreciar, pero con el microscopio, moviendo un poco el foco se notaba la biconvexidad de los mismos.
Es todo por hoy linces. Espero que les guste