
Apuntes
Botánica Morfológica
Histología
Sistema dérmico

Sistema dérmico
Epidermis

Cubre todo el cuerpo de las plantas, es el encargado de la protección del cuerpo de la planta, respiración, pasaje de la luz, reconocimiento de patógenos, etc. Externamente presenta cutícula, que es una capa constituida por cutina y ceras; es delgada en plantas mesofíticas y acuáticas y puede adquirir considerable espesor en las xerófitas, como protección contra la desecación.
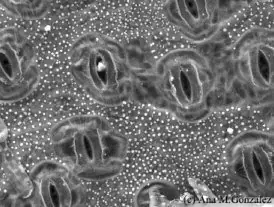
Epidermis de Vid en CT. MEB 2300x

Epidermis pluriestratificada del Gomero

Es un tejido formado generalmente por una sola capa de células, algunas plantas presentan varias capas denominándose epidermis pluriestratificada (Ej. hoja de Gomero, Ficus sp.).
Tipos de células epidérmicas

La epidermis es un tejido complejo formado por varios tipos de células:
Células epidérmicas propiamente dichas
Son células vivas, alargadas en el mismo sentido de la lámina foliar, en vista superficial las paredes pueden ser onduladas o rectas.
Epidermis de una monocotiledónea

Epidermis de una dicotiledónea

Aparatos estomáticos
Son pares de células especializadas en el intercambio gaseoso con el medio ambiente, a la vez que se encargan de regular la transpiración. Cada estoma está constituido por un par de células de forma arriñonada llamadas células oclusivas; poseen núcleo y orgánulos celulares como cloroplastos. Entre las dos células oclusivas hay un pequeño orificio llamado ostíolo. El estoma puede estar rodeado de células anexas, cuya cantidad y disposición determina el tipo de aparato estomático: anomocítico, paracítico, diacítico, anisocítico, tetracítico, etc. En las Gramíneas y Ciperáceas las células oclusivas son halteriformes (forma de pesas de gimnasta) con dos células anexas laterales.
Epidermis de Belamcada (Belamcanda chinensis),monocotiledónea.
Note las células ordenadas en fila, la fosa de los estomas y la protrusión del núcleo
MEB 300x

Estomas de la epidermis de Arroz cubiertos con cera.
MEB 4000x

Epidermis foliar de Tradescantia sp. Flor de Sta. Lucía.
Los puntos blancos son cúmulos de cera sobre la epidermis.
MEB 1600x

Estoma paracítico de Malvón (Pelargonium hortorum).
MEB 4500x

Idioblastos
Son células con cristales, sílice, mucílagos, gomas, células buliformes (encargadas de enrollar las hojas de Gramíneas ante la pérdida de agua), esclereidas en la epidermis de semillas, etc.
Idioblasto con sílice en epidermis de Gramineae.
MEB 2500x

Epidermis de Caña de azúcar con micrótricos en aguijón.
MEB 1600x

Célula epidérmica con rafidios de Heteranthera reniforme.
MEB 1000x

CT de hoja de Fuirena robusta, con células buliformes en la epidermis sobre la vena media.
MEB 190x

Tricomas o pelos
son apéndices epidérmicos, varían ampliamente en su forma y función, siendo útiles en la clasificación taxonómica. Se distinguen numerosos tipos:
Glandulares: secretan diferentes sustancias, como soluciones salinas (en plantas halófilas), azucaradas (néctar), gomas o mucílagos. Normalmente presentan un pie y una cabezuela secretora.
Tricoma simple y tricoma glandular

Epidermis de trepadora Serjania comunis, note el pelo glandular y los estomas, MEB 600x.

Tricoma glandular de Pavonia sp. MEB 1000x

Simples: constituidos por una célula o una hilera de células. Ej: pelos de la semilla de algodón (erróneamente llamados fibras).
CT hoja de Pistia striatotes, cubierta de pelos simples

A. Pelos simples de Turnera sp,
B: detalle de la pared labrada

Ramificados, pluricelulares: pueden ser estrellados o en forma de candelabro.
Pelos en candelabro del lapacho amarillo (Tabebuia sp.),
MEB 850x

Tricomas pluricelulares de Croton urucurana. MEB 230x

Escamas
Son multicelulares y aplastados contra el órgano en el que se encuentran. Si presentan un pedúnculo se llaman peltados (Ej. Olea, Tillandsia) y sirven en la absorción de agua a nivel foliar.
Pelos peltados de Tillandsia meridionalis;
MEB 300x

Escamas de Olea europaea (olivo).
MEB 700x

Emergencias:
incluyen tejidos subepidérmicos, originando estructuras de mayor tamaño. Entre ellas se encuentran los aguijones (Rosa), pelos urticantes (Urtica) y coléteres secretores ubicados en yemas.
Emergencias de Salvinia.
MEB 43x

Coléteres de Turnera sp.

Comunidad: Botanica "el maravilloso mundo verde"
