Síndrome de Down

Principales características de los niños con Síndrome de Down
El Síndrome de Down es una alteración cromosómica que causa retraso en el desarrollo físico e intelectual y que se encuentra por igual en todas las culturas y estamentos sociales.
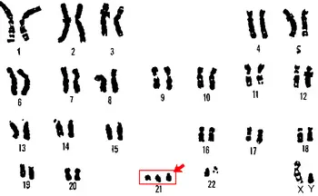
Es un problema en el cual podemos establecer unas causas. Es una afección genética en el par 21. Todos nosotros tenemos 46 cromosomas y las personas con Síndrome de Down tienen 47. La causa de este problema no es por carencia, sino por exceso de información genética. La Deficiencia no se asocia a carencia sino a exceso. Para conseguir que las personas con
Síndrome de Down aprendan a leer, escribir, desenvolverse por sí solo...,deben ser instruidos desde niños, ya que cuando son adultos es muy difícil que aprendan, aunque no imposible.
En el Síndrome de Down no hay grados de afectación, sino distintos tipos de esta deficiencia.
El 95% de los niños con Síndrome de Down cuando reciben un tratamiento adecuado presentan un nivel de deficiencia intelectual ligera o moderada.
Todos los niños con esta discapacidad aprenden a leer y escribir siempre y cuando sean tratados por expertos.

Importancia de la familia con un niño Sindrome de Down
¡¡¡ Les ponemos sólo una etiqueta: la de sus nombres!!!

La familia es el primer vínculo y el más importante para todo ser humano, comienza la comunicación con un lenguaje universal, propio de los hombres, que se llama: AMOR.
Toda vida es un milagro y son los padres los primeros que deben creer firmemente en las posibilidades de ese pequeño recién nacido.
Aceptar que nuestro hijo no ha sido lo esperado requiere tiempo, lucha y paciencia. El crecimiento y desarrollo del potencial de cada persona depende exclusivamente y desde el inicio de sus padres.
Sabemos que hay y habrá limitaciones: Nadie puede hoy pronosticarlas con certeza. No es provechoso entonces angustiarnos por el futuro. Lo debemos ir construyendo cada día, brindando un hogar amoroso que los acepte plenamente como son.
La sociedad actuará como espejo de esa familia, que tratará a ese hijo como uno más.
Ese niño necesita los mimos de mamá y las caricias de papá, las peleas con sus hermanos y los juegos con los amigos. Cada relación lo enriquecerá y será el primer escalón hacia una integración que comenzará en el jardín y continuará con esfuerzos, pero sin limitaciones.

Lenguaje y comunicación de las personas con Síndrome de Down
El lenguaje de las personas con síndrome de Down evoluciona de un modo más lento y, en algunos aspectos, de un modo distinto al de otros grupos de personas con y sin retraso mental.
La lentitud en el progreso se manifiesta desde la etapa prelingüística en la que los juegos vocálicos y balbuceos del bebé con síndrome de Down aparecen más tarde que en otros bebés, con algunas matices diferentes.
Las primeras palabras con significado empiezan a emplearlas a una edad promedio de tres años, mientras que el uso de frases suele iniciarse alrededor de los cuatro años.
La ampliación en la longitud de los enunciados lo logran lentamente durante la segunda infancia y comienzo de la adolescencia, empleando frases de seis a ó siete elementos.
El uso pragmático del lenguaje es muy adecuado en las siguientes etapas, siendo el niño capaz de transmitir sus sentimientos y deseos de un modo comprensible.
Es evidente la dificultad específica en relación con el uso correcto de las normas morfo-sintácticas. Habitualmente se expresan en frases cortas, evitando el uso de tiempos verbales complejos y las frases subordinadas.
La baja inteligibilidad del habla es otra de las características propias del lenguaje de las personas con síndrome de Down, aunque por lo general se hacen entender por su interlocutor.
Las causas del retraso, y de las diferencias son varias, por lo que las diversas medidas de intervención son eficaces sólo de un modo parcial.
Estudios recientes señalan que, si se continúan con programas de intervención, se dan progresos linguísticos después de la adolescencia, con jóvenes adultos.
Los jóvenes que acaban la escolaridad e inician una vida de cierto aislamiento en su hogar, con ausencia de intereses y motivación, muestran regresión en sus habilidades linguísticas. Sin embargo, las personas aficionadas a la lectura, que continúan una vida social y laboral activa y que manejan el ordenador, mantienen, incrementan y mejoran su comunicación verbal.
Inclusión Escolar:
Supone una escuela estructurada sobre la base de la diversidad, pensada y organizada en función de las diferencias entre sus alumnos. Este es el ideal a alcanzar. En nuestro medio aún debemos hablar de una integración escolar como realidad actual, porque son los niños y jóvenes con síndrome de Down quienes deben adaptarse a una escuela y sus demandas.
La integración escolar debe ser realizada desde el punto de vista física, social y pedagógica. Pues los niños comparten la jornada escolar completa en el aula común.
Significa que también para ellos la escuela es un lugar de aprendizaje, no solo de socialización. Y en esta tarea de apoyo y seguimiento es el equipo interdisciplinario, quien busque mediar entre las posibilidades de cada niño integrado, las exigencias escolares, el estilo de aprendizaje del niño y el estilo de enseñanza de cada institución.
Para aquello es fundamental que el equipo interdisciplinario tenga en cuenta el conocimiento de las necesidades educativas especiales de cada niño, de sus posibilidades, dificultades, y de cómo superarlas, de los apoyos específicos que requiere, para plantear estrategias de enseñanza-aprendizaje creativas y flexibles según las necesidades del niño y su situación áulica.
Y en este sentido es indispensable la confianza y expectativas alentadoras en el niño hacia el máximo logro posible.
Son partes también de nuestros objetivos la fluida comunicación con el niño y sus padres en la comunidad educativa; El trabajo cooperativo con la familia, con los profesionales particulares.
Hacen a la calidad de servicio del equipo interdisciplinario, que a su vez éste debe realizar un trabajo de seguimiento y evaluación de control cruzado de las observaciones áulicas por parte del tutor y coordinador de la integración de cada niño.
La cuidadosa selección y control del personal; el conocimiento profundo del curriculum, la creatividad y la flexibilidad en las acciones.
Los resultados nos muestran que esta integración apoyada sistemáticamente es beneficiosa tanto para los niños con síndrome de Down, como para sus compañeros.
Los niños integrados aprenden más y mejor con el estímulo de sus compañeros y de un docente que no le tema al desafío de enfrentarse sin prejuicios a una tarea enriquecedora; Aprenden desde el curriculum común lecto-escritura y cálculo, etc.
Las personas con síndrome de Down, dentro de un marco integrado, pueden aprender a ser autónomas e independientes, con autoconciencia de sus posibilidades, de sus dificultades pero también de cómo superarlas.
fuente:
ASDRA, porque todos somos especiales
ASDRA, es la Asociación Síndrome de Down de la República Argentina. Está formado por un grupo de padres, familiares y amigos que aceptaron el desafío, sabiendo los obstáculos que tendría que superar a lo largo de su vida, por amor. Esta organización brinda apoyo a los padres con hijos que tienen Síndrome de Down y les transmiten un mensaje de esperanza y de posibilidad, porque quién mejor que alguien que lo vive en carne propia para decir ASDRA, es la Asociación Síndrome de Down de la República Argentina. Está formado por un grupo de padres, familiares y amigos que aceptaron el desafío, sabiendo los obstáculos que tendría que superar a lo largo de su vida, por amor. Esta organización brinda apoyo a los padres con hijos que tienen Síndrome de Down y les transmiten un mensaje de esperanza y de posibilidad, porque quién mejor que alguien que lo vive en carne propia para decir ¡Es posible!
Es importante comentar, que dentro de esta asociación hay diversos programas de ayuda, como el programa “Papás escucha”, a cargo de un grupo de papás especialmente preparados para asistir a otros padres en el momento mismo en que reciben la noticia de que su bebé tiene sindrome de Down. Los acompañan en la misma maternidad, si es posible, brindándoles herramientas para la vuelta a casa, para comenzar a conocer y a comprender a ese hijo al que tienen tanto para dar y que agradecerá y devolverá, con creces, cada gota de amor que reciba.
Hay otros programas de los que cualquiera puede participar, si así lo desea, como programas de colaboración o donaciones. Para más información “haga click aquí”
…




Y DEJEN DE BARDEAR Y DENUNCIAR EL POST QUE NO TIENE NADA DE MALO ...