Ciencia y Educación. Gifs impresionantes

Que tal Gente de T!. Bienvenidos a mi Nuevo Post.
En esta ocasión les traigo una interesante recopilación de datos de Ciencia y Educación, acompañados como siempre de buenos Gif, sobre nuestro extraño e interesante mundo.
En esta ocasión les traigo una interesante recopilación de datos de Ciencia y Educación, acompañados como siempre de buenos Gif, sobre nuestro extraño e interesante mundo.

Encontrarás muchas imágenes animadas, te recomiendo dejar cargar el contenido.

Comencemos:

Así es como se ve nuestro interior
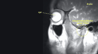
Si alguna vez te preguntaste cómo se verían desde nuestro interior algunas de las prácticas que todos los humanos realizamos, hoy te lo muestro. Gracias a las resonancias magnéticas, se puede ver el interior de nuestro cuerpo a la perfección.
1. Bebiendo jugo de piña.
2. Haciendo la digestión, donde se puede ver la vejiga y el recto humano.
3. El ojo mientras miramos.
4. Tocando una trompeta, donde se puede ver cómo se mueve la lengua para producir el sonido.
5. Besando, Se puede apreciar la excitación de la persona por el latido de su corazón.
6. Un feto en el interior de su madre.
7. Un feto a punto de salir al mundo.
Pulmones sanos
Pulmones de un Fumador
Se podría pensar que el metal no es inflamable, pero si usted puede conseguir caliente suficientemente y exponerlo al oxígeno, es fácil. Aquí se puede ver un poco de lana de acero que ha sido calentada a más de 700 grados centígrados, usando nada más que una batería.
¿Cómo? Descubre en este vídeo que muestra lo que usted necesita para llevar a cabo este hermoso experimento de la ciencia:
Increíble Gif de un Corazón que late en un Caja durante el transporte para una operación en un Centro de Trasplante de Órganos.
Increíble erupción volcánica en Papúa Nueva Guinea
Este Gif pertenece a un video hecho por una pareja australiana, muestra el poder destructivo del Monte Tarvurvur, la pareja estaban en un barco de aproximadamente 2 kilómetros de la explosión. El video muestra claramente la onda de choque de ondulación a través de la atmósfera.
Video:
Puente de Agua eléctricamente inducido
Pon un electrodo en cada vaso, un alto voltaje entre ellos y se forma un puente de agua. Puede llegar a ser de 4 cm en algunos casos.
¿Que cae primero, el huevo o la gallina?
Si un pollo y huevo se dejan caer simultáneamente desde la misma altura, ¿cuál tocará tierra primero? Bueno, en realidad, es un empate en esta carrera gravitatoria. Si dos objetos con diferentes masas se dejan caer simultáneamente desde la misma altura, ambos golpearan el suelo al mismo tiempo.
Esto se debe a la diferencia de inercia -objetos con una masa mayor requieren más energía para conseguir bajar.
Vídeo:
Tormenta Eléctrica
El ácido ribonucleico (ARN o RNA) es un ácido nucleico formado por una cadena de ribonucleótidos. Está presente tanto en las células procariotas como en las eucariotas, y es el único material genético de ciertos virus (virus ARN).
Los "Osos de Agua" puede sobrevivir sin comida ni agua durante más de una década. Pueden sobrevivir a temperaturas de cero a por encima del punto de ebullición del agua, presión de seis veces más fuerte que la más profunda fosa oceánica, radiación centenares de veces superiores a la dosis letal para un ser humano, y el vacío del espacio".
Una proteína motora tirando de una vesícula a lo largo del filamento del citoesqueleto.
Deformación de una Pelota de Golf al ser golpeada a alta velocidad
Aquí se puede ver como la luz de un láser sigue el camino de una corriente de agua que fluye. Esto sucede porque el ángulo en el que la luz desde el láser que golpea la superficie del agua está más allá del "ángulo crítico '- en lugar de la refracción de la luz, que es reflejada internamente. Esta "reflexión interna total" es una propiedad usada en el cable de fibra óptica para transmitir señales de luz a través de grandes distancias, permitiendo que la luz se doble alrededor de las esquinas.
Esta región de formación estelar de gas de hidrógeno ionizado se encuentra en la Gran Nube de Magallanes, una pequeña galaxia vecina de la Vía Láctea. Es el hogar de muchas de las condiciones extremas que incluyen remanentes de supernova y la estrella más pesado jamás encontrado. La Nebulosa de la Tarántula es la nebulosa más luminosa de su tipo en el Universo local.
Evolución del Universo
Los científicos del MIT (Instituto Tecnológico de Massachusetts) han desarrollado una nueva simulación que traza 13 mil millones años de evolución cósmica. Comienzan la simulación poco después del Big Bang con una región del espacio mucho más pequeño que el universo (a tan sólo 350 millones de años luz de diámetro).
Al principio, vemos agrupación materia oscura debido a la fuerza de gravedad
Entonces vemos la materia visible - el azul para las nubes frías de gas donde se forman las galaxias, rojo para galaxias explosivas más violentos (segunda de dos GIFs).
Agujeros negros súper masivos forman, sobrecalentamiento del material alrededor de ellos, causando explosiones de color blanco brillante que enriquecen el espacio entre las galaxias con gas caliente pero escaso.
Los diferentes elementos (representados por diferentes colores) se propagan a través del universo.
Llegamos a una distribución de la materia oscura que se parece a la que vemos en nuestro universo actual.
La simulación es tan complejo que llevaría dos mil años para hacer en un solo escritorio. Y es algo hermoso.
Zoom a Microchip
Es absolutamente impresionante lo pequeño que podemos hacer las cosas hoy en día. Lo que estamos viendo aquí es un microchip estándar, más viejo, aunque en principio el mismo que el chip del teléfono celular moderno. En el nivel micro que estamos tratando con esta comparación:
"Un micrón es de 1 millonésima de metro, 10-6 o 10-3 de milímetro. Muy pequeña. Se abrevia con la letra griega para M, o la mu". Se necesita 100.000 micras a la igualdad de cerca de 4 pulgadas y hacia el final de la serie que estamos en el rango de 1 micra.
Fases de la Luna
Animación de la Luna en la que se muestra los ciclos a través de sus fases, como se ve desde el hemisferio norte. El aparente bamboleo de la Luna se conoce como libración. El cambio aparente en el tamaño es debido a la excentricidad de la órbita lunar.
Recorrido de las olas del Tsunami de Indonesia
Cada asteroide descubierto desde 1980
Ha habido más de 600.000 asteroides identificados en el interior del sistema solar desde 1980. Los asteroides que cruzan nuestra órbita están en rojo, los que sólo reciben cerca están en amarillo, y los aún más lejos están todos en verde.
Conceptos matemáticos visualmente impresionantes que son fáciles de explicar
Si nos fijamos en esta animación y piensa en ello el tiempo suficiente, vas a entender:
- ¿Por qué los círculos y los triángulos de ángulo recto y los ángulos son todos relacionados.
- ¿Por qué seno es opuesto sobre la hipotenusa y así sucesivamente.
- ¿Por qué coseno es simplemente sine pero compensado por pi / 2 radianes.
Fractura del vidrio en 5 millones de cuadros por segundo
Cada avión que cruza el Atlántico Norte en un período de 24 horas
"No hay tal vez otro objeto en el cielo que se nos presenta una variedad de fenómenos extraordinarios como el planeta Saturno."
—Sir William Herschel (1738-1822)
Magnetic Putty Magic
Esta masilla magnética presenta las mismas posibilidades de mareabilidad que cualquier arcilla o plastilina, pudiéndole deformar, esculpir o acumular. La diferencia esta en su fenómeno para atraer cualquier cuerpo que contenga metales pesados expuestos en las proximidades de su campo magnético, provocando su absorción de forma espontánea.
Explosión de petardo en cámara lenta
Una Burbuja congelandose
Microscopio electrónico con increíble zoom. El cual es tan potente que se puede observar una diatomea (un tipo de alga) que está en un anfípodo (un tipo de crustáceo sin cáscara).
Así es como luce un anillo de fuego de un "Eclipse Solar"
BionicKangaroo
Recreación robótica de un Canguro elaborado por Festo para demostrar el movimiento eficiente de la energía, reproduciendo tecnológicamente la manera única en que un canguro se mueve. Al igual que su modelo natural, se puede recuperar la energía al saltar, almacenarla y utilizarla de manera eficiente para el siguiente salto. En el canguro artificial, combina inteligentemente la tecnología neumática y eléctrica de accionamiento para producir un sistema altamente dinámico.
Lanzallamas con el zumo de una Naranja
Crecimiento de algunos tipos de Hongos
Animación "Cosas en el aire" mundial durante un período de dos años en la Tierra. Hecho por la NASA
Azul = sal marina
Verde = orgánicos
Rojo = polvo
Blanco = sulfatos
3 Diferentes maneras de respirar
El rápido movimiento de un objeto astronómico
- Distancia: 6,5 años luz
- En tercer lugar el vecino más cercano del Sol
- Descubierto en 2013 utilizando Explorador Infrarrojo de Campo Amplio de la NASA (WISE)
Vaso de plástico vs hidróxido de sodio y polvo de silicio
Hidróxido de sodio vs una bicicleta
Hidróxido de sodio vs vidrio
¿Puedes prender fuego al hielo?
Bueno... sí! Con los ingredientes adecuados.
Mediante la adición de carburo de calcio al hielo, que reacciona con el agua para producir gas de acetileno, que es altamente inflamable.
El Polímero absorbe agua y se expande. Mantiene casi las mismas propiedades de refracción como el agua y parece invisible. El polímero es poliacrilato de sodio (o similar).
Pregunta: Cuantas esferas hay en este recipiente?
Respuesta: Alrededor de Mil esferas.
Así es! Es nuestro amigo polímero de poliacrilato de sodio de nuevo!
Violenta explosión en la fotósfera del Sol con una energía equivalente a decenas de millones de bombas de hidrógeno, tienen lugar en la corona solar y la cromosfera, calentando plasma a decenas de millones de kelvin y acelerando los electrones, protones e iones más pesados resultantes a velocidades cercanas a la de la luz.
La mayoría suceden alrededor de manchas solares, donde emergen intensos campos magnéticos de la superficie del Sol hacia la corona.
Bacterias reproduciendose
Cometa Machholz, fotografiado por STEREO A, 3 de abril de 2007.
14 imágenes tomadas con la cámara SECCHI H1 durante aproximadamente 15 horas. El Sol se encuentra fuera del marco más allá de la parte superior derecha. Observe que 96P / Machholz tiene dos colas: La más larga y recta casi directamente opuesta al Sol, mientras que la cola de polvo más amplia y corta (a la derecha) a lo largo de trayectoria orbital del cometa.
Este es tu Cerebro creando memorias
Los científicos de la Escuela de Medicina Albert Einstein de la Universidad Yeshiva han capturado cómo nuestro cerebro hace los recuerdos.
Un Diente y ácido fosfórico durante 365 días.
Si usted no lo sabía, el ácido fosfórico está en la cola y otros refrescos. ESTO es lo que hace a los dientes, erosiona el esmalte y el diente se pudre poco a poco. Este diente se sumergió en cola durante todo un año.
Cepillen sus dientes niños!
Por ultimo les dejo este buen Gif
Si alguna vez te preguntaste cómo se verían desde nuestro interior algunas de las prácticas que todos los humanos realizamos, hoy te lo muestro. Gracias a las resonancias magnéticas, se puede ver el interior de nuestro cuerpo a la perfección.
1. Bebiendo jugo de piña.
2. Haciendo la digestión, donde se puede ver la vejiga y el recto humano.
3. El ojo mientras miramos.
4. Tocando una trompeta, donde se puede ver cómo se mueve la lengua para producir el sonido.
5. Besando, Se puede apreciar la excitación de la persona por el latido de su corazón.
6. Un feto en el interior de su madre.
7. Un feto a punto de salir al mundo.

Pulmones sanos
Pulmones de un Fumador

Se podría pensar que el metal no es inflamable, pero si usted puede conseguir caliente suficientemente y exponerlo al oxígeno, es fácil. Aquí se puede ver un poco de lana de acero que ha sido calentada a más de 700 grados centígrados, usando nada más que una batería.

¿Cómo? Descubre en este vídeo que muestra lo que usted necesita para llevar a cabo este hermoso experimento de la ciencia:

Increíble Gif de un Corazón que late en un Caja durante el transporte para una operación en un Centro de Trasplante de Órganos.


Increíble erupción volcánica en Papúa Nueva Guinea
Este Gif pertenece a un video hecho por una pareja australiana, muestra el poder destructivo del Monte Tarvurvur, la pareja estaban en un barco de aproximadamente 2 kilómetros de la explosión. El video muestra claramente la onda de choque de ondulación a través de la atmósfera.

Video:

Puente de Agua eléctricamente inducido
Pon un electrodo en cada vaso, un alto voltaje entre ellos y se forma un puente de agua. Puede llegar a ser de 4 cm en algunos casos.


¿Que cae primero, el huevo o la gallina?
Si un pollo y huevo se dejan caer simultáneamente desde la misma altura, ¿cuál tocará tierra primero? Bueno, en realidad, es un empate en esta carrera gravitatoria. Si dos objetos con diferentes masas se dejan caer simultáneamente desde la misma altura, ambos golpearan el suelo al mismo tiempo.
Esto se debe a la diferencia de inercia -objetos con una masa mayor requieren más energía para conseguir bajar.

Vídeo:

Tormenta Eléctrica


El ácido ribonucleico (ARN o RNA) es un ácido nucleico formado por una cadena de ribonucleótidos. Está presente tanto en las células procariotas como en las eucariotas, y es el único material genético de ciertos virus (virus ARN).

Los "Osos de Agua" puede sobrevivir sin comida ni agua durante más de una década. Pueden sobrevivir a temperaturas de cero a por encima del punto de ebullición del agua, presión de seis veces más fuerte que la más profunda fosa oceánica, radiación centenares de veces superiores a la dosis letal para un ser humano, y el vacío del espacio".

Una proteína motora tirando de una vesícula a lo largo del filamento del citoesqueleto.

Deformación de una Pelota de Golf al ser golpeada a alta velocidad

Aquí se puede ver como la luz de un láser sigue el camino de una corriente de agua que fluye. Esto sucede porque el ángulo en el que la luz desde el láser que golpea la superficie del agua está más allá del "ángulo crítico '- en lugar de la refracción de la luz, que es reflejada internamente. Esta "reflexión interna total" es una propiedad usada en el cable de fibra óptica para transmitir señales de luz a través de grandes distancias, permitiendo que la luz se doble alrededor de las esquinas.

Esta región de formación estelar de gas de hidrógeno ionizado se encuentra en la Gran Nube de Magallanes, una pequeña galaxia vecina de la Vía Láctea. Es el hogar de muchas de las condiciones extremas que incluyen remanentes de supernova y la estrella más pesado jamás encontrado. La Nebulosa de la Tarántula es la nebulosa más luminosa de su tipo en el Universo local.

Evolución del Universo
Los científicos del MIT (Instituto Tecnológico de Massachusetts) han desarrollado una nueva simulación que traza 13 mil millones años de evolución cósmica. Comienzan la simulación poco después del Big Bang con una región del espacio mucho más pequeño que el universo (a tan sólo 350 millones de años luz de diámetro).
Al principio, vemos agrupación materia oscura debido a la fuerza de gravedad
Entonces vemos la materia visible - el azul para las nubes frías de gas donde se forman las galaxias, rojo para galaxias explosivas más violentos (segunda de dos GIFs).
Agujeros negros súper masivos forman, sobrecalentamiento del material alrededor de ellos, causando explosiones de color blanco brillante que enriquecen el espacio entre las galaxias con gas caliente pero escaso.
Los diferentes elementos (representados por diferentes colores) se propagan a través del universo.
Llegamos a una distribución de la materia oscura que se parece a la que vemos en nuestro universo actual.
La simulación es tan complejo que llevaría dos mil años para hacer en un solo escritorio. Y es algo hermoso.

Zoom a Microchip
Es absolutamente impresionante lo pequeño que podemos hacer las cosas hoy en día. Lo que estamos viendo aquí es un microchip estándar, más viejo, aunque en principio el mismo que el chip del teléfono celular moderno. En el nivel micro que estamos tratando con esta comparación:
"Un micrón es de 1 millonésima de metro, 10-6 o 10-3 de milímetro. Muy pequeña. Se abrevia con la letra griega para M, o la mu". Se necesita 100.000 micras a la igualdad de cerca de 4 pulgadas y hacia el final de la serie que estamos en el rango de 1 micra.

Fases de la Luna
Animación de la Luna en la que se muestra los ciclos a través de sus fases, como se ve desde el hemisferio norte. El aparente bamboleo de la Luna se conoce como libración. El cambio aparente en el tamaño es debido a la excentricidad de la órbita lunar.

Recorrido de las olas del Tsunami de Indonesia

Cada asteroide descubierto desde 1980
Ha habido más de 600.000 asteroides identificados en el interior del sistema solar desde 1980. Los asteroides que cruzan nuestra órbita están en rojo, los que sólo reciben cerca están en amarillo, y los aún más lejos están todos en verde.

Conceptos matemáticos visualmente impresionantes que son fáciles de explicar
Si nos fijamos en esta animación y piensa en ello el tiempo suficiente, vas a entender:
- ¿Por qué los círculos y los triángulos de ángulo recto y los ángulos son todos relacionados.
- ¿Por qué seno es opuesto sobre la hipotenusa y así sucesivamente.
- ¿Por qué coseno es simplemente sine pero compensado por pi / 2 radianes.

Fractura del vidrio en 5 millones de cuadros por segundo

Cada avión que cruza el Atlántico Norte en un período de 24 horas

"No hay tal vez otro objeto en el cielo que se nos presenta una variedad de fenómenos extraordinarios como el planeta Saturno."
—Sir William Herschel (1738-1822)

Magnetic Putty Magic
Esta masilla magnética presenta las mismas posibilidades de mareabilidad que cualquier arcilla o plastilina, pudiéndole deformar, esculpir o acumular. La diferencia esta en su fenómeno para atraer cualquier cuerpo que contenga metales pesados expuestos en las proximidades de su campo magnético, provocando su absorción de forma espontánea.

Explosión de petardo en cámara lenta

Una Burbuja congelandose

Microscopio electrónico con increíble zoom. El cual es tan potente que se puede observar una diatomea (un tipo de alga) que está en un anfípodo (un tipo de crustáceo sin cáscara).

Así es como luce un anillo de fuego de un "Eclipse Solar"

BionicKangaroo
Recreación robótica de un Canguro elaborado por Festo para demostrar el movimiento eficiente de la energía, reproduciendo tecnológicamente la manera única en que un canguro se mueve. Al igual que su modelo natural, se puede recuperar la energía al saltar, almacenarla y utilizarla de manera eficiente para el siguiente salto. En el canguro artificial, combina inteligentemente la tecnología neumática y eléctrica de accionamiento para producir un sistema altamente dinámico.

Lanzallamas con el zumo de una Naranja

Crecimiento de algunos tipos de Hongos

Animación "Cosas en el aire" mundial durante un período de dos años en la Tierra. Hecho por la NASA
Azul = sal marina
Verde = orgánicos
Rojo = polvo
Blanco = sulfatos

3 Diferentes maneras de respirar

El rápido movimiento de un objeto astronómico
- Distancia: 6,5 años luz
- En tercer lugar el vecino más cercano del Sol
- Descubierto en 2013 utilizando Explorador Infrarrojo de Campo Amplio de la NASA (WISE)

Vaso de plástico vs hidróxido de sodio y polvo de silicio
Hidróxido de sodio vs una bicicleta
Hidróxido de sodio vs vidrio

¿Puedes prender fuego al hielo?
Bueno... sí! Con los ingredientes adecuados.
Mediante la adición de carburo de calcio al hielo, que reacciona con el agua para producir gas de acetileno, que es altamente inflamable.

El Polímero absorbe agua y se expande. Mantiene casi las mismas propiedades de refracción como el agua y parece invisible. El polímero es poliacrilato de sodio (o similar).
Pregunta: Cuantas esferas hay en este recipiente?
Respuesta: Alrededor de Mil esferas.
Así es! Es nuestro amigo polímero de poliacrilato de sodio de nuevo!

Violenta explosión en la fotósfera del Sol con una energía equivalente a decenas de millones de bombas de hidrógeno, tienen lugar en la corona solar y la cromosfera, calentando plasma a decenas de millones de kelvin y acelerando los electrones, protones e iones más pesados resultantes a velocidades cercanas a la de la luz.
La mayoría suceden alrededor de manchas solares, donde emergen intensos campos magnéticos de la superficie del Sol hacia la corona.

Bacterias reproduciendose

Cometa Machholz, fotografiado por STEREO A, 3 de abril de 2007.
14 imágenes tomadas con la cámara SECCHI H1 durante aproximadamente 15 horas. El Sol se encuentra fuera del marco más allá de la parte superior derecha. Observe que 96P / Machholz tiene dos colas: La más larga y recta casi directamente opuesta al Sol, mientras que la cola de polvo más amplia y corta (a la derecha) a lo largo de trayectoria orbital del cometa.

Este es tu Cerebro creando memorias
Los científicos de la Escuela de Medicina Albert Einstein de la Universidad Yeshiva han capturado cómo nuestro cerebro hace los recuerdos.

Un Diente y ácido fosfórico durante 365 días.
Si usted no lo sabía, el ácido fosfórico está en la cola y otros refrescos. ESTO es lo que hace a los dientes, erosiona el esmalte y el diente se pudre poco a poco. Este diente se sumergió en cola durante todo un año.
Cepillen sus dientes niños!

Por ultimo les dejo este buen Gif


Bueno amigos, eso es todo por el momento. Espero les haya gustado mi Post. Agradesco Comentarios Positivos, Recomendaciones y Puntos.

Dedicado a todos los Usuarios de Taringa a los cuales les gusta e interesa todo lo relacionado a la Ciencia.
Mis Otros Post:
Clic en la imagen siguiente.
Muchas Gracias!