El nombre del síndrome deriva de la palabra griega geras, que significa viejo, y fue acuñado por Gilford en 1904. El síndrome de envejecimiento prematuro, también llamado síndrome de Hutchinson-Gilford o progeria, es un cuadro caracterizado por una aceleración en el proceso natural de envejecimiento, que se produce en estos individuos en edades tempranas de la vida. Este proceso de envejecimiento se produce entre 5 y 10 veces más rápido de lo habitual, por lo que estos pacientes se ven afectados desde la infancia. Son niños sin retraso mental, con baja altura. La esperanza de vida de estos pacientes es corta, nunca supera los 30 años, con un promedio entre los 14 a 15 años. Su muerte ocurre generalmente en la adolescencia, la mayoría de las veces por enfermedades cardiovasculares.
Causas e incidencia
Actualmente se desconocen con exactitud las causas que aceleran el proceso de envejecimiento, aunque hay estudios que parecen indicar que esta enfermedad podría ser causada por un gen mutante autosómico dominante que haría inestable al núcleo de las células del organismo acelerando el proceso de muerte celular. Lamin A es el nombre del gen recientemente identificado como el causante de algunos tipos de progeria. La función del producto de este gen es desconocido, pero se piensa que estaría involucrado en la supresión del fenotipo de envejecimiento. Al encontrarse alterado, este gen no cumpliría bien su función supresora, fallando en último caso el proceso de frenado del envejecimiento. La progeria sería en este caso una enfermedad genética, lo que no significa que tenga que ser necesariamente una enfermedad hereditaria. La mayoría de los casos se producen por mutaciones esporádicas, es decir mutaciones que se producen en el gen del individuo afectado, y no transmitidas por sus progenitores.
La incidencia de la progeria clásica ha sido estimada en 1/8 000 000 de recién nacidos vivos. No se ha evidenciado preferencia por ningún sexo en particular, pero se han comunicado muchos más pacientes de raza blanca (97% de los pacientes afectados).
Síntomas
La progeria ha llegado a ser una enfermedad de conocimiento público, debido a que sus síntomas, que incluyen adelgazamiento y manchas de la piel, reabsorción de la masa ósea, pérdida de cabello y arteriosclerosis, se asemejan bastante al envejecimiento humano normal. La progeria produce un rápido envejecimiento de los niños, comenzando con una deficiencia en el crecimiento durante el primer año de vida que tiene como resultado cuerpos desproporcionadamente pequeños en relación con el tamaño de sus cabezas. Los niños son delgados y presentan calvicie, cara alargada y arrugada y piel de apariencia envejecida. Los niños con progeria desarrollan aterosclerosis temprana. La esperanza de vida para estos niños, si bien es muy variable, nunca supera los 30 años. La piel es delgada y con escaso tejido celular subcutáneo, las uñas son quebradizas, curvadas, amarillentas e incluso pueden faltar en algunos dedos. La muerte prematura se produce por arteriosclerosis o enfermedad cerebro-vascular y falta de medro.
Estos son los principales síntomas característicos de la progeria:
* Deficiencia en el crecimiento durante el primer año de vida
* Cara alargada y arrugada
* Mentón retraído
* Ojos saltones y nariz en forma de pico
* Calvicie
* Pérdida de las pestañas y las cejas
* Estatura baja
* Cabeza grande para el tamaño de la cara (macrocefalia)
* La fontanela (punto blando) permanece abierta
* Mandíbula pequeña (micrognatia)
* Piel seca, descamativa y delgada
* Pecho estrecho
* Abdomen abultado
* Huesos deformes
* Enfermedades degenerativas, como la artritis, propias de la vejez
* Rango de movimiento limitado
* Retardo en la formación o ausencia de los dientes
Diagnóstico
El diagnóstico de la progeria es fundamentalmente clínico y se plantea en niños que presentan los signos iniciales de enfermedad entre el primer y segundo año de vida y que manifiestan las características fundamentales de la enfermedad. No existe ninguna prueba que pueda establecer por si misma el diagnóstico definitivo de progeria, pero este puede apoyarse en algunas pruebas bioquímicas, histológicas y radiológicas.
Alteraciones radiológicas: cara y cráneo fontanelas permeables, huesos wormianos con fracturas, hipoplasia malar y mandibular, dientes apiñados; hipoplasia clavicular en el tórax, costillas ahusadas; largos identaciones en los huesos, corticales delgadas, metáfisis anchas, coxa valga, coxa plana, genu valgum; en las falanges acro-osteolisis progresiva de las falanges distales; y otros signos como osteoporosis, escoliosis, cuerpos vertebrales en forma de boca de pescado, luxación de cadera, falta de unión de fracturas y pérdida de tejidos blandos.
1- Rayos X de tórax (vista anteroposterior). Osteólisis total de ambas clavículas y de las primeras costillas. Osteólisis parcial de las segundas y terceras costillas.
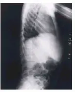
2- Rayos X de columna lumbosacra (vista lateral). Persistencia de la escotadura en cara anterior de las vértebras dorsales (vértebras en fishmouth). Espondilolistesis de la quinta vértebra lumbar sobre la primera sacra.
3- Rayos X de ambos pies (vista anteroposterior). Osteólisis parcial de falanges distales de ambos pies.
4- Rayos X de pelvis ósea (vista anteroposterior). Coxa valga bilateral.
Características histopatológicas: incluyen alteraciones de la piel como áreas de piel normal que alterna con zonas de esclerodermia, la dermis es delgada y presenta zonas de desorganización de fibras colágenas y áreas de hialinización. A nivel del tejido subcutáneo se evidencia pérdida de tejido graso, múltiples anomalías en el hueso, tipo: osteolisis, osteoporosis, displasia esquelética, necrosis avascular de la cabeza femoral, luxación de cadera y fracturas sin resolución. A nivel cardiovascular se encuentran placas ateromatosas, presentes en todos los vasos, pero más prominentes en las arterias coronarias, la aorta y las mesentéricas. Otro hallazgo son las calcificaciones de las válvulas aórtica y mitral, así como signos de fibrosis, isquemia e infarto del miocardio.
Alteraciones bioquímicas: el hallazgo más constante en estos pacientes ha sido el aumento en la excreción de ácido hialurónico en la orina, evento que no se ha podido relacionar con trastornos endocrinos ni evento dismetabólico alguno.
Complicaciones
Debido a que la progeria induce envejecimiento precoz, el organismo de los afectados suele desarrollar las siguientes enfermedades:
* Aterosclerosis
* Arteriosclerosis
* Artritis
* Artrosis
* Diabetes mellitas
* Embolias
* Hipercolesterolemia
* Hipertensión
* Osteoporosis
Tratamiento
Como se desconocen con exactitud las causas que desencadenan la aceleración de la velocidad de envejecimiento y muerte celular, no existe en la actualidad un tratamiento específico capaz de revertir dicha aceleración. Por lo tanto, tendremos que conformarnos con tratar individualmente cada síntoma o complicación que vaya surgiendo con el proceso natural de la enfermedad; intentando limitar al máximo posible su influencia en la vida de los pacientes.
Según los investigadores que hallaron la mutación genética responsable del cuadro, este descubrimiento ofrece la clave para hallar en un futuro la curación, como así también conocer aún más el proceso de envejecimiento normal.
Es importante que estos niños desarrollen una vida social lo más normal que se pueda, dentro de sus posibilidades, teniendo en cuenta que el desarrollo de la inteligencia no se ve afectado.
Algunas Fotos de Casos de Progeria
Fuentes: http://www.cualquiera.com.ar/notas/casos-de-progeria.html
http://salud.discapnet.es/Castellano/Salud/Enfermedades/EnfermedadesDiscapacitantes/P/Progeria/Paginas/cover%20progeria.aspx
Causas e incidencia
Actualmente se desconocen con exactitud las causas que aceleran el proceso de envejecimiento, aunque hay estudios que parecen indicar que esta enfermedad podría ser causada por un gen mutante autosómico dominante que haría inestable al núcleo de las células del organismo acelerando el proceso de muerte celular. Lamin A es el nombre del gen recientemente identificado como el causante de algunos tipos de progeria. La función del producto de este gen es desconocido, pero se piensa que estaría involucrado en la supresión del fenotipo de envejecimiento. Al encontrarse alterado, este gen no cumpliría bien su función supresora, fallando en último caso el proceso de frenado del envejecimiento. La progeria sería en este caso una enfermedad genética, lo que no significa que tenga que ser necesariamente una enfermedad hereditaria. La mayoría de los casos se producen por mutaciones esporádicas, es decir mutaciones que se producen en el gen del individuo afectado, y no transmitidas por sus progenitores.
La incidencia de la progeria clásica ha sido estimada en 1/8 000 000 de recién nacidos vivos. No se ha evidenciado preferencia por ningún sexo en particular, pero se han comunicado muchos más pacientes de raza blanca (97% de los pacientes afectados).
Síntomas
La progeria ha llegado a ser una enfermedad de conocimiento público, debido a que sus síntomas, que incluyen adelgazamiento y manchas de la piel, reabsorción de la masa ósea, pérdida de cabello y arteriosclerosis, se asemejan bastante al envejecimiento humano normal. La progeria produce un rápido envejecimiento de los niños, comenzando con una deficiencia en el crecimiento durante el primer año de vida que tiene como resultado cuerpos desproporcionadamente pequeños en relación con el tamaño de sus cabezas. Los niños son delgados y presentan calvicie, cara alargada y arrugada y piel de apariencia envejecida. Los niños con progeria desarrollan aterosclerosis temprana. La esperanza de vida para estos niños, si bien es muy variable, nunca supera los 30 años. La piel es delgada y con escaso tejido celular subcutáneo, las uñas son quebradizas, curvadas, amarillentas e incluso pueden faltar en algunos dedos. La muerte prematura se produce por arteriosclerosis o enfermedad cerebro-vascular y falta de medro.
Estos son los principales síntomas característicos de la progeria:
* Deficiencia en el crecimiento durante el primer año de vida
* Cara alargada y arrugada
* Mentón retraído
* Ojos saltones y nariz en forma de pico
* Calvicie
* Pérdida de las pestañas y las cejas
* Estatura baja
* Cabeza grande para el tamaño de la cara (macrocefalia)
* La fontanela (punto blando) permanece abierta
* Mandíbula pequeña (micrognatia)
* Piel seca, descamativa y delgada
* Pecho estrecho
* Abdomen abultado
* Huesos deformes
* Enfermedades degenerativas, como la artritis, propias de la vejez
* Rango de movimiento limitado
* Retardo en la formación o ausencia de los dientes
Diagnóstico
El diagnóstico de la progeria es fundamentalmente clínico y se plantea en niños que presentan los signos iniciales de enfermedad entre el primer y segundo año de vida y que manifiestan las características fundamentales de la enfermedad. No existe ninguna prueba que pueda establecer por si misma el diagnóstico definitivo de progeria, pero este puede apoyarse en algunas pruebas bioquímicas, histológicas y radiológicas.
Alteraciones radiológicas: cara y cráneo fontanelas permeables, huesos wormianos con fracturas, hipoplasia malar y mandibular, dientes apiñados; hipoplasia clavicular en el tórax, costillas ahusadas; largos identaciones en los huesos, corticales delgadas, metáfisis anchas, coxa valga, coxa plana, genu valgum; en las falanges acro-osteolisis progresiva de las falanges distales; y otros signos como osteoporosis, escoliosis, cuerpos vertebrales en forma de boca de pescado, luxación de cadera, falta de unión de fracturas y pérdida de tejidos blandos.
1- Rayos X de tórax (vista anteroposterior). Osteólisis total de ambas clavículas y de las primeras costillas. Osteólisis parcial de las segundas y terceras costillas.
2- Rayos X de columna lumbosacra (vista lateral). Persistencia de la escotadura en cara anterior de las vértebras dorsales (vértebras en fishmouth). Espondilolistesis de la quinta vértebra lumbar sobre la primera sacra.
3- Rayos X de ambos pies (vista anteroposterior). Osteólisis parcial de falanges distales de ambos pies.
4- Rayos X de pelvis ósea (vista anteroposterior). Coxa valga bilateral.
Características histopatológicas: incluyen alteraciones de la piel como áreas de piel normal que alterna con zonas de esclerodermia, la dermis es delgada y presenta zonas de desorganización de fibras colágenas y áreas de hialinización. A nivel del tejido subcutáneo se evidencia pérdida de tejido graso, múltiples anomalías en el hueso, tipo: osteolisis, osteoporosis, displasia esquelética, necrosis avascular de la cabeza femoral, luxación de cadera y fracturas sin resolución. A nivel cardiovascular se encuentran placas ateromatosas, presentes en todos los vasos, pero más prominentes en las arterias coronarias, la aorta y las mesentéricas. Otro hallazgo son las calcificaciones de las válvulas aórtica y mitral, así como signos de fibrosis, isquemia e infarto del miocardio.
Alteraciones bioquímicas: el hallazgo más constante en estos pacientes ha sido el aumento en la excreción de ácido hialurónico en la orina, evento que no se ha podido relacionar con trastornos endocrinos ni evento dismetabólico alguno.
Complicaciones
Debido a que la progeria induce envejecimiento precoz, el organismo de los afectados suele desarrollar las siguientes enfermedades:
* Aterosclerosis
* Arteriosclerosis
* Artritis
* Artrosis
* Diabetes mellitas
* Embolias
* Hipercolesterolemia
* Hipertensión
* Osteoporosis
Tratamiento
Como se desconocen con exactitud las causas que desencadenan la aceleración de la velocidad de envejecimiento y muerte celular, no existe en la actualidad un tratamiento específico capaz de revertir dicha aceleración. Por lo tanto, tendremos que conformarnos con tratar individualmente cada síntoma o complicación que vaya surgiendo con el proceso natural de la enfermedad; intentando limitar al máximo posible su influencia en la vida de los pacientes.
Según los investigadores que hallaron la mutación genética responsable del cuadro, este descubrimiento ofrece la clave para hallar en un futuro la curación, como así también conocer aún más el proceso de envejecimiento normal.
Es importante que estos niños desarrollen una vida social lo más normal que se pueda, dentro de sus posibilidades, teniendo en cuenta que el desarrollo de la inteligencia no se ve afectado.
Algunas Fotos de Casos de Progeria
Fuentes: http://www.cualquiera.com.ar/notas/casos-de-progeria.html
http://salud.discapnet.es/Castellano/Salud/Enfermedades/EnfermedadesDiscapacitantes/P/Progeria/Paginas/cover%20progeria.aspx