CarytO
Usuario

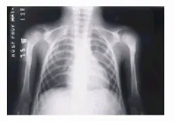
El nombre del síndrome deriva de la palabra griega geras, que significa viejo, y fue acuñado por Gilford en 1904. El síndrome de envejecimiento prematuro, también llamado síndrome de Hutchinson-Gilford o progeria, es un cuadro caracterizado por una aceleración en el proceso natural de envejecimiento, que se produce en estos individuos en edades tempranas de la vida. Este proceso de envejecimiento se produce entre 5 y 10 veces más rápido de lo habitual, por lo que estos pacientes se ven afectados desde la infancia. Son niños sin retraso mental, con baja altura. La esperanza de vida de estos pacientes es corta, nunca supera los 30 años, con un promedio entre los 14 a 15 años. Su muerte ocurre generalmente en la adolescencia, la mayoría de las veces por enfermedades cardiovasculares. Causas e incidencia Actualmente se desconocen con exactitud las causas que aceleran el proceso de envejecimiento, aunque hay estudios que parecen indicar que esta enfermedad podría ser causada por un gen mutante autosómico dominante que haría inestable al núcleo de las células del organismo acelerando el proceso de muerte celular. Lamin A es el nombre del gen recientemente identificado como el causante de algunos tipos de progeria. La función del producto de este gen es desconocido, pero se piensa que estaría involucrado en la supresión del fenotipo de envejecimiento. Al encontrarse alterado, este gen no cumpliría bien su función supresora, fallando en último caso el proceso de frenado del envejecimiento. La progeria sería en este caso una enfermedad genética, lo que no significa que tenga que ser necesariamente una enfermedad hereditaria. La mayoría de los casos se producen por mutaciones esporádicas, es decir mutaciones que se producen en el gen del individuo afectado, y no transmitidas por sus progenitores. La incidencia de la progeria clásica ha sido estimada en 1/8 000 000 de recién nacidos vivos. No se ha evidenciado preferencia por ningún sexo en particular, pero se han comunicado muchos más pacientes de raza blanca (97% de los pacientes afectados). Síntomas La progeria ha llegado a ser una enfermedad de conocimiento público, debido a que sus síntomas, que incluyen adelgazamiento y manchas de la piel, reabsorción de la masa ósea, pérdida de cabello y arteriosclerosis, se asemejan bastante al envejecimiento humano normal. La progeria produce un rápido envejecimiento de los niños, comenzando con una deficiencia en el crecimiento durante el primer año de vida que tiene como resultado cuerpos desproporcionadamente pequeños en relación con el tamaño de sus cabezas. Los niños son delgados y presentan calvicie, cara alargada y arrugada y piel de apariencia envejecida. Los niños con progeria desarrollan aterosclerosis temprana. La esperanza de vida para estos niños, si bien es muy variable, nunca supera los 30 años. La piel es delgada y con escaso tejido celular subcutáneo, las uñas son quebradizas, curvadas, amarillentas e incluso pueden faltar en algunos dedos. La muerte prematura se produce por arteriosclerosis o enfermedad cerebro-vascular y falta de medro. Estos son los principales síntomas característicos de la progeria: * Deficiencia en el crecimiento durante el primer año de vida * Cara alargada y arrugada * Mentón retraído * Ojos saltones y nariz en forma de pico * Calvicie * Pérdida de las pestañas y las cejas * Estatura baja * Cabeza grande para el tamaño de la cara (macrocefalia) * La fontanela (punto blando) permanece abierta * Mandíbula pequeña (micrognatia) * Piel seca, descamativa y delgada * Pecho estrecho * Abdomen abultado * Huesos deformes * Enfermedades degenerativas, como la artritis, propias de la vejez * Rango de movimiento limitado * Retardo en la formación o ausencia de los dientes Diagnóstico El diagnóstico de la progeria es fundamentalmente clínico y se plantea en niños que presentan los signos iniciales de enfermedad entre el primer y segundo año de vida y que manifiestan las características fundamentales de la enfermedad. No existe ninguna prueba que pueda establecer por si misma el diagnóstico definitivo de progeria, pero este puede apoyarse en algunas pruebas bioquímicas, histológicas y radiológicas. Alteraciones radiológicas: cara y cráneo fontanelas permeables, huesos wormianos con fracturas, hipoplasia malar y mandibular, dientes apiñados; hipoplasia clavicular en el tórax, costillas ahusadas; largos identaciones en los huesos, corticales delgadas, metáfisis anchas, coxa valga, coxa plana, genu valgum; en las falanges acro-osteolisis progresiva de las falanges distales; y otros signos como osteoporosis, escoliosis, cuerpos vertebrales en forma de boca de pescado, luxación de cadera, falta de unión de fracturas y pérdida de tejidos blandos. 1- Rayos X de tórax (vista anteroposterior). Osteólisis total de ambas clavículas y de las primeras costillas. Osteólisis parcial de las segundas y terceras costillas. 2- Rayos X de columna lumbosacra (vista lateral). Persistencia de la escotadura en cara anterior de las vértebras dorsales (vértebras en fishmouth). Espondilolistesis de la quinta vértebra lumbar sobre la primera sacra. 3- Rayos X de ambos pies (vista anteroposterior). Osteólisis parcial de falanges distales de ambos pies. 4- Rayos X de pelvis ósea (vista anteroposterior). Coxa valga bilateral. Características histopatológicas: incluyen alteraciones de la piel como áreas de piel normal que alterna con zonas de esclerodermia, la dermis es delgada y presenta zonas de desorganización de fibras colágenas y áreas de hialinización. A nivel del tejido subcutáneo se evidencia pérdida de tejido graso, múltiples anomalías en el hueso, tipo: osteolisis, osteoporosis, displasia esquelética, necrosis avascular de la cabeza femoral, luxación de cadera y fracturas sin resolución. A nivel cardiovascular se encuentran placas ateromatosas, presentes en todos los vasos, pero más prominentes en las arterias coronarias, la aorta y las mesentéricas. Otro hallazgo son las calcificaciones de las válvulas aórtica y mitral, así como signos de fibrosis, isquemia e infarto del miocardio. Alteraciones bioquímicas: el hallazgo más constante en estos pacientes ha sido el aumento en la excreción de ácido hialurónico en la orina, evento que no se ha podido relacionar con trastornos endocrinos ni evento dismetabólico alguno. Complicaciones Debido a que la progeria induce envejecimiento precoz, el organismo de los afectados suele desarrollar las siguientes enfermedades: * Aterosclerosis * Arteriosclerosis * Artritis * Artrosis * Diabetes mellitas * Embolias * Hipercolesterolemia * Hipertensión * Osteoporosis Tratamiento Como se desconocen con exactitud las causas que desencadenan la aceleración de la velocidad de envejecimiento y muerte celular, no existe en la actualidad un tratamiento específico capaz de revertir dicha aceleración. Por lo tanto, tendremos que conformarnos con tratar individualmente cada síntoma o complicación que vaya surgiendo con el proceso natural de la enfermedad; intentando limitar al máximo posible su influencia en la vida de los pacientes. Según los investigadores que hallaron la mutación genética responsable del cuadro, este descubrimiento ofrece la clave para hallar en un futuro la curación, como así también conocer aún más el proceso de envejecimiento normal. Es importante que estos niños desarrollen una vida social lo más normal que se pueda, dentro de sus posibilidades, teniendo en cuenta que el desarrollo de la inteligencia no se ve afectado. Algunas Fotos de Casos de Progeria Fuentes: http://www.cualquiera.com.ar/notas/casos-de-progeria.html http://salud.discapnet.es/Castellano/Salud/Enfermedades/EnfermedadesDiscapacitantes/P/Progeria/Paginas/cover%20progeria.aspx
Registrate y eliminá la publicidad! Guitarra LCD Un día, al virtuoso Ben Lewry se le ocurrió mezclar una pantalla LCD con una guitarra. ¿Cuál fue el resultado? Este que estáis viendo a la derecha. Probablemente algunos pensaréis “¡Que cosa más extraña!”. Pues amigos, si pensas eso es porque todavía no han visto en acción a la “LCDetar”, que así ha sido bautizado este ingenio. Observen: Si después de esto todavía tenes palabras (y la retina lo suficientemente intacta), admira otra creación de Lewry, la TVGuitar v2.0: ¿Qué les parece? Por fin guitarra y psicodelia unidas sin necesidad de tomar sustancias peligrosas. Lo malo es que, si algún día el maestro hace un concierto con estas guitarras habrá que asegurarse las entradas en primera fila (o eso, o construye otra guitarra con un Jumbotron) Fuente: http://www.nopuedocreer.com/quelohayaninventado/ besos chicos
Una nueva raza de Seres está poblando el planeta los cuales, según los especialistas, vienen con una alteración genética, un cambio en el ADN que les hace más inteligentes, muy creativos, con una exagerada energía vital, menos predispuestos a las enfermedades, desinhibidos, muy espirituales, algunos con habilidades parapsicológica. Los niños con estas características se llaman Niños Índigo o Niños de la Luz y vienen a la Tierra en misión especial.¿Qué es un Niño Índigo? Un Indigo es un niño que trae una nueva serie de atributos psicológicos, junto con un inusual patrón de comportamiento. Se les dio el nombre de Indigos porque ese es el color que ven en ellos los que pueden ver auras. El Grupo, canalizado por Steve Rother, calificó a los Indigos de "Rompedores de sistemas". Estos niños vienen a la Tierra con el propósito de ayudarnos a deshacernos de los viejos modelos. Por eso a menudo son calificados de rebeldes.Como reconocer a un Niño Indigo?Dado que no es posible para todos ver el aura, ¿qué otras formas hay de reconocer a un niño índigo? Hay un modo científico, que de paso prueba que esto no es una teoría de esotéricos y metafísicos, sino una realidad probada empíricamente: el ADN. Los niños índigo tienen un potencial de cambio, explicado por la doctora venezolana María Dolores Paoli, especialista en Psicoespiritualidad (un nuevo concepto referido a la psicología transpersonal, donde se unen el conocimiento del Ego con el conocimiento del alma) quien afirma que el cambio que aportan estos chicos se manifiesta en la activación de cuatro códigos más en el ADN. Según investigaciones realizadas en la U.C.L.A de Estados Unidos de Norteamérica, estos niños serían, incluso, inmunes al Cáncer y al Sida. Los índigo tienen la capacidad de escuchar todo tipo de sonidos, incluso su propio fluido sanguíneo, y tienen una fuerte sensibilidad táctil. También hay algunos rasgos físicos, aunque no se dan en todos los casos: son de ojos grandes, delgados, comen poco, son zurdos o ambidiestros y pueden presentar ligeramente abultado el lóbulo frontal. No son un fenómeno exclusivo de nuestra época. Los ha habido anteriormente, sólo que en forma aislada: la gran diferencia con nuestros días es que los índigo son ahora muy numerosos. Entre otras son más inteligentes que el promedio establecido y sorprenden por las respuestas, que desde temprana edad, suelen dar a sus padres y educadores. Aprenden con mucha rapidez, son muy inquietos, no se dejan amilanar por los adultos, son autodeterminados, saben lo que quieren y luchan por conseguirlo. Algunos califican a los niños índigo como los tecnológicos de la raza humana. Ellos se interesan marcadamente por todo lo nuevo en el campo tecnológico, aprenden, generalmente por si solos, a manejar las computadoras desde muy temprana edad y se recrean haciéndolo. Pero simultáneamente son altamente creativos. Esto es debido a que manejan los dos hemisferios cerebrales simultáneamente y/o el hemisferio derecho en forma mas pronunciada que el promedio de los humanos. Nancy Ann Tappe ha clasificado a los niños índigo en cuatro grupos y así tenemos los:Niños Humanistas que vienen a trabajar con las masas. Ellos no saben jugar con juguetes, parecen distraídos, son lectores empedernidos y serán los maestros, doctores y hombres de negocio del futuro. Tenemos los Niños Conceptuales que, a diferencia de los anteriores, se interesan mas por los proyectos que por la gente. Serán los ingenieros, arquitectos y diseñadores, astronautas. Son atléticos y les gusta controlar. Los Niños Artistas son más sensitivos. Son altamente creativos y serán los artistas del futuro. Entre los 4 y 5 años manifiestas hasta 15 tendencias artísticas, puede trabajar con 6 instrumentos diferentes. Ellos se aburren utilizando uno solo. Por último tenemos los Niños Ínter dimensiónales que suelen ser muy altos y desde los dos años ya te contestan "Yo Sé", "Déjame hacerlo que yo puedo". Ellos traerán nuevas filosofías y un concepto más amplio de la multi dimensionalidad del universo. La anterior clasificación es muy marcada y resaltante. Los Niños Índigo tienen muchas otras características no mencionadas en este artículo y generalmente una combinación de los cuatro grupos mencionados. Los niños índigo se estresan frecuentemente, especialmente si no son tratados en la forma adecuada o no disfrutan de un ambiente físico donde ellos puedan desplegar sus aptitudes y actitudes. Es importante conocer las causas de dicho estrés para minimizarlo al máximo. .Algunos padres obligan a sus hijos a continuar con una actividad, cuando ellos desisten, o estar permanentemente controlándolos, ordenándolos y diciéndoles como debe comportarse o como deben hacerse las cosas a lo que ellos responden con llanto y rabietas. A partir de una cierta edad y dentro de pocos años todos los niños del planeta van a actuar como si, todos asumirán su rol dentro de las generaciones de relevo que habrán de construir una nueva Edad de Oro y traerán el Cielo a la Tierra. Será un efecto mas de la masa crítica, será suficiente que un cierto números de niños presenten características súper especiales, para que en breve tiempo todos los niños se equiparen. Les sucederá como a la mayoría de los niños que cuando presentan marcadas diferencias en el aprendizaje, en edades tempranas, logran equiparar sus destrezas y habilidades con muy leves diferencias. Lo más importante es que todos los niños merecen ser tratados como tales, con respeto y dignidad y en su justo valor, permitirles que resalten sus aptitudes, desarrollen su vocación y dejarlos Ser. Tendemos a castigarlo si no hacen o no actúan como nosotros.Fuente: http://www.buenasiembra.com.ar/externo/index.html?ir_a=www.ninosdegracia.com.ve
Los Coches mas insolitos Fuente: http://www2.noticiasdot.com/publicaciones/2007/0307/1003/noticias/coches-ginebra/ En fin...si es repost sorry. besos chicos

Los 10 celulares mas lindos. 10. Hitachi W42H Hitachi W42H 9. Samsung SGH-E900 Samsung SGH - E900 8. KDDI Talby by Marc Newson KDDI Talby por Marc Newson 7. O2 Ice O2 Ice 6. Samsung SGH-E870 Samsung SGH - E870 5. KDDI Neon by Naoto Fukasawa KDDI Neon por Naoto Fukasawa 4. Black Diamond Diamante Negro 3. Helio Kickflip Helio Kickflip 2. LG KG-800 Chocolate LG KG - 800 Chocolate 1. KDDI Penck by Makoto Saito KDDI Penck por Makoto Saito Fuente: http://gadgets.fosfor.se/the-top-10-most-beautiful-cellphones besos chicos..
Efectos Nocivos del Cigarrillo Hay tres alimentos que sostienen la vida humana: La comida; el aire que respiramos y las impresiones, que son las más importantes. Esto lo desconocen la ciencia y la humanidad. El aire cumple una función vital como purificador de la sangre que irriga todo nuestro organismo. Desafortunadamente los intereses creados altamente egoístas y la sociedad de consumo, nos manejan y nos imponen costumbres, vicios, ideas, etc. Cuando el ser humano conozca su propia sicología y aprenda a manejarla se convertirá en un rey de sí mismo y del universo y comprenderá el lema inscrito en el PÓRTICO DEL TEMPLO DE DELFOS: "Homo, gnoscete ipsum", que en español significa "Hombre conócete a ti mismo y conocerás al universo y a los Dioses". Uno de los lastres que más daño ha hecho a la humanidad, es el vicio horrible del CIGARRILLO. Hace más de 20 años que, a diario oímos hablar de los daños que causa el cigarrillo en el organismo humano: CÁNCER, INFARTOS, ENFISEMA, etc. Y aunque siempre tratemos de disculpar nuestro vicio, no deja de inquietarnos los estragos que causa. Ahora, con inquietud se observa que las mujeres también fuman, algunas más que los hombres. En cualquier reunión siempre hay alguien que "mira feo" o hace algún comentario, desaprobando ese mecánico gesto que un fumador realiza para encender un cigarrillo. Para eliminar cualquier vicio, se debe conocer el daño que causa y las técnicas y métodos que permitan comprenderlo a nivel psicológico, para posteriormente eliminarlo. Sobre el Cigarrillo Sin exagerar y para ser exactos, los cigarrillo contienen 4.027 químicos, de los cuales 200 sonvenenos conocidos y 60 son cancerígenos. LA NICOTINA y EL ALQUITRÁN son las sustancias más nocivas. La dosis de Nicotina, que se encuentra en el cigarrillo, puede MATAR a una persona. Pero antes de fumar la cantidad necesaria para acumular la dosis mortal en la sangre, la persona sufrirá una larga y penosa enfermedad. - El cigarrillo crea tanta ó mayor adicción que otras drogas. La Nicotina es un poderoso estimulante. Es la que proporciona el sabor al cigarrillo y obliga a la persona a querer cada vez mayor cantidad. Después de inhalar la Nicotina, el flujo sanguíneo va acumulando la sustancia en cada célula del organismo y a medida que el tiempo pasa, las células se acostumbran y piden más al cuerpo. Por ello, el fumador se vuelve irritable y nervioso; con el cigarrillo se "calma" y la Nicotina se convierte en un "tranquilizante" semejante a la cafeína. La experiencia demuestra que la nicotina está entre las drogas que crean mayor adicción, junto con la heroína y la cafeína. - El alquitrán que contienen los cigarrillos no es tan nocivo. Si usted fuma un paquete de cigarrillo al día, durante un año, acumula en los pulmones, más de la cuarta parte de la cantidad total que se esparce en su organismo. Si quiere tener una idea de cuál es esa cantidad, exhale una bocanada de humo a través de un pañuelo. Esa horrible mancha carmelita es alquitrán y tenga en cuenta que sus pulmones son más absorbentes que una esponja. El alquitrán destruye los miles de sacos ó alvéolos que el pulmón tiene para extraer el oxígeno del aire. Esta destrucción origina una enfermedad penosa e incurable: El enfisema pulmonar ó Asma del fumador. La persona con enfisema muere ahogada. En EEUU, los científicos en la autopsia han encontrado pulmones completamente negros, cubiertos por esta "brea". Así terminan los pulmones de un fumador... Un cigarrillo contiene 20 miligramos de alquitrán y una persona que fuma dos paquetes diarios lleva a sus pulmones 400 miligramos de alquitrán, que en un año corresponde a 146.000 mg. Los pulmones están constituidos por más de 300.000 alveolos pulmonares y el alquitrán termina por destruirlos. Al principio el fumador sentirá una especie de ahogo, generalmente no le pone atención y sigue fumando. Normalmente se dan cuenta casi que demasiado tarde, pues ya han desarrollado el enfisema pulmonar ó asma del fumador que normalmente es tratada con bronco-dilatadores que estimulan y forzan a los alveolos no destruídos ó con corticoides que aumentan las posibilidades de un infarto cardíaco. - El cigarrillo contiene monóxido de carbono. Esta sustancia es el mismo gas que sale por el tubo de escape de un carro. La sangre asimila más fácilmente el monóxido de carbono que el oxígeno. De modo que al fumar, se inhala un gas venenoso y se impide al cuerpo recibir el oxígeno necesario. Es claro, el organismo sufre las consecuencias... El monóxido de carbono presente en el cigarrillo, se mezcla con la hemoglobina de la sangre , produciendo una sustancia llamada Carboxihemoglobina, la cual impide la conducción del oxígeno en la sangre. Todo esto ayuda al desarrollo arterioesclerótico, ya que las arterias se llenan de placas grasosas y se vuelven rígidas - El cigarrillo contiene cianuro de hidrógeno (HCN). Suena terrible, pero es la verdad. Esta sustancia paraliza las bellosidades que cubren los pulmones y que le sirven para defenderse de materias extrañas. Por esta razón los venenos entran rápidamente al pulmón. De ahí que organismo del fumador se defienda obligándolo a toser. - El cigarrillo es causa frecuente de enfermedades cardíacas. Desde el primer cigarrillo, comienzan los problemas. Una simple bocanada acelera el ritmo cardíaco, de 5 a 20 latidos por minuto. Es decir que el corazón bombea más sangre, pero la nicotina hace que los vasos sanguíneos se contraigan, de tal modo que la sangre no puede fluir fácilmente. El infarto y el bloque de las arterias no se dejan esperar, el riesgo de sufrir un infarto es 3 veces mayor en los fumadores que en los no fumadores. Esto no es raro si tenemos en cuenta que la nicotina y el monóxido de carbono obligan al corazón a trabajar forzadamente. Si una mujer además de fumar utiliza anticonceptivos, que también aumentan la producción de adrenalina, el peligro de infarto del miocardio es mayor y es así como el 80% de infartos en personas menores de 50 años se atribuye al cigarrillo. El porcentaje es mayor que el de enfermedades como colesterol e hipertensión. Si el fumador sufre hipercolereima e hipertensión, tiene 3 veces más de posibilidades de sufrir de infarto del miocardio que el no fumador. Fumar de 1 a 4 cigarrillos diarios, duplica el riesgo de ataque al corazón y más de 25 cigarrillos al día aumenta el riesgo hasta un en un 50%. El 25% de las enfermedades cardiovasculares en colombia se atribuye al cigarrillo. - Fumar es perjudicial para quienes le rodean. Esta es la controversia de moda. El fumador es el responsable de los peligros que corren las personas que se encuentran a su alrededor. Se ha comprobado, que el humo que otros inhalan, les causa los mismos efectos nocivos que si fumara. - Una mujer embarazada no debe fumar. El bebé que espera, necesita todo el oxígeno que puedas darle, para desarrollarse adecuadamente. Se ha comprobado que una causa frecuente de los abortos y partos prematuros, es el fumar durante la preñez; además, también se ha demostrado que los hijos de las madres fumadoras tienen dificultades de aprendizaje y de lenguaje. Cuando la mujer embarazada fuma, no permite el flujo normal de oxígeno hasta el al feto, esto pude atrofiar el desarrollo del sistema respiratorio y por tanto causar asma, así como pesos inferiores al normal y problemas cardiovasculares. - Hay partículas radioactivas en el cigarrillo. Algunas investigaciones recientes han demostrado que el cigarrillo contiene partículas RADIOACTIVAS que se acumulan en el pulmón, en los nódulos linfáticos y en todo el cuerpo; además la gente que fuma, tiene más riesgo de contraer cáncer, en una proporción de 15 a 20 veces mayor, que aquellos que nunca han fumado. - Los cigarrillos suaves causan menos daños al organismo. Es un mito creer que daño disminuye si se fuman cigarrillos con un nivel de alquitrán más bajo. Estos También contienen Monóxido de carbono y demás venenos. Por lo general, cuando se recurre a éstos cigarrillos con un sabor más suave, se fuma más. - Daños y síntomas que acusan daño en el cuerpo. La siguiente es la lista de los síntomas que se generan como consecuencia del fumar: * Cansancio por falta de oxígeno en las células. * Dolor y pesadez en la cabeza. * Ronquera e irritación en la garganta. * Tos del fumador. * Pinchazos en el pecho. * Disminuye la capacidad pulmonar, disminuyendo los mecanismos de defensa del sistema respiratorio lo que hace al fumador más propenso a infecciones, gripes, etc. * El cigarrillo en los jóvenes retrasa a niveles el crecimiento. * En la mujer, si además usa anticonceptivos, se aumentan los riesgos de trombosis, se le envejecen los tejidos y se forman arrugas por resequedad en la piel. * El semblante de un fumador es pálido y apergaminado, las encías se debilitan, los dientes se manchan y las hormonas se alteran. Las fumadoras llegan a la menopausia antes que otras mujeres. * La Nicotina genera cáncer de la garganta, una úlcera viva que prácticamente no permite ni comer, ni beber, ni dormir al fumador. - Algunos gobiernos son más conscientes del prolema. Hay paises con mayor grado de conciencia y protección de la salud de su pueblo, como POLONIA, que exige en la propaganda publicitaria del cigarrillo, una advertencia sobre su caracter nocivo que abarque el 25% de toda la cajetilla. En los países desarrollados se prohibe a las tabacaleras, patrocinar certámenes deportivos, musicales ó que llamen la atención de la juventud. En Colombia mueren diariamente 104 personas por culpa del cigarrillo. De 60 fumadores que fumen 25 cigarrillos diarios, 40 no llegan a los 60 años. Sería ideal que en todos los países del mundo, se dictaran leyes para proteger a la juventud y a la sociedad de las consecuencias de estos venenos. - Ya no es elegante ver a una persona fumando. Como todo el mundo sabe que el cigarrillo acaba con la salud, la gente (aún los fumadores) se sorprende a alguien que fuma uno, dos y hasta tres cigarrillos en un rato. Además la piel se daña, el pelo pierde el brillo natural, los dedos se manchan al igual que los dientes y la ropa se impregna con el desagradable olor a "chicote". No hay nada más terrible que el "tufo del cigarrillo". En cualquier reunión siempre hay alguien que "mira feo" ó hace algún comentario, desaprobando ese mecánico gesto que un fumador realiza para encender el cigarrillo. - Fumar indica falta de confianza en sí mismo. En la vida moderna, una de las características que más se busca en la persona es el dominio de sí misma y esa seguridad con que actúa y piensa. Generalmente, el fumador recurre a su vicio para esconder los nervios o para disimular sus angustias. La Nicotina es una droga que habitúa y con el tiempo, la dependencia es más fuerte. Hay que comprender la necesidad de eliminar este vicio. Al comprender y eliminar el vicio del cigarrillo, el cuerpo necesita un tiempo para recuperarse y desintoxicarse. En unos meses los pulmones recuperaran su vitalidad y el corazón empezará a latir normalmente. El sistema nervioso también se irá estabilizando. Imagenes de Pulmones con cancer: Para todos los fumadores...a ver, si empiezan a tomar conciencia.. no solo por su salud, sino tambien por la de los demas; Yo soy asmatica y tengo muchos fumadores alrededor que no tienen conciencia del mal que se hacen y me hacen a mi. Fuente:http://www.anael.org/cigarro/index.htm